Тромб в кровеносном сосуде Фибрин (ярко-розовый) и фибробласты (синие точки) в сосуде (крупная структура по форме близкая к окружности). #гистология #назаметку
Тромб в кровеносном сосуде Фибрин (ярко-розовый) и фибробласты (синие точки) в сосуде (крупная структура по форме близкая к окружности). #гистология #назаметку
...Читать далее
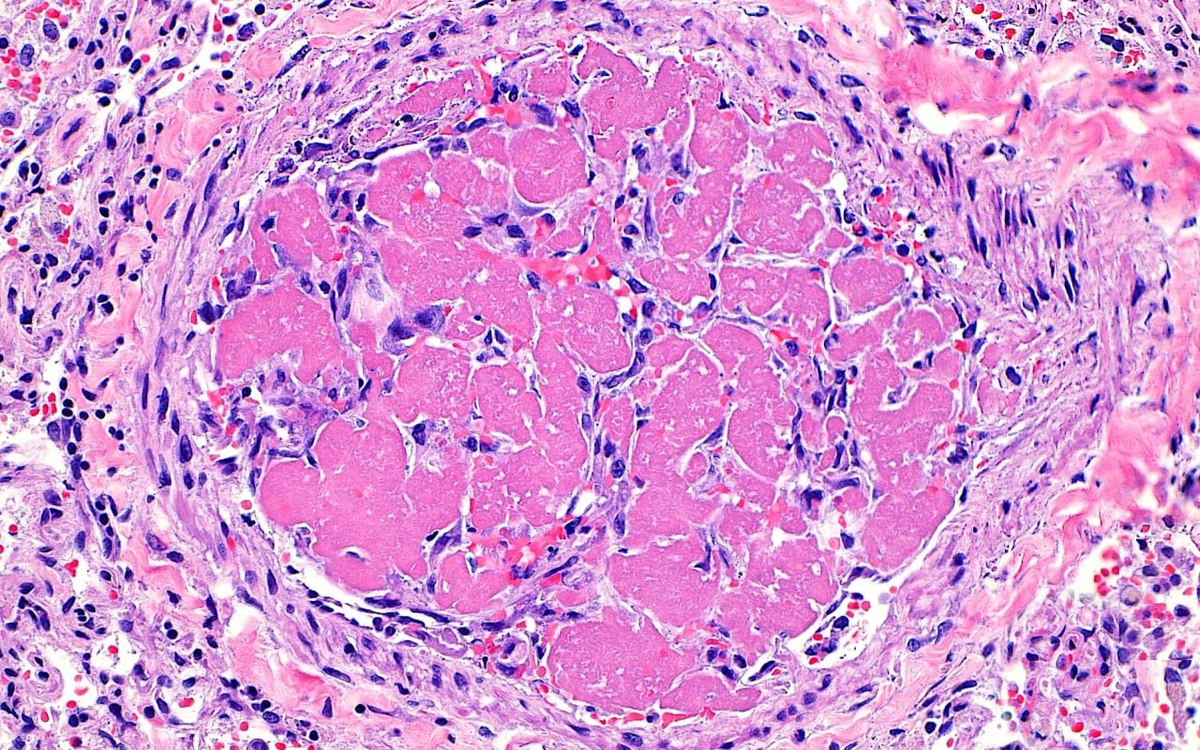
Тромб в кровеносном сосуде
Фибрин (ярко-розовый) и фибробласты (синие точки) в сосуде (крупная структура по форме близкая к окружности).