Добавить в корзинуПозвонить
Найти в Дзене

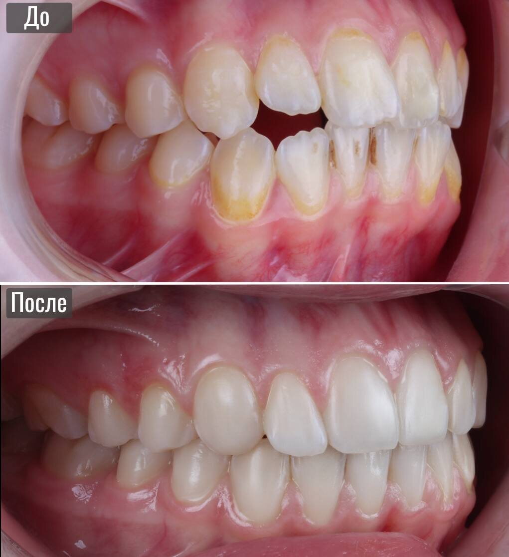
Лечение открытого прикуса с использованием эластических тяг

Аномалия открытого прикуса характеризуется невозможностью сомкнуть верхние и нижние зубы, даже с открытым ртом.  Пациентка обратилась с жалобами на неровные зубы, открытый прикус, неудовлетворительную эстетику улыбки.   Надо сказать, что открытый прикус самая рецидивирующая патология и одна из сложнейших для корректировки.  В данном случае лечение проходило с использованием брекет-системы и эластических тяг. Брекет-система позволяет контролировать перемещение зубов.  При лечении данным методом необходимо уделять большое внимание гигиене полости рта , а также регулярно посещать приемы коррекции.  Очень важно носить эластики, так как они эффективно помогают выполнять перестройку костной ткани в заданном направлении.  Хотим похвалить нашего юного пациента за дисциплину и соблюдение режима ношения эластиков.  Лишь совместными усилиями нам удалось достичь превосходного результата, как функционального так и эстетического.  Срок лечения 2 года. #допосле@markovstom

Аномалия открытого прикуса характеризуется невозможностью сомкнуть верхние и нижние зубы, даже с открытым ртом. 

Пациентка обратилась с жалобами на неровные зубы, открытый прикус, неудовлетворительную эстетику улыбки.

-2

 

Надо сказать, что открытый прикус самая рецидивирующая патология и одна из сложнейших для корректировки. 

В данном случае лечение проходило с использованием брекет-системы и эластических тяг. Брекет-система позволяет контролировать перемещение зубов. 

-3

При лечении данным методом необходимо уделять большое внимание гигиене полости рта , а также регулярно посещать приемы коррекции. 

Очень важно носить эластики, так как они эффективно помогают выполнять перестройку костной ткани в заданном направлении. 

Хотим похвалить нашего юного пациента за дисциплину и соблюдение режима ношения эластиков. 

Лишь совместными усилиями нам удалось достичь превосходного результата, как функционального так и эстетического. 

-4

Срок лечения 2 года.

#допосле@markovstom