Добавить в корзинуПозвонить
Найти в Дзене

Имплантация и протезирование после ортодонтического лечения: кейс стоматолога-хирурга Анастасии Жековой и стоматолога-ортопеда Анны Вощулы

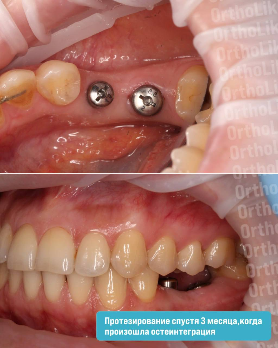
Ортодонтия предназначена для исправления неправильного прикуса и выравнивания зубов, что бывает не только вопросом эстетики, но и функциональности. Основной целью коррекции является: После завершения ортодонтического лечения многие пациенты сталкиваются с необходимостью восстановления утраченных или поврежденных зубов. Напишите в комментариях, приходилось ли вам проходить дополнительные процедуры после завершения ортодонтии? Что это было — реставрация, протезирование или установка имплантата? После проведения ортодонтического лечения пациентка нашей клиники была направлена к хирургу для установки имплантатов. Спустя 3 месяца после того как они прижились, мы смогли приступить к протезированию. Сначала было выполнено цифровое сканирование. Благодаря этому мы получили 3D-модель челюсти для дальнейшего моделирования и изготовления реставрации. Эта процедура абсолютно безболезненна и выполняется без анестезии. Занимает не более 30-40 минут. На следующем приеме мы установили временные коронк

Ортодонтия предназначена для исправления неправильного прикуса и выравнивания зубов, что бывает не только вопросом эстетики, но и функциональности. Основной целью коррекции является:

  • создание гармоничной улыбки, что способствует повышению уверенности;
  • улучшение жевательной функции и облегчение ухода за зубами;
  • правильное выравнивание зубов может предотвратить многие стоматологические проблемы, включая кариес и заболевания десен.
-2

После завершения ортодонтического лечения многие пациенты сталкиваются с необходимостью восстановления утраченных или поврежденных зубов.

-3

Напишите в комментариях, приходилось ли вам проходить дополнительные процедуры после завершения ортодонтии? Что это было — реставрация, протезирование или установка имплантата?

-4

После проведения ортодонтического лечения пациентка нашей клиники была направлена к хирургу для установки имплантатов. Спустя 3 месяца после того как они прижились, мы смогли приступить к протезированию. Сначала было выполнено цифровое сканирование. Благодаря этому мы получили 3D-модель челюсти для дальнейшего моделирования и изготовления реставрации. Эта процедура абсолютно безболезненна и выполняется без анестезии. Занимает не более 30-40 минут.

-5

На следующем приеме мы установили временные коронки, выполненые из мягкого пластика. Это необходимо для формирования десны вокруг имплантатов. На этом этапе уже потребовалось применения анестезии. Всего этот прием длился около часа.

-6

Затем мы отпустили пациентку на месяц. Именно этот срок необходим для полного формирования десны. А уже после того как она окончательно сформировалась мы выполнили повторное сканирование и спустя 2 недели установили постоянные коронки, выполненные из диоксида циркония.

Имплантация и протезирование после ортодонтического лечения: до и после
Имплантация и протезирование после ортодонтического лечения: до и после

Чтобы приблизиться к улыбке своей мечты, записывайтесь на консультацию в клинику OrthoLike. Ортодонтическое лечение дает возможность не только исправить прикус, но и создать фундамент для дальнейшего здоровья зубов. Всегда помните, что забота о своем здоровье — это важный и ответственный шаг, который требует активности и участия.

Жекова Анастасия Олеговна и Вощула Анна Вячеславовна — квалифицированные специалисты, которые знают как подарить вам красивую и здоровую улыбку. В своей работе доктора используют передовые технологии и современные методики, благодаря чему вы получаете гарантированный результат.

Всегда с заботой о Вашем здоровье и красоте.
Ждем на консультации +7 (499) 288-18-21
Если Вам понравилась статья, ставьте лайк и подписывайтесь на наш канал. Больше информации на нашем сайте https://ortholike.ru.