Добавить в корзинуПозвонить
Найти в Дзене
Ferra.ru

ИИ научился диагностировать болезни быстрее людей

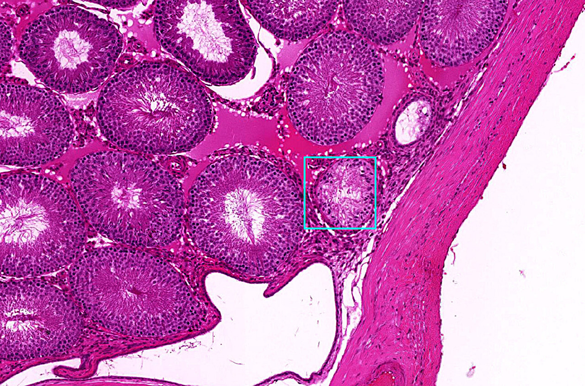
Ученые из Университета штата Вашингтон разработали модель искусственного интеллекта (ИИ), способную быстрее и точнее выявлять болезни на изображениях тканей животных и человека, чем люди. Открытие ускорит исследования заболеваний и улучшит диагностику, включая раннее обнаружение рака по биопсии за считанные минуты. Модель, основанная на глубоких нейронных сетях, была обучена на изображениях из исследований лаборатории профессора Майкла Скиннера. Исследования касались молекулярных признаков заболеваний в тканях почек, яичников и предстательной железы у крыс и мышей. Для создания модели учёные использовали изображения тканей из лабораторных исследований, проводившихся в лаборатории Майкла Скиннера. Эти исследования касались молекулярных признаков заболеваний в тканях почек, яичников, предстательной железы и других органов животных. Тесты показали, что новый ИИ не только точно и быстро выявляет патологии, но и находит те, которые могли быть пропущены даже опытными специалистами.

Ученые из Университета штата Вашингтон разработали модель искусственного интеллекта (ИИ), способную быстрее и точнее выявлять болезни на изображениях тканей животных и человека, чем люди. Открытие ускорит исследования заболеваний и улучшит диагностику, включая раннее обнаружение рака по биопсии за считанные минуты.

Модель, основанная на глубоких нейронных сетях, была обучена на изображениях из исследований лаборатории профессора Майкла Скиннера. Исследования касались молекулярных признаков заболеваний в тканях почек, яичников и предстательной железы у крыс и мышей.

Для создания модели учёные использовали изображения тканей из лабораторных исследований, проводившихся в лаборатории Майкла Скиннера. Эти исследования касались молекулярных признаков заболеваний в тканях почек, яичников, предстательной железы и других органов животных. Тесты показали, что новый ИИ не только точно и быстро выявляет патологии, но и находит те, которые могли быть пропущены даже опытными специалистами.

   Eric Nilsson, Skinner Laboratory, Washington State University
Eric Nilsson, Skinner Laboratory, Washington State University