Добавить в корзинуПозвонить
Найти в Дзене

Случай диагностики острого тифлита

Тифлит — это вариант сегментарного колита, при котором в воспалительный процесс вовлечена слепая кишка. Проявляется тупой или распирающей болью справа в подвздошной области, симулирующей острый аппендицит. В литературе отмечают неспецифичность клинико-лабораторной картины заболевания. УЗИ позволяет обнаружить утолщение и отечность слепой кишки, некоторые авторы указывают на выявление сглаженности складок слизистой (симптом сомнителен, поскольку складчатый рельеф при УЗИ детально не анализируется - это выполняется при рентгенологическом исследовании с контрастированием). Также при УЗИ органов брюшной полости обязательно обращают внимание на состояние червеобразного отростка и прилежащих отделов кишечника для дифференциальной диагностики. Пациентка 28 лет, поступила в приемное отделение с жалобами на умеренные боли в правой половине живота, больше в нижних отделах. Пальпаторно - болезненность при дозированной компрессии. Перитонеальные симптомы сомнительны. В крови лейкоциты 7.9, СОЭ 6 м
Изображение из свободного доступа
Изображение из свободного доступа

Тифлит — это вариант сегментарного колита, при котором в воспалительный процесс вовлечена слепая кишка. Проявляется тупой или распирающей болью справа в подвздошной области, симулирующей острый аппендицит. В литературе отмечают неспецифичность клинико-лабораторной картины заболевания. УЗИ позволяет обнаружить утолщение и отечность слепой кишки, некоторые авторы указывают на выявление сглаженности складок слизистой (симптом сомнителен, поскольку складчатый рельеф при УЗИ детально не анализируется - это выполняется при рентгенологическом исследовании с контрастированием). Также при УЗИ органов брюшной полости обязательно обращают внимание на состояние червеобразного отростка и прилежащих отделов кишечника для дифференциальной диагностики.

Пациентка 28 лет, поступила в приемное отделение с жалобами на умеренные боли в правой половине живота, больше в нижних отделах. Пальпаторно - болезненность при дозированной компрессии. Перитонеальные симптомы сомнительны. В крови лейкоциты 7.9, СОЭ 6 мм.

При ультразвуковом исследовании определяется:

Аппендикс лоцирован фрагментарно, в видимых отделах толщина его не превышает 5.5 мм, в просвете жидкости нет, стенки не утолщены, парааппендикулярно жидкости нет.

Рис. 01 - Нормальный аппендикс, поперечное изображение
Рис. 01 - Нормальный аппендикс, поперечное изображение
Рис. 02 - Нормальный аппендикс, продольное изображение.
Рис. 02 - Нормальный аппендикс, продольное изображение.

Видео 03 - Нормальный аппендикс.

Лоцирована слепая кишка и часть восходящего отдела толстой кишки. Стенки неравномерно утолщены до 5-6 мм, стратификация неотчетлива, на отдельных участках отсутствует. Общая эхогенность стенок снижена. При ЦДК стенки слепой и восходящего отдела толстой кишки гиперваскуляризованы.

Рис. 04 - Слепая кишка, поперечное изображение. Резко утолщенные стенки.
Рис. 04 - Слепая кишка, поперечное изображение. Резко утолщенные стенки.
Рис. 05 - Слепая кишка, поперечное изображение. Резко утолщенные стенки.
Рис. 05 - Слепая кишка, поперечное изображение. Резко утолщенные стенки.
Рис. 06 - Слепая кишка, Продольное изображение. Резко утолщенные стенки.
Рис. 06 - Слепая кишка, Продольное изображение. Резко утолщенные стенки.

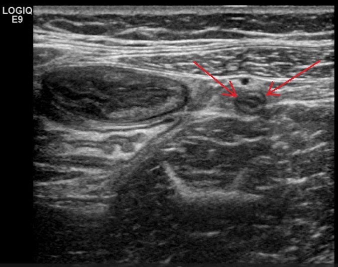
Рядом с воспаленной кишкой лоцируются единичные лимфатические узлы, не увеличены (размеры не превышают 10 мм) но с резко сниженной эхогенностью и отсутствием корково-мозговой дифференцировки (признаки мезаденита)

Рис. 07 - визуализация брыжеечных лимфатических узлов
Рис. 07 - визуализация брыжеечных лимфатических узлов

Видео 08 - Ультразвуковое изображение воспаленной слепой и восходящей кишки и измененных лимфатических узлов

Пациентке выставлен окончательный диагноз "Острый тифлит, мезаденит", оставлена в клинике для наблюдения на сутки, назначена противовоспалительная терапия, выписана на амбулаторное лечение.