Добавить в корзинуПозвонить
Найти в Дзене
Ольга Еременко

Патологическая стираемость

Патологическая стираемость зубов (или абразия) формируется в результате сочетания различных факторов, которые могут быть как внешними, так и внутренними. Вот основные причины: 1. Механическое воздействие:   - Неправильная техника чистки зубов. Использование жесткой щетки или слишком сильное давление при чистке может привести к износу.   - Зубные щетки с жесткой щетиной.   - Использование предметов для чистки, не предназначенные для этого. 2. Химическое воздействие:   - Кислотные продукты. Употребление кислых напитков (например, газированных напитков или цитрусовых соков) может привести к эрозии эмали.   - Гастроэзофагеальный рефлюкс. Заболевание, при котором кислота из желудка попадает в пищевод и ротовую полость, приводит к разрушению эмали. 3. Патологические состояния:   - Бруксизм: непроизвольное скрежетание зубами во сне может вызывать значительное стирание.   - Некоторые заболевания, такие как анорексия или булимия, могут приводить к кислотному повреждению зубной эмали. 4. Не

Патологическая стираемость зубов (или абразия) формируется в результате сочетания различных факторов, которые могут быть как внешними, так и внутренними. Вот основные причины:

1. Механическое воздействие:

  - Неправильная техника чистки зубов. Использование жесткой щетки или слишком сильное давление при чистке может привести к износу.

  - Зубные щетки с жесткой щетиной.

  - Использование предметов для чистки, не предназначенные для этого.

2. Химическое воздействие:

  - Кислотные продукты. Употребление кислых напитков (например, газированных напитков или цитрусовых соков) может привести к эрозии эмали.

  - Гастроэзофагеальный рефлюкс. Заболевание, при котором кислота из желудка попадает в пищевод и ротовую полость, приводит к разрушению эмали.

3. Патологические состояния:

  - Бруксизм: непроизвольное скрежетание зубами во сне может вызывать значительное стирание.

  - Некоторые заболевания, такие как анорексия или булимия, могут приводить к кислотному повреждению зубной эмали.

4. Неправильный прикус:

  - Дисфункция челюстей или неправильное распределение нагрузки на зубы при жевании может ускорить процесс стираемости.

5. Недостаток минералов и витаминов:

  - Дефицит кальция и витамина D может ослаблять структуру зубов и делать их более подверженными стиранию.

Для предотвращения патологической стираемости зубов важно соблюдать правильную гигиену полости рта, использовать подходящие средства для чистки зубов, корректировать прикус вовремя.

Необходимо приходить к стоматологу на профилактические осмотры для раннего выявления проблемы.

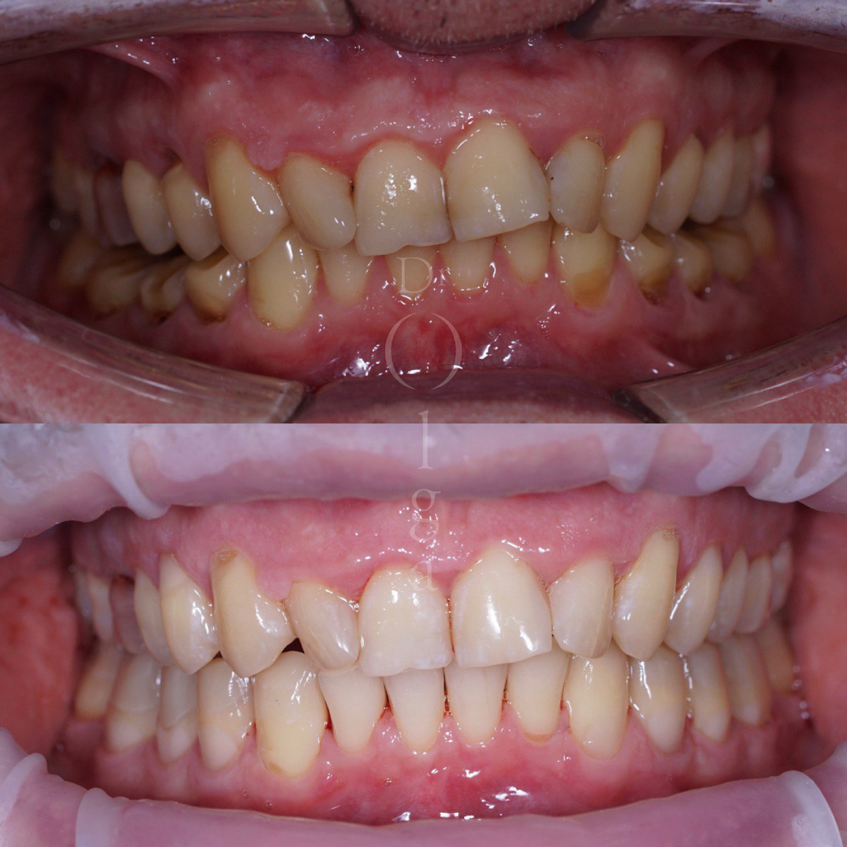
 На фото промежуточный этап работы с пациентом у которого присутствует патологическая истираемость зубов. 

 Перед проведением постоянного протезирования, необходимо найти ту высоту и контакты между зубами верхний и нижней челюсти, при которых возникнет миодинамическое равновесие.

-2

-3

-4