Найти в Дзене

Бокаловидные клетки: хранители иммунитета кишечника и их роль в заболеваниях желудочно-кишечного тракта

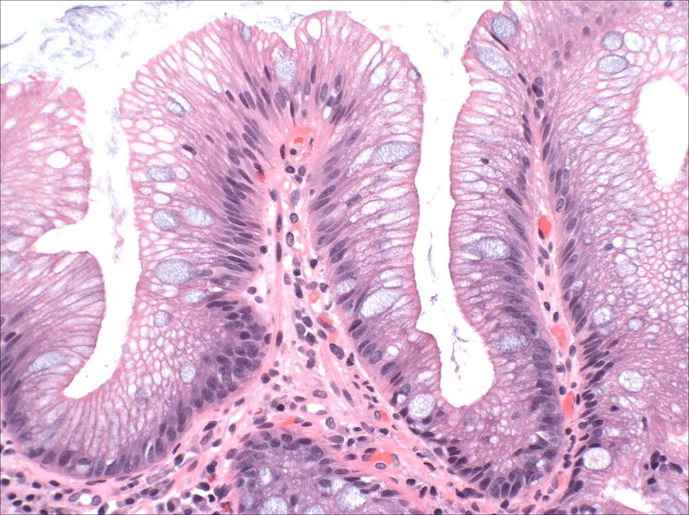
Его обширная поверхность, выстланная эпителием, сталкивается с постоянным шквалом пищевых компонентов и потенциально опасных микроорганизмов. Под этим эпителием находится самая большая концентрация иммунных клеток в организме. Бокаловидные клетки (БК) - это специализированные эпителиальные клетки кишечника, которые играют важнейшую роль в защите кишечника. Они распределены по всей эпителиальной выстилке тонкого и толстого кишечника, с заметным обилием в толстой кишке, где особенно необходим надежный слизистый барьер. Апикальная поверхность БК характеризуется наличием микроворсинок, которые значительно увеличивают площадь поверхности, доступной для секреции слизи в просвет кишечника. Эти клетки оснащены хорошо развитым эндоплазматическим ретикулумом и аппаратом Гольджи, которые необходимы для синтеза, модификации и упаковки муцинов. В их цитоплазме выделяются многочисленные секреторные гранулы, содержащие предшественники муцинов, что подчеркивает их роль в производстве и секреции слизи.
Иллюстрация: springer.com
Иллюстрация: springer.com

Желудочно-кишечный тракт (ЖКТ) создает уникальную проблему для иммунной системы.

Его обширная поверхность, выстланная эпителием, сталкивается с постоянным шквалом пищевых компонентов и потенциально опасных микроорганизмов. Под этим эпителием находится самая большая концентрация иммунных клеток в организме. Бокаловидные клетки (БК) - это специализированные эпителиальные клетки кишечника, которые играют важнейшую роль в защите кишечника. Они распределены по всей эпителиальной выстилке тонкого и толстого кишечника, с заметным обилием в толстой кишке, где особенно необходим надежный слизистый барьер.

Апикальная поверхность БК характеризуется наличием микроворсинок, которые значительно увеличивают площадь поверхности, доступной для секреции слизи в просвет кишечника. Эти клетки оснащены хорошо развитым эндоплазматическим ретикулумом и аппаратом Гольджи, которые необходимы для синтеза, модификации и упаковки муцинов. В их цитоплазме выделяются многочисленные секреторные гранулы, содержащие предшественники муцинов, что подчеркивает их роль в производстве и секреции слизи. Они постоянно выделяют и обновляют слой слизи, физически отталкивая патогены от слизистой оболочки кишечника.

Существует более 20 идентифицированных муцинов (обозначаемых как MUC1 - MUC21), каждый из которых имеет немного отличающуюся структуру и функции. В кишечнике преобладающим муцином является MUC2. Дефицит MUC2 приводит к воспалению и повышенной восприимчивости к инфекциям, что подчеркивает его важность для здоровья кишечника. Муцины также имеют сайты связывания для бактерий, что еще больше препятствует вторжению. Некоторые виды бактерий в кишечнике используют компоненты слизистого слоя в качестве источника энергии, что влияет как на выработку слизи, так и на общий состав микробиома кишечника.

В недавнем исследовании ученые из Калифорнийского университета представили новые сведения о ключевой роли бокаловидных клеток в поддержании здоровой и сбалансированной иммунной среды в ЖКТ. Исследование, проведенное под руководством Фернанды Тонетти, подчеркивает важнейшую роль этих клеток, которые выступают не только в качестве физического барьера, но и как сложное коммуникационное звено между слизистой оболочкой кишечника и иммунной системой. «Бокаловидные клетки являются динамичными хранителями иммунитета кишечника, участвуя в многочисленных защитных действиях, которые включают не только защиту от патогенов, но и модуляцию иммунной системы для обеспечения сбалансированного ответа», - отмечает Тонетти.

Исследователи рассказали о роли бокаловидных клеток в создании специализированных структур, известных как Goblet Cell-Associated Passages (GAPs), которые действуют как каналы, через которые иммунные клетки могут получить доступ к содержимому просвета кишечника. Эта уникальная функция позволяет обучать иммунную систему, отбирая доброкачественные пищевые вещества и обычную микробиоту, одновременно отслеживая наличие патогенных захватчиков, поддерживая толерантность кишечника и предотвращая ненужные иммуногенные реакции.

Исследование также выявило критически важные отношения между бокаловидными клетками и микробиомом кишечника. Эта связь является взаимодополняющей: полезные бактерии кишечника способствуют здоровому функционированию бокаловидных клеток, а бокаловидные клетки создают необходимую среду для сбалансированного микробиома. Однако нарушение этого баланса, например, в результате инфекций или изменения рациона питания, может нарушить функцию бокаловидных клеток, что может способствовать развитию различных заболеваний ЖКТ, включая колоректальный рак, воспалительные заболевания кишечника, муковисцидоз и заболевания печени. «Взаимодействие между бокаловидными клетками и микробиомом кишечника необходимо для поддержания сильной иммунной защиты и толерантности», - подчеркивает Тонетти.

Эти данные открывают перспективные пути для создания терапии, направленной на функции бокаловидных клеток, и могут помочь в разработке методов лечения заболеваний ЖКТ, от которых страдают миллионы людей во всем мире. Используя уникальные защитные механизмы бокаловидных клеток, будущие методы лечения смогут уменьшить воспаление, поддержать целостность кишечного барьера и восстановить баланс здорового микробиома. Авторы считают, что эти новые методы лечения могут стать прорывом в лечении заболеваний, которые трудно поддаются существующим методам терапии.

Источник: news-medical.net, 12 Nov.,2024