Добавить в корзинуПозвонить
Найти в Дзене

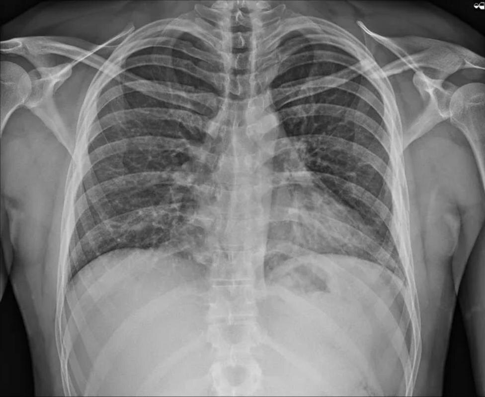
Сургутские врачи запатентовали новую методику лечения при переломе ребер

Идею удалось реализовать, благодаря совместной работе травматологов-ортопедов, торакальных хирургов Сургутской травмбольницы и ученых из СурГУ. Научное сопровождение проекта обеспечил доктор медицинских наук, профессор Владимир Дарвин.
Авторами новой методики оперативного лечения перелома ребер стали: заведующий отделением травматологии и ортопедии №1, ассистент кафедры хирургических болезней Медицинского института СурГУ Сергей Глиняный и врач-травматолог-ортопед Евгений Петров.
По данным пресс-службы медучреждения, ежегодно в травмбольницу попадает до двухсот пациентов с переломами ребер. Хирургические вмешательства в условиях непосредственной близости к легким довольно рискованны и имеют множество ограничений. Поэтому врачи выбирают консервативное лечение, при котором на восстановление пациента уходит очень много времени.
- Новая техника операции более безопасна. Ее название – малоинвазивная ретроградная интрамедуллярная временная фиксация переломов ребер, - сообщают в б
   Сургутские врачи запатентовали новую методику лечения при переломе ребер
Сургутские врачи запатентовали новую методику лечения при переломе ребер

Идею удалось реализовать, благодаря совместной работе травматологов-ортопедов, торакальных хирургов Сургутской травмбольницы и ученых из СурГУ. Научное сопровождение проекта обеспечил доктор медицинских наук, профессор Владимир Дарвин.

Авторами новой методики оперативного лечения перелома ребер стали: заведующий отделением травматологии и ортопедии №1, ассистент кафедры хирургических болезней Медицинского института СурГУ
Сергей Глиняный и врач-травматолог-ортопед Евгений Петров.

По данным пресс-службы медучреждения, ежегодно в травмбольницу попадает до двухсот пациентов с переломами ребер. Хирургические вмешательства в условиях непосредственной близости к легким довольно рискованны и имеют множество ограничений. Поэтому врачи выбирают консервативное лечение, при котором на восстановление пациента уходит очень много времени.

- Новая техника операции более безопасна. Ее название – малоинвазивная ретроградная интрамедуллярная временная фиксация переломов ребер, - сообщают в больнице.

Специально разработанный фиксатор заводят в кость особым способом, не травмируя окружающие мягкие ткани. Пациент избавляется от болевых симптомов, в том числе, во время дыхания. При этом сокращается процесс реабилитации.

-Принимая во внимание особенности анатомии грудной клетки, мы адаптировали к хирургическому лечению переломов ребер основы малоинвазивного остеосинтеза переломов костей опорно-двигательного аппарата. Используя этот метод, нам удалось значительно снизить количество осложнений у пациентов с травмой грудной клетки, сократить период искусственной вентиляции лёгких, уменьшить период нетрудоспособности пациентов, - объяснил Сергей Глиняный.

Нет предела совершенству. Потому у команды разработчиков уже есть предложения по совершенствованию своей авторской методики.

Фото: пресс-служба Сургутской травмбольницы

Ссылка на статью: https://stribuna.ru/articles/health/surgutskie_vrachi_zapatentovali_novuyu_metodiku_lecheniya_pri_perelome_reber/