Добавить в корзинуПозвонить
Найти в Дзене

«Двойной удар»: определены вирус и протист для эффективной борьбы с сибирским шелкопрядом

Биологи выяснили, что если одновременно заразить гусениц сибирского шелкопряда двумя разными паразитами — вирусом и микроспоридией, — это позволит эффективнее и с меньшими затратами справляться с лесными вредителями. Сибирский шелкопряд приводит к усыханию и гибели хвойных деревьев, поэтому представляет серьезную опасность для российских лесов. Предложенный авторами способ борьбы позволяет резко затормозить развитие гусениц, чтобы снизить их вредоносность, и за 40 дней избавиться от 97% вредителей, остановив их распространение. Результаты исследования, поддержанного грантами №23-16-00262 и №23-66-10015 Российского научного фонда (РНФ), опубликованы в Journal of Invertebrate Pathology. Сибирский шелкопряд (Dendrolimus sibiricus) — опасный вредитель лесов, поражающий около 20 видов хвойных растений. В России насекомое встречается на территории Сибири, и периодически возникающие вспышки его размножения приводят к усыханию деревьев, тем самым повышая риск пожаров. Химические вещества — инс

Биологи выяснили, что если одновременно заразить гусениц сибирского шелкопряда двумя разными паразитами — вирусом и микроспоридией, — это позволит эффективнее и с меньшими затратами справляться с лесными вредителями. Сибирский шелкопряд приводит к усыханию и гибели хвойных деревьев, поэтому представляет серьезную опасность для российских лесов. Предложенный авторами способ борьбы позволяет резко затормозить развитие гусениц, чтобы снизить их вредоносность, и за 40 дней избавиться от 97% вредителей, остановив их распространение. Результаты исследования, поддержанного грантами №23-16-00262 и №23-66-10015 Российского научного фонда (РНФ), опубликованы в Journal of Invertebrate Pathology.

Сибирский шелкопряд (Dendrolimus sibiricus) — опасный вредитель лесов, поражающий около 20 видов хвойных растений. В России насекомое встречается на территории Сибири, и периодически возникающие вспышки его размножения приводят к усыханию деревьев, тем самым повышая риск пожаров. Химические вещества — инсектициды — оказываются не очень эффективны против сибирского шелкопряда, поскольку вредитель со временем приобретает к ним устойчивость. Поэтому хорошей альтернативой химикатам могут стать биологические методы борьбы — с помощью вирусов и микроорганизмов, заражающих гусениц шелкопряда и приводящих к их гибели.

Гусеница сибирского шелкопряда. Источник: Вячеслав Мартемьянов
Гусеница сибирского шелкопряда. Источник: Вячеслав Мартемьянов

Исследователи из Института систематики и экологии животных СО РАН (Новосибирск), Всероссийского научно-исследовательского института защиты растений (Санкт-Петербург) и Центра лесной пирологии, развития технологий охраны лесных экосистем, защиты и воспроизводства лесов (Красноярск) решили использовать для борьбы с сибирским шелкопрядом сразу два его паразита: циповирус DsCPV-1 и микроспоридию рода Nosema (родственный грибам протист). Эти патогены были выбраны потому, что в более ранних исследованиях по отдельности они оказались эффективны против других видов насекомых-вредителей. Авторы предположили, что совместное заражение гусениц шелкопряда вирусами и микроспоридиями может дать лучший результат, чем использование паразитов по отдельности.

Биологи собрали личинок (гусениц) сибирского шелкопряда в лесах Иркутской области и Алтайского края, после чего в лабораторных условиях вывели из них взрослых насекомых, которые дали второе поколение личинок. Гусениц, собранных в Иркутской области, кормили хвоей сибирской пихты, а гусениц из Алтайского края — хвоей лиственницы. Разные корма были выбраны, чтобы протестировать, как кормовая порода влияет на взаимодействие между вирусом и микроспоридией. Для заражения гусениц второго личиночного возраста на хвою кормового растения исследователи однократно нанесли вирусные частицы и споры микроспоридий. В предварительных тестах среди трех видов микроспоридий самым эффективным для борьбы с исследуемым насекомым-вредителем оказалась микроспоридия Nosema bombycis.

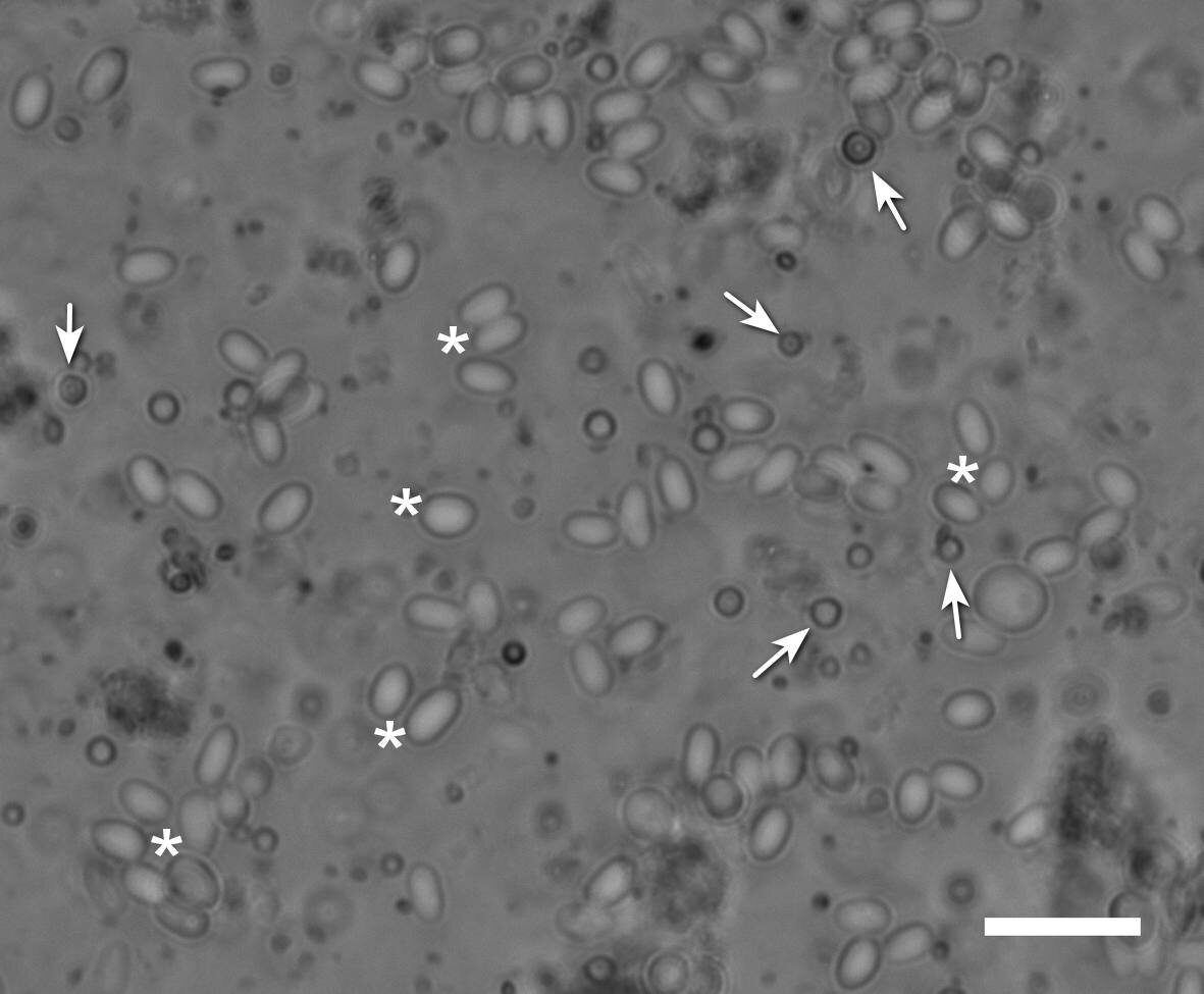
Споры микроспоридии Nosema bombycis (звездочки) и частицы вируса Dscp-1 (стрелки) в гусенице сибирского шелкопряда. Источник: Rumiantseva et al. Journal of Invertebrate Pathology, 2024
Споры микроспоридии Nosema bombycis (звездочки) и частицы вируса Dscp-1 (стрелки) в гусенице сибирского шелкопряда. Источник: Rumiantseva et al. Journal of Invertebrate Pathology, 2024

Затем авторы смешали вирусные частицы и споры микроспоридии и заразили полученной смесью гусениц сибирского шелкопряда. Эксперимент показал, что спустя 40 дней из-за такой обработки погибло 97% гусениц. При этом, чтобы достичь таких показателей, ученые использовали в десять раз меньшее количество патогенов, чем при их применении по отдельности. Это говорит о том, что совместное заражение позволит значительно экономить средства обработки без снижения эффективности лечения деревьев.

«Наши расчеты также показали, что время, необходимое для гибели 50% гусениц-вредителей, при совместном заражении составляет 13 дней. Для сравнения, в случае микроспоридий для этого требуется примерно 25 дней, а вирусов — 30 дней. Таким образом, предложенный подход позволит быстрее, эффективнее и с меньшими затратами бороться с вредителями леса. В дальнейшем мы планируем протестировать его на других насекомых и с другими паразитами», — рассказывает участник проекта, поддержанного грантом РНФ, Вячеслав Мартемьянов, кандидат биологических наук, заведующий лабораторией экологической физиологии Института систематики и экологии животных СО РАН