Добавить в корзинуПозвонить
Найти в Дзене
Два Дантиста

Сломался протез: что делать?

Современное протезирование предполагает использование довольно прочных материалов. Но падение, удар или слишком сильное жевательное давление могут повредить ортопедическую конструкцию. Появившийся дефект не всегда заметен окружающим, однако, если зубной протез сломался, пользоваться им дальше невозможно. Но и выбрасывать не стоит, так как в большинстве случаев конструкцию можно починить. Как устраняются поломки зубного протеза? На протяжении всего срока службы зубных протезов могут потребоваться различные уровни ухода в зависимости от повреждений или проблем. Они могут быть связаны с комфортом и функциональностью. Устранить можно следующие дефекты: Цены на ремонт зубных протезов зависят от типа повреждения. Некоторые виды повреждений можно устранить после диагностики в течение приема. Если требуется замена деталей, креплений и прочее, то протез отправляют в зуботехническую лабораторию. Как действовать в случае поломки? Если сломался зубной протез: Обычно пациента со сломанным протезом

Современное протезирование предполагает использование довольно прочных материалов. Но падение, удар или слишком сильное жевательное давление могут повредить ортопедическую конструкцию. Появившийся дефект не всегда заметен окружающим, однако, если зубной протез сломался, пользоваться им дальше невозможно. Но и выбрасывать не стоит, так как в большинстве случаев конструкцию можно починить.

Как устраняются поломки зубного протеза?

На протяжении всего срока службы зубных протезов могут потребоваться различные уровни ухода в зависимости от повреждений или проблем. Они могут быть связаны с комфортом и функциональностью.

Устранить можно следующие дефекты:

  • Скол небольшого участка в керамическом слое коронки. Место повреждения маскируется композитным материалом.
  • Выпадение одной из коронок мостовидной системы. Специалист устанавливает искусственный зуб на место.
  • Перелом креплений протезной конструкции. Поврежденные замки или крючки можно быстро заменить.
  • Линейный перелом базиса съемного протеза. Для восстановления целостности конструкции используется специальная технология.

Цены на ремонт зубных протезов зависят от типа повреждения. Некоторые виды повреждений можно устранить после диагностики в течение приема. Если требуется замена деталей, креплений и прочее, то протез отправляют в зуботехническую лабораторию.

Как действовать в случае поломки?

Если сломался зубной протез:

  • Не стоит его выбрасывать, даже если кажется, что дефект не подлежит ремонту.
  • Нужно аккуратно собрать и поместить в сухую емкость все отколовшиеся элементы.
  • Следует связаться со стоматологом, который проводил протезирование, и записаться на прием, сообщив о цели визита.

Обычно пациента со сломанным протезом записывают к ортопеду на ближайшее время. Уже в клинике стоматолог осматривает конструкцию и сообщает, возможен ли ремонт.

Не рекомендуется самостоятельно проводить ремонт зубных протезов. В некоторых случаях это может привести к тому, что конструкция будет повреждена еще больше, а пациент при использовании протеза будет испытывать дискомфорт. Даже небольшие повреждения травмируют десну, что вызывает развитие хронических заболеваний и осложнений. Поэтом важно при поломке протеза обратиться к специалисту.

Гарантия

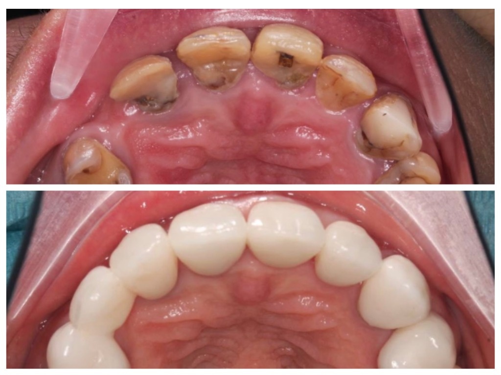
Представляем результат нашего стоматологического лечения: до и после установки моста. Теперь наш пациент может наслаждаться красивой и здоровой улыбкой
Представляем результат нашего стоматологического лечения: до и после установки моста. Теперь наш пациент может наслаждаться красивой и здоровой улыбкой

Клиника «Два Дантиста» предоставляет гарантийный срок использования для всех ортопедических конструкций. Он составляет один год. В течение этого времени клиника обязуется исправить повреждения и дефекты, вызванные нарушением технологии изготовления либо другими факторами, за которые несет ответственность стоматология.

Но стоит знать, что в некоторых случаях ремонт и реставрация по гарантии невозможны, даже если срок еще не вышел. К таким ситуациям относят:

  • Падение съемного протеза, вызвавшее его поломку или скол.
  • Воздействие твердых предметов, травмирование области установки конструкции.
  • Плохой уход за протезом, из-за которого поверхности покрылись трудно смываемым налетом.
  • Повреждение базиса, фиксаторов или коронок из-за воздействия высоких температур, например при обработке кипятком.

При правильном уходе за зубными протезами и бережном пользовании ими все поломки будут устранены бесплатно, если срок гарантии не истек.

Записаться в клинику «Два Дантиста» можно через сайт или по тел. 8 (812) 223-43-29