Добавить в корзинуПозвонить
Найти в Дзене
В мире медицины

Аномалии выделительной системы почки

Гидронефроз со временем может привести к гибели почки. Врожденная его причина у детей составляет 5% от всей патологии мочевыделительной системы среди новорожденных. Что такое синдром Фрейля, чем он отличается от дивертикула чашечки, для чего нужен мочеточниковый стент и многое другое читайте в статье. Варианты нормальной анатомии ЧЛС включают следующие типы строения выделительной системы почек: Синдром Фрейля - это сосудистая аномалия почек, при которой передние и задние ветви верхней сегментарной почечной артерии перекрещиваются между собой и сдавливают верхнюю часть лоханки. На КТ это выглядит следующим образом: Главным отличием дивертикула чашечки от солитарной кисты является его сообщение с полостной системой почки. определяется у 5% детей среди всех пороков мочевыделительной системы. Это ведет к развитию гидронефротической трансформации почки в разной степени выраженности. Внутренние причины обструкции: при нарушениях в структуре стенки мочеточника и лоханки (аномалии формирован
Оглавление
Гидронефроз со временем может привести к гибели почки. Врожденная его причина у детей составляет 5% от всей патологии мочевыделительной системы среди новорожденных. Что такое синдром Фрейля, чем он отличается от дивертикула чашечки, для чего нужен мочеточниковый стент и многое другое читайте в статье.

Варианты нормальной анатомии ЧЛС включают следующие типы строения выделительной системы почек:

1- лоханка почки, 2 - мочеточник, 3- малая чашка, 4- большая чашка. Основные анатомические варианты строения лоханки. Малые чашки в количестве 6-12 образуют большую чашку, открывающуюся непосредственно в лоханку почки.
1- лоханка почки, 2 - мочеточник, 3- малая чашка, 4- большая чашка. Основные анатомические варианты строения лоханки. Малые чашки в количестве 6-12 образуют большую чашку, открывающуюся непосредственно в лоханку почки.
Синдром Фрейля - это сосудистая аномалия почек, при которой передние и задние ветви верхней сегментарной почечной артерии перекрещиваются между собой и сдавливают верхнюю часть лоханки.

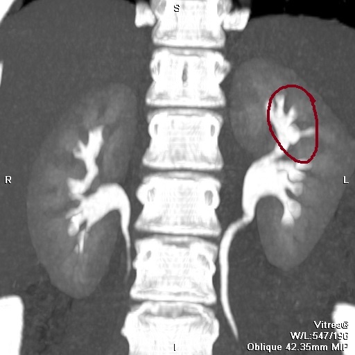
На КТ это выглядит следующим образом:

КТ ОБП в экскреторную фазу исследования: отчетливо визуализируется "отшнуровавшаяся" верхняя чашечка, иногда это называется дивертикулом чашки.
КТ ОБП в экскреторную фазу исследования: отчетливо визуализируется "отшнуровавшаяся" верхняя чашечка, иногда это называется дивертикулом чашки.
Главным отличием дивертикула чашечки от солитарной кисты является его сообщение с полостной системой почки.
В данном случае представлен дивертикул нижней чашки (указан стрелкой). МСКТ ОБП в экскреторную фазу исследования. Причина дивертикула здесь в дисфункции мышечного сфинктера шейки чашки.Контрастное вещество выполняет дивертикул и ЧЛС левой почки
В данном случае представлен дивертикул нижней чашки (указан стрелкой). МСКТ ОБП в экскреторную фазу исследования. Причина дивертикула здесь в дисфункции мышечного сфинктера шейки чашки.Контрастное вещество выполняет дивертикул и ЧЛС левой почки

Стеноз пиелоуретрального сегмента (ПУС или ЛМС)

определяется у 5% детей среди всех пороков мочевыделительной системы.

Это ведет к развитию гидронефротической трансформации почки в разной степени выраженности.
Схематично это выглядит так: для наглядности понимания процесса
Схематично это выглядит так: для наглядности понимания процесса

Все причины врожденной обструкции ПУС делятся на:

Внутренние причины обструкции: при нарушениях в структуре стенки мочеточника и лоханки (аномалии формирования гладкомышечного слоя и эмбриональные спайки);

Внешние причины обструкции: конфликт между сосудом и мочеточником при наличии добавочной почечной артерии, пересекающей нижней полюс почки, или ретрокавальном расположении мочеточника, или высоким его отхождением (дистопия расположения).

Отчетливо определяется вазоуретеральный конфликт с развитием выраженного правостороннего гидронефроза: от брюшного отдела аорты к нижнему полюсу почки отходит аберрантная почечная артерия, пересекающая ЛМС, что и послужило причиной развития данного состояния. В сагиттальной проекции показано стрелками.
Отчетливо определяется вазоуретеральный конфликт с развитием выраженного правостороннего гидронефроза: от брюшного отдела аорты к нижнему полюсу почки отходит аберрантная почечная артерия, пересекающая ЛМС, что и послужило причиной развития данного состояния. В сагиттальной проекции показано стрелками.

Для коррекции уровазального конфликта применяют лапароскопическую пластику ЧЛС.

Постоянная пульсация и давление добавочной артерии на мочеточник не только затрудняет пассаж мочи по нему, но приводит к воспалению и, в последующем, формированию стриктуры мочеточника.

В ходе лапароскопии выполняется иссечение суженного участка мочеточника и установка катетер-стента из лоханки в мочевой пузырь с последующим созданием анастомоза между ними.

Роль стента заключается в обеспечении беспрепятственного пассажа мочи. Кроме того, он служит «каркасом» для последующего анастомоза между лоханкой и мочеточником. Стент остаётся в лоханке ещё на 2 месяца.
Роль стента заключается в обеспечении беспрепятственного пассажа мочи. Кроме того, он служит «каркасом» для последующего анастомоза между лоханкой и мочеточником. Стент остаётся в лоханке ещё на 2 месяца.

Кстати, жить со стентом внутри мочеточника очень неприятно. Учитывая, что свободный его конец открывается в мочевой пузырь, он постоянно раздражает слизистую его оболочку и возникает циститоподобное состояние, которое ничем не купируется, пока стоит стент. Но это вынужденная мера: для адекватного заживления вновь сформированного анастомоза. Кроме того, может возникать инкрустация мочеточникового стента.

Это скопление на его поверхности кристаллов нерастворимых солей. Чем дольше стент находится в мочевыводящих путях, тем сильнее выражена инкрустация и выше риск закрытия его просвета.

Ретрокавальный мочеточник — это редкая аномалия, при которой верхняя часть правого мочеточника проходит позади нижней полой вены, а затем частично огибает ее спереди. Таким образом, давление нижней полой вены и пояснично-подвздошной мышцы на мочеточник приводит к гидронефрозу.

Объемная реконструкция МСКТ ОБП в экскреторную фазу. Определяется выраженная гидронефротическая трансформация правой почки на фоне ретрокавально расположенного мочеточника.
Объемная реконструкция МСКТ ОБП в экскреторную фазу. Определяется выраженная гидронефротическая трансформация правой почки на фоне ретрокавально расположенного мочеточника.

Он опасен тем, что со временем почка перестает выполнять свою функцию и формирует "мешок с мочой". При длительно текущем процессе функция почки полностью утрачивается.

Об этом будет отдельная статья вечером. И, пожалуй, с почками на этом закончу. По статистике Дзена, данная подборка не зашла аудитории от слова совсем. Если есть пожелания по разбору конкретной темы, пишите, сделаю по запросам: пиелонефрит, мочекаменная болезнь, почечная недостаточность, рак почки, кисты. Всем спасибо за внимание и до скорых встреч.