Найти в Дзене
D2D Expert

Синоназальная гемангиома. Случайная находка

В феврале 2024г. в клинику МРТ Эксперт обратился пациент В. 49 лет, для проведения МРТ исследования головного мозга. Жалобы на головные боли, головокружения, периодические носовые кровотечения, повышение АД до 150/90 мм.рт.ст. По рекомендации врача невролога было проведено МРТ исследование головного мозга для исключения патологических изменений со стороны данной области. При исследовании головного мозга, выявлены следующие изменения: Рис.1: FLAIR аксиальная плоскость. В белом веществе лобных и теменных долей (субкортикально и паравентрикулярно) определяются множественные очаги глиоза (сосудистого генеза), размерами от 0.2х0.2см до 0.65х0.65 см. Других патологических изменений со стороны головного мозга у пациента не выявлено. При просмотре областей фациальных синусов выявлены следующие изменения: Рис.2: FLAIR и Т2-ВИ аксиальная плоскость (слева направо). Рис.3: Т2-ВИ корональная плоскость, Т1-ВИ сагиттальная плоскость (слева направо). В полости носа в структуре задней поверхности перег
В феврале 2024г. в клинику МРТ Эксперт обратился пациент В. 49 лет, для проведения МРТ исследования головного мозга.
Жалобы на головные боли, головокружения, периодические носовые кровотечения, повышение АД до 150/90 мм.рт.ст.
По рекомендации врача невролога было проведено МРТ исследование головного мозга для исключения патологических изменений со стороны данной области.

При исследовании головного мозга, выявлены следующие изменения:

-2

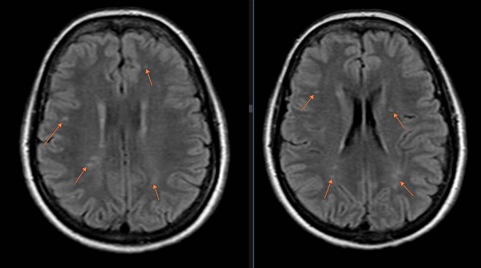
Рис.1: FLAIR аксиальная плоскость. В белом веществе лобных и теменных долей (субкортикально и паравентрикулярно) определяются множественные очаги глиоза (сосудистого генеза), размерами от 0.2х0.2см до 0.65х0.65 см.

Других патологических изменений со стороны головного мозга у пациента не выявлено.

При просмотре областей фациальных синусов выявлены следующие изменения:

-3

Рис.2: FLAIR и Т2-ВИ аксиальная плоскость (слева направо).

-4

Рис.3: Т2-ВИ корональная плоскость, Т1-ВИ сагиттальная плоскость (слева направо).

В полости носа в структуре задней поверхности перегородки определяется мягкотканное образование, с четкими и ровными контурами, размерами 1.8х2.3х2.2 см. На уровне выявленного образования носовая перегородка не прослеживается /вероятно лизирована/.

-5

Рис.4: Т1-ВИ аксиальная и сагиттальная плоскости, Т1 с в/в контрастным усилением аксиальная и сагиттальная плоскости (слева направо): отмечается неоднородное интенсивное накопление контрастного вещества выявленным образованием.

Заключение: МР-картина объемного мягкотканного образования полости носа /с учётом МР характеристик может полипу, гемангиоме, требуется морфологическая верификация/. Множественных супратенториальных очагов глиоза (сосудистого генеза).

Пациенту была рекомендована консультация оториноларинголога.

В дальнейшем, пациенту было проведено оперативное вмешательство по поводу выявленного образования носовой перегородки. Получена обратная связь. При гистологическом исследовании было установлено, что выявленное образование, является синоназальной гемангиомой.