Добавить в корзинуПозвонить
Найти в Дзене

РАБОТА ВРАЧЕЙ КЛИНИКИ DSstudio

Дорогие друзья, рады поделиться с вами любопытным кейсом по ортодонтии. 1. Создание пространства для резцов на нижней челюсти из -за скученности; 2. Интеграция резцов в ортодонтическую систему. Завершающим этапом лечения будет изготовление окклюзионных накладок для стабилизации ВНЧС и результата лечения. Если вы хотите иметь ровные и красивые зубы, избавиться от щелчков и болей в челюстном суставе, запишитесь на консультацию+7(495) 106-53-25 и мы с радостью вам в этом поможем.
Оглавление

Дорогие друзья, рады поделиться с вами любопытным кейсом по ортодонтии.

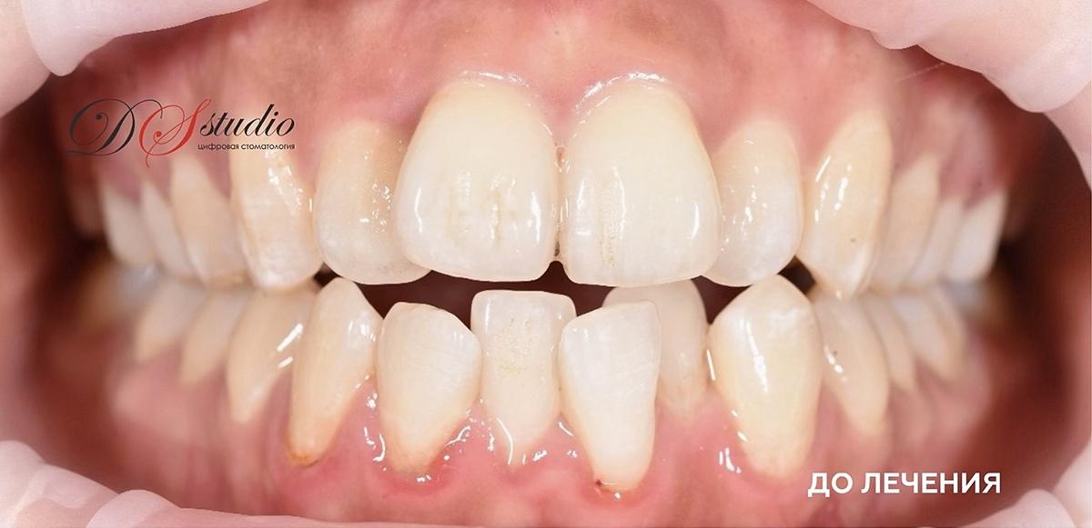
Исходная ситуация:

В нашу клинику обратилась пациентка с жалобами :

  • Скученность зубов как на верхней, так и на нижней челюсти;
  • Щелчки при открывании рта в области ВНЧС;
  • Выраженная дивиация (челюсть смещается вбок от центральной линии) нижней челюсти.
-2

Из чего складывается наше лечение:

  • В качестве лечения ВНЧС - использовали окклюзионно - стабилизирующую каппу;
  • Ортодонтическое лечение в 2 этапа:

1. Создание пространства для резцов на нижней челюсти из -за скученности;

2. Интеграция резцов в ортодонтическую систему.

-3

Лечение продолжается и в настоящее время.

Завершающим этапом лечения будет изготовление окклюзионных накладок для стабилизации ВНЧС и результата лечения.

-4

Если вы хотите иметь ровные и красивые зубы, избавиться от щелчков и болей в челюстном суставе, запишитесь на консультацию+7(495) 106-53-25 и мы с радостью вам в этом поможем.