Добавить в корзинуПозвонить
Найти в Дзене

Пневмония бывает разной...

Вечером на дежурстве в приемный покой ко мне обратился ребенок, 11 лет. Жалобы: высокая температура тела - 40,1*С, частый сильный кашель, мокрота плохо отходит.  Ребенок приезжий. Накануне вызывали врача на дом, педиатр осмотрел, предположил диагноз: "Пневмония". Были назначены антибиотики - группа макролидов (кларитромицин) !! Однако,здесь была допущена ошибка в дозировке. Ребенку весом 70 кг назначена дозировка - 500 мг в сутки (250 мг два, раза это мало); муколитики. Рентгенография органов грудной клетки не назначена и не проводилась, с ссылкой на то, что уже вечер пятницы. Было предложено прийти в понедельник для снимка. !! Это вторая ошибка. Если написан диагноз "Пневмония под вопросом", обязательно снимок в течение 2 часов.  Но, родители вместо того, чтоб лечить ребенка, привезли его в глухую глушь (даже не в райцентр, а в деревню). Лучше человечку не стало, стало только хуже.  На осмотре кашляет. Сильно. Нет, не так. Очень сильно и часто. Весь в холодном поту, отмечается слаб

Вечером на дежурстве в приемный покой ко мне обратился ребенок, 11 лет. Жалобы: высокая температура тела - 40,1*С, частый сильный кашель, мокрота плохо отходит. 

Ребенок приезжий. Накануне вызывали врача на дом, педиатр осмотрел, предположил диагноз: "Пневмония". Были назначены антибиотики - группа макролидов (кларитромицин) !! Однако,здесь была допущена ошибка в дозировке. Ребенку весом 70 кг назначена дозировка - 500 мг в сутки (250 мг два, раза это мало); муколитики. Рентгенография органов грудной клетки не назначена и не проводилась, с ссылкой на то, что уже вечер пятницы. Было предложено прийти в понедельник для снимка. !! Это вторая ошибка. Если написан диагноз "Пневмония под вопросом", обязательно снимок в течение 2 часов. 

Но, родители вместо того, чтоб лечить ребенка, привезли его в глухую глушь (даже не в райцентр, а в деревню). Лучше человечку не стало, стало только хуже. 

На осмотре кашляет. Сильно. Нет, не так. Очень сильно и часто. Весь в холодном поту, отмечается слабость, интоксикация. Лабильность нервной системы (на учете у невролога), ожирение 2-3 степени. Аускультативно - дыхания в легких нет. С обеих сторон глухо. Хрипов кстати тоже почти нет, единично разве что сухие справа. Насыщение крови кислородом -94%. 

Предлагаю госпитализацию, но внутренне понимаю, что тут можем сами не справиться. В планах лишь провести обследования, купировать лихорадку и интоксикацию, перевести в профильный стационар. По прописке его охотно примут, особенно если пневмония подтвердится. Но родители от госпитализации отказываются. Пациент как только услышал о такой перспективе, разразился бурной истерикой. 

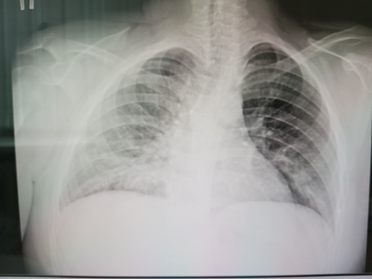
Мне бы поставить литическую смесь, взять с них отказ от госпитализации, да отправить на все четыре стороны и спать себе спокойно. Но я же не буду спокойно спать, я себя знаю. Вызываю из дома рентген лаборанта. Снимок мне в выходные никто не опишет, будем смотреть сами глазами. Увиденное подтверждает услышанное. Очагов поражения легочной ткани настолько много, что неудивительно почему такая лихорадка. Местами задействованы несколько сегментов, поражение двустороннее. Созваниваюсь с коллегами из "большого города", стационара третьего уровня. 

Первый вопрос дежурного врача: -А кто ему вообще диагноз поставил? 

- Я поставила. (Я же врач, пусть и дежурный) . 

- Что и снимок делали? 

- Да, делали. 

- Когда? 

- Получаса не прошло. 

- И что прям очаги есть? (Тон врача передать не могу, но там коктейль из сомнений и недоверия). 

- Да, очагов очень много, с двух сторон. 

Отличительной особенностью работы врача на селе является то, что нужно каждому врачу из "крутых" больниц доказывать, что ты не дурак. Ну да ладно, мы привыкли. 

- Но они же у вас отказываются от госпитализации. 

- Да, только отпустить их просто домой я тоже не могу. Мне нужно дать направление туда, где его точно примут. Вы возьмете такого пациента? 

- Они по месту жительства относятся не к нам, отправляйте в инфекционное отделение той больницы, куда он прикреплен. 

Тоже самой пришлось выслушать вторым дублем и доказывать повторно. От транспортировки бригадой скорой медицинской помощи родители отказались. "Доедем сами". Я услышала. Но у меня все таки получилось внушить им, что ехать нужно именно сегодня. За два дня неизвестно еще что может случиться. А состояние пациента ухудшалось с каждым часом. Кроме выявленной двусторонней превмонии, присоединился так же двусторонний плеврит, гидроторакс. Выпот в плевральных полостях достигал 450 и 320 мл. Это сказалось на оксигенации крови. Ситуация упала до 73%. Ребенок был переведён в реанимационное отделение как раз той самой больницы, в которую я изначально звонила. В течение всего заболевания лихорадка продолжалась больше 18 суток. Ребёнок на кислородной зависимости. Усугубляло ситуацию и сопутствующая патология. Шла смена антибактериальной терапии с одного на другой. Комбинация препаратов. Решением врачебной комиссии пациенту назначались препараты, запрещенные в детской практике (по жизненным показаниям их назначают в исключительных случаях). Конечно же, добавились грибковые осложнения. Все это говорило о тяжелом течении пневмонии. 

Но молодой организм справился, выбрался. Исход благоприятный! 

Выводы? Думаю, вы сами сделаете. 

Работаем дальше.