Добавить в корзинуПозвонить
Найти в Дзене

Почему страдают зубы после химиотерапии и лучевой терапии?

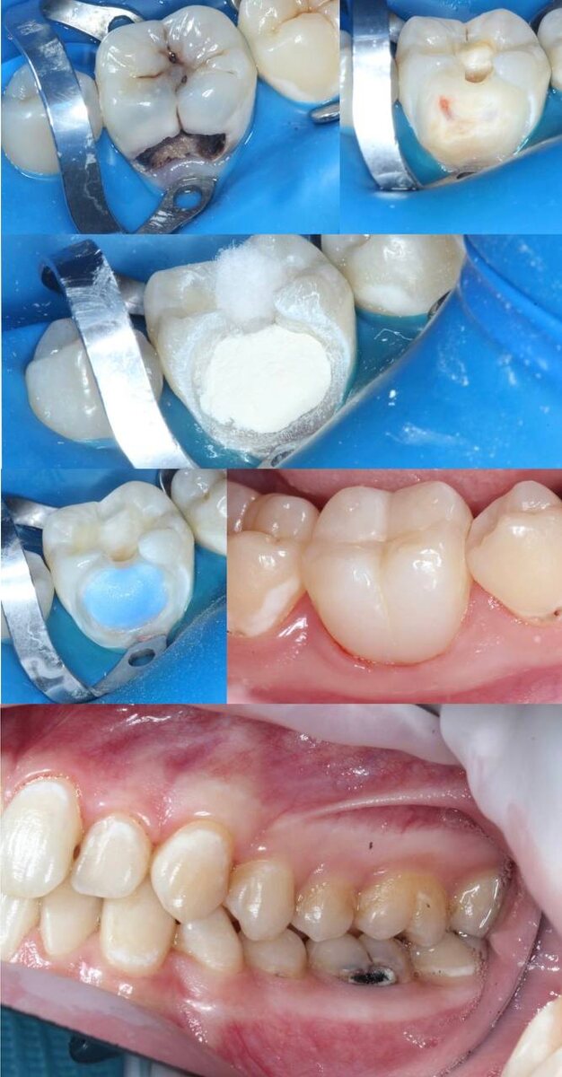
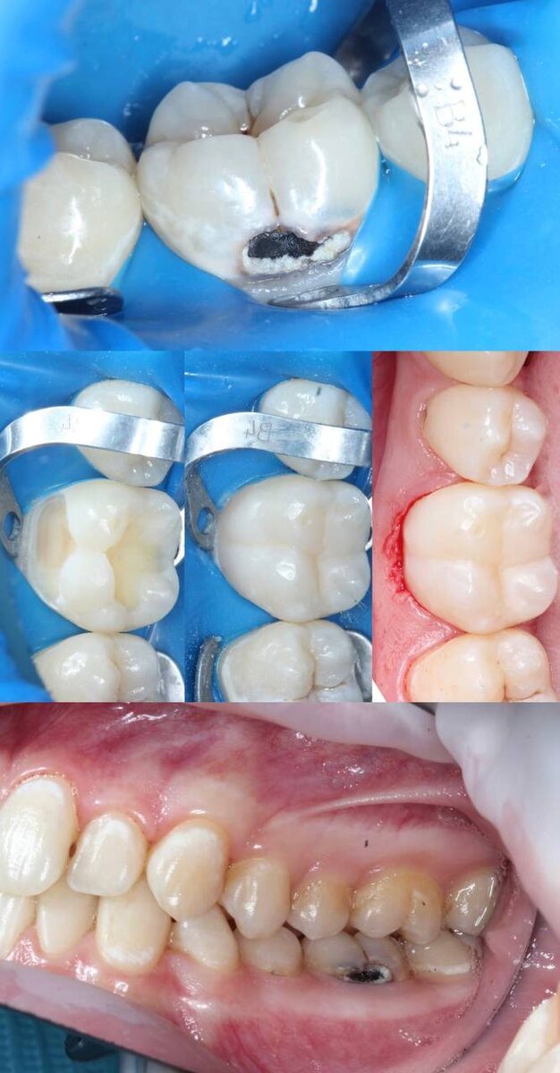
Химиотерапия и лучевая терапия, применяемые для лечения онкологических заболеваний, могут оказывать значительное воздействие на состояние зубов и полости рта. Вот основные причины, почему это происходит: Сейчас покажем, как нам удается справиться с данной задачей В данном клиническом случае мы показываем, с какими последствиями в полости рта столкнулся подросток после лечения Лимфомы Беркитта, которое сопровождалось высокодозной химиотерапией.   Проведено лечение глубокого кариеса. В одном из зубов даже точечно вскрыта пульпа, но благодаря биосовместимым материалам, мы оставили зуб живым и будем его наблюдать! Для минимизации негативных последствий для зубов после химио-лучевой терапии важно соблюдать тщательную гигиену полости рта, регулярно проходить профилактические осмотры у стоматолога и, при необходимости, проводить лечение под контролем специалиста

Химиотерапия и лучевая терапия, применяемые для лечения онкологических заболеваний, могут оказывать значительное воздействие на состояние зубов и полости рта. Вот основные причины, почему это происходит:

  • Иммунодефицит. Химиотерапия и лучевая терапия могут снижать иммунитет, что делает организм более уязвимым к инфекциям и заболеваниям твердых и мягких тканей полости рта, в том числе. 
  • Слюна. Эти методы лечения могут вызывать изменения в составе и количестве слюны, что приводит к нарушению её защитных функций и повышению риска развития кариеса.
  • Нарушение трофики тканей. Лучевая и химиотерапия могут вызывать нарушения в трофике тканей, что приводит к ухудшению кровоснабжения и питания зубов и дёсен.
  • Дегенеративные изменения. Лучевое воздействие может вызывать гибель пульпы зуба или зачатка постоянного зуба, что приводит дисфункции и, как следствие, к разрушению зуба.
  • Повреждение белковой матрицы дентина. Лучевой кариес может развиваться на фоне повреждения белковой матрицы дентина, что нарушает его структуру и делает зубы более подверженными разрушению.
  • Нарушение реминерализации эмали: химио-лучевая терапия может нарушать процессы реминерализации эмали, что делает зубы более уязвимыми к кариесу.

Сейчас покажем, как нам удается справиться с данной задачей

В данном клиническом случае мы показываем, с какими последствиями в полости рта столкнулся подросток после лечения Лимфомы Беркитта, которое сопровождалось высокодозной химиотерапией.  

-2

Проведено лечение глубокого кариеса. В одном из зубов даже точечно вскрыта пульпа, но благодаря биосовместимым материалам, мы оставили зуб живым и будем его наблюдать!

Для минимизации негативных последствий для зубов после химио-лучевой терапии важно соблюдать тщательную гигиену полости рта, регулярно проходить профилактические осмотры у стоматолога и, при необходимости, проводить лечение под контролем специалиста