Добавить в корзинуПозвонить
Найти в Дзене
Доктор Абакумов

ВЫСОКИЙ ПРОЛАКТИН НА ПРИЕМЕ

Сегодня прилетела на прием молодая девушка из-за границы. 8 лет жалуется на отсутствие энергии, волосы сильно выпадают, нет радости в жизни. Ставили дефицит железа, лечили таблетками и капельницами.  Я начинаю прием тревожных пациентов со шкалы бека, по результатам - выраженная депрессия. К ней может приводить дефицит железа, магния, витаминов Б, на фоне повышения кортизола растут АНТИ ТПО, страдает Щитовидка. Но тут не укладывается, меня сильно смущает срок 8 лет и ничего не помогало, витамины горстями назначали.  Срочно берем все гормоны. И я вижу пролактин (гормон гипофиза) 4000 (при норме до 500).  Объясню: пролактин это гормон который вырабатывает гипофиз в мозге. Он нужен для нормальных менструаций и лактации. Короче главный по женскому здоровью. Если его много начинается пипец: лишний жир, бесплодие, фригидность.  А еще он противник гормона радости - дофамина. Чем выше пролактин, тем меньше хочется быть счастливым, все заедаешь жиреешь, унылый.  Есть исследования доказывающи

Сегодня прилетела на прием молодая девушка из-за границы. 8 лет жалуется на отсутствие энергии, волосы сильно выпадают, нет радости в жизни. Ставили дефицит железа, лечили таблетками и капельницами. 

-2

Я начинаю прием тревожных пациентов со шкалы бека, по результатам - выраженная депрессия. К ней может приводить дефицит железа, магния, витаминов Б, на фоне повышения кортизола растут АНТИ ТПО, страдает Щитовидка. Но тут не укладывается, меня сильно смущает срок 8 лет и ничего не помогало, витамины горстями назначали. 

-3

Срочно берем все гормоны. И я вижу пролактин (гормон гипофиза) 4000 (при норме до 500). 

Объясню: пролактин это гормон который вырабатывает гипофиз в мозге. Он нужен для нормальных менструаций и лактации. Короче главный по женскому здоровью. Если его много начинается пипец: лишний жир, бесплодие, фригидность. 

А еще он противник гормона радости - дофамина. Чем выше пролактин, тем меньше хочется быть счастливым, все заедаешь жиреешь, унылый. 

Есть исследования доказывающие влияние пролактина на вес. В ретроспективном исследовании Y. Greenman в течении 5 лет исследовали пациентов с аденомами гипофиза. При назначении терапии, направленной на снижение концентрации пролактина, 17 из 42 пациенток отметили снижение веса. И у меня таких случаев десятки. 

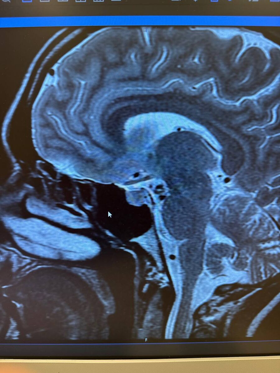
Причина повышения пролактина прием антидепрессантов, КОК, но тут зашкаливает поэтому отправил девушку экстренно на МРТ гипофиза с контрастом. 

Первое, что надо сделать при повышенном пролактине - МРТ гипофиза с контрастом. И конечно догадки подтвердились оказалась аденома, которая сдавливает гипофиз и вырабатывает много пролактина.

Расписал лечение и отпустил, теперь все будет хорошо. Жаль только 8 потраченных лет и сотни тысяч денег. 

Как думаете стоило лететь из другой страны за диагнозом? 

Поделитесь у вас было повышение пролактина?