Найти в Дзене
Белка в позе

Работа в операционной, день первый.

Здравствуйте всем , кто читает мои статьи🤝 Я же по совместительству еще и операционная медсестра, замещаю основную сестру , на время ее отпуска. Вторую медсестру так и не нашли(подозреваю, что уже и не ищут) Согласилась обучиться и получить сертификат операционного дела по доброте душевной , чтобы помочь родному отделению, но , у нас же доброта за слабость принимается , припрягли по полной. Но , да ладно, зато начальство глаза закрывает на мои огрехи, в виде раннего ухода домой со смены) Числюсь я за нашим же отделением , и вредность мне идет та же самая. Работаю только на внутрисосудистых и внутритканных операциях, малоинвазивных. Сама работа операционной медсестры мне не по нраву, на мой склад характера не ложится , но , бывают и интересные операции. Сегодня была только одна операция , сочетологи подали пациента с ранение бедра , в нем застрял осколок, но , расположился осколок крайне неудачно, нужно было просветить сосуды , чтобы посмотреть , как правильно достать осколок. Мужчина

Здравствуйте всем , кто читает мои статьи🤝

Я же по совместительству еще и операционная медсестра, замещаю основную сестру , на время ее отпуска.

Вторую медсестру так и не нашли(подозреваю, что уже и не ищут)

Согласилась обучиться и получить сертификат операционного дела по доброте душевной , чтобы помочь родному отделению, но , у нас же доброта за слабость принимается , припрягли по полной.

Но , да ладно, зато начальство глаза закрывает на мои огрехи, в виде раннего ухода домой со смены)

Числюсь я за нашим же отделением , и вредность мне идет та же самая.

Работаю только на внутрисосудистых и внутритканных операциях, малоинвазивных.

Сама работа операционной медсестры мне не по нраву, на мой склад характера не ложится , но , бывают и интересные операции.

Артериография

Сегодня была только одна операция , сочетологи подали пациента с ранение бедра , в нем застрял осколок, но , расположился осколок крайне неудачно, нужно было просветить сосуды , чтобы посмотреть , как правильно достать осколок.

Мужчина получил ранение на СВО. Комиссован по состоянию здоровья.

Он не первый такой пациент в нашей больнице. Все раненные бойцы получают первую , экстренную помощь прямо в зоне боевых действий, а дальше они доезжают до мест проживаний , и госпитализируются для оказания дальнейшей помощи.

Пациента привезли , а намылась, накрываю стол.

–Мне операцию будут делать? –спросил пациент

–Да, малоинвазивную, посмотреть артерии и вены.Вам разве не объяснили?

–Нет.

Вот что значит военный человек. Не задают лишних вопросов, "родина сказала "надо", комсомол ответил -есть! "

–У меня же там просто осколок, –сказал он.

–Ну , значит, не просто , может , располагается неудачно , сейчас как раз и посмотрим!

–А больно будет? –как- то по детски спросил военнослужащий.

–Ну что вы! Все будет под местной анестезией, возможен дискомфорт при введении контраста.

–Чегооо??

–Контрастного вещества,его вам введут для лучшей визуализации сосудов.

–Аа , это типа капельницы?

–Типа –да, только через артерию.

–Ну тогда ладно, я готов.

Почему пациенту не объяснили куда и зачем его повезут и что будут делать?

Нам -то сразу сказали , в чем суть артериографии, но лично я считаю, что это необходимо разъяснять суть процедур пациентам. Когда я работала на посту , то всегда максимально подробно объясняла пациентам куда и зачем они пойдут и для чего это нужно. Они сразу успокаивались, соглашались. Неужели это так сложно объяснить пациенту суть и ход процедуры, чтобы он не боялся? Только согласие отбирают, а дальше трясись от неизвестности.

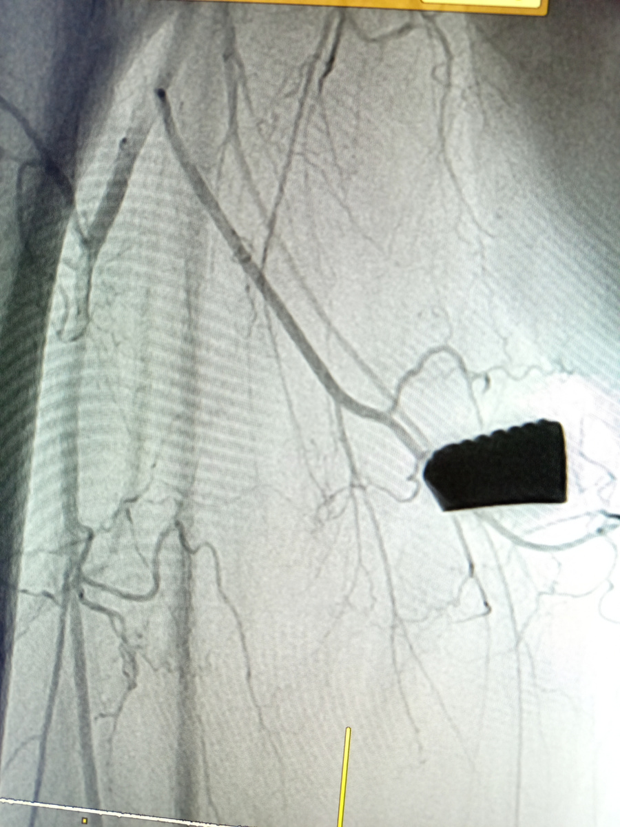
Установили интродъюсер, завели катетер , по нему гидрофильный проводник, прокрасили сосуды.

-2

-3

Артерии проходимы, мелкие сосуды тоже видно.И видно , что место внедрения осколка плотно опутано сосудами

–Тут два варианта развития событий выходит, –объяснил наш врач пациенту , протранслировав ему само видео.–Либо вы решите , что осколок вам не мешает жить, и травматологи его не достают , либо нужно сделать эмболизацию.

–Что это такое??

–Мы остановим кровоток в том месте , где у вас осколок, после чего его извлекут без боязни повредить русло.

–А подумать можно? –поинтересовался пациент , просто обалдев от свалившейся на него информации.

–Да , конечно, я думаю до завтра у вас есть время! –предупредил его наш эндоваскулярщик.

Полагаю, что пациент, обдумав и оценив все риски , согласится на эмболизацию.

И завтра ему "закидаем эмболами"кровоток, потом травматологи без страха осложнений спокойно вынут осколок, и пациент благополучно выпишется .

А на завтра уже анонсирована операция ЭМА(эмболизация маточных артерий ) и ТИПС.(стентирование печеночной вены)

Как назло , как будто ждут , когда я выйду замещать основную медсестру. Операция –длинная , сложная и противная. Всего было закуплено расходника на год 15 штук, и это будет мой пятый ТИПС! Прямо наказание!

Берегите себя!