Найти в Дзене
Сайт психологов b17.ru

Механизмы фрустрации и её терапии

Всем, наверное, известно расхожее выражение о том, что "мозг не отличает воображаемое от реального". В принципе, на этом основаны психотерапевтические стратегии развенчания страхов и активации ресурсов. Но всё, как водится, несколько сложнее. Действительно, чисто воображаемые визуальные образы формируются там же, где и образы реальной реальности - в сети областей мозга от лобной коры до сенсорных областей, перекрывающихся с сетью дефолт-режима (пассивный режим работы мозга), и, как показывают исследования нейробиологов, могут функционировать во многом как слабая версия афферентного (сенсорного) восприятия, то есть воспринимаются и обрабатываются мозгом как "внешние" сигналы (Pearson, J. The human imagination: the cognitive neuroscience of visual mental imagery. Nat Rev Neurosci 20, 624–634. 2019). Яркость и сила образов варьируются от полного отсутствия (афантазия, несчастные люди, совсем без воображения!) до фотоподобных (гиперфантазия), когда картинка, что называется, реалистична "до

Всем, наверное, известно расхожее выражение о том, что "мозг не отличает воображаемое от реального". В принципе, на этом основаны психотерапевтические стратегии развенчания страхов и активации ресурсов. Но всё, как водится, несколько сложнее. Действительно, чисто воображаемые визуальные образы формируются там же, где и образы реальной реальности - в сети областей мозга от лобной коры до сенсорных областей, перекрывающихся с сетью дефолт-режима (пассивный режим работы мозга), и, как показывают исследования нейробиологов, могут функционировать во многом как слабая версия афферентного (сенсорного) восприятия, то есть воспринимаются и обрабатываются мозгом как "внешние" сигналы (Pearson, J. The human imagination: the cognitive neuroscience of visual mental imagery. Nat Rev Neurosci 20, 624–634. 2019). Яркость и сила образов варьируются от полного отсутствия (афантазия, несчастные люди, совсем без воображения!) до фотоподобных (гиперфантазия), когда картинка, что называется, реалистична "до дрожи" (в том числе - радостной).

С другой стороны, разумеется, здоровый мозг отличает воображаемое от реального, постоянно проверяя, в частности, пересекают ли ментальные и реальные образы «порог реальности». Как показывают исследования, хотя одни и те же области мозга обрабатывают и то, и другое, мы все же редко путаем образы, возникающие в нашем воображении, с образами реальности. Впрочем, уточняется, что такое возможно, но для этого сигнал от воображения должен быть очень силен, даже мощен. "Воображение обычно относительно слабо, и поэтому мы не путаем его с реальностью, но если воображение становится достаточно сильным или ярким, оно может восприниматься как реальность" (Dijkstra, N., Fleming, S.M. Subjective signal strength distinguishes reality from imagination. Nat Commun 14, 1627. 2023). Когда такой сигнал становится настолько мощным? Когда имеет место та самая гиперфантазия, или когда есть очевидный психоз, или когда человек галлюционирует, или при посттравматическом стрессовом расстройстве (ПТСР), при котором флэшбеки чрезвычайно реалистичны. Но, полагаю, не только.

На мой взгляд, яркость воображаемого, а, следовательно, его "реалистичность" и соответствующие наши реакции, определяются также интенсивностью сопряженных с ним эмоций, степенью нежелательности, или, наоборот, желательности воображаемого. Картинки твоего личного апокалиптического будущего или образы твоего же невероятного счастья могут быть настолько ярки и жизненны, что будут восприниматься как вполне реалистичные. Интересно в этой связи недавнее открытие нейробиологов, согласно которому, во время мечтаний, или того самого воображения активность в зрительной коре происходит одновременно с активностью в гиппокампе. "Это позволяет предположить, что во время фантазий две области мозга взаимодействуют. Основываясь на результатах исследования, эксперты предполагают, что мечты могут активно участвовать в пластичности мозга"(Harvard Medical School. "What happens in the brain while daydreaming?." ScienceDaily. www.sciencedaily.com/releases/2023/12/231213112457.htm).

Что же мы имеем? Зрительная кора отвечает за картинки, образы наших мыслей и воспоминаний, в том числе "воспоминаний о будущем", будь оно ужасно или прекрасно. Гиппокамп преобразует кратковременные воспоминания, включая воображаемые образы, в долговременные, организуя, сохраняя и извлекая их при необходимости. Другими словами, человек "видит" крайне нежелаемое или крайне желаемое состояние вещей, которое фиксируется на уровне нейронных сетей в виде "воспоминаний" об этом состоянии. То есть фантазия, мечта становится для мозга практически реальностью, чем-то свершившимся. Именно в этом, на мой взгляд, заключается, в частности, нейрональный механизм фрустрации, известной в психологии как разочарование из-за чего-то несбывшегося, неполученного, несостоявшегося. Учитывая описанные выше механизмы, она, вероятно, воспринимается мозгом не как несбывшееся ожидание, а как утрата уже "обретенного". А утрата или потеря - это эмоциональная травма. А с эмоциональными травмами лучше всего справляется EMDR-терапия, в которой, кстати, есть протокол для работы со страхами ужасного будущего (Flashforward А. ДеЙонга). Очевидно, стоит задача разработки протокола работы с несостоявшимся прекрасным будущим, когда реальность не та, о какой мечталось - несложившиеся, или не так сложившиеся отношения, недостигнутые результаты в профессиональной деятельности, несостоявшийся карьерный рост, не та реализация, не то положение, не тот статус, не тот уровень, словом, любое неполучение сильно желаемого, вызывающее мощный эмоциональный отклик. Нет сомнений, что помощь EMDR-терапии при таких состояниях была бы бесценна. Осталось разработать протокол).

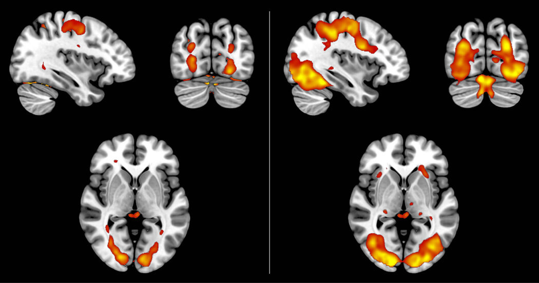
Сканирование функций мозга показывает, что воображаемые и воспринимаемые изображения запускают схожие модели активности, но сигналы для воображаемых изображений слабее (слева).

Источник: Dijkstra, N.Subjective signal strength...

Автор: Кармадонов Олег Анатольевич
Психолог, Клинический психолог Сексолог

Получить консультацию автора на сайте психологов b17.ru