Добавить в корзинуПозвонить
Найти в Дзене
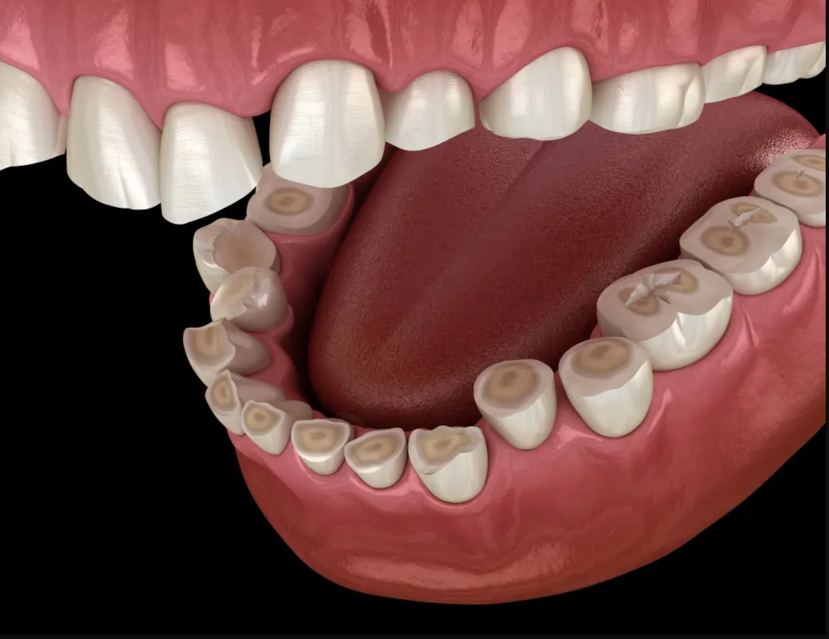
Бруксизм – это состояние, характеризующееся непроизвольным сокращением жевательных мышц, что приводит к сильному сжиманию зубов и их трению друг о друге. Это может происходить как во сне (ночной бруксизм), так и при бодрствовании (дневной бруксизм). Какие симптомы могут возникнуть при бруксизме? Симптомы бруксизма могут включать следующие проявления: 1. Головная боль. Часто возникает утром после пробуждения. 2. Боль в лицевых мышцах. Особенно в области височно-нижнечелюстного сустава (ВНЧС) и шеи. 3. Боли в ушах. Могут быть связаны с напряжением жевательных мышц. 4. Головокружение. Может быть связано с недостатком сна и усталостью. 5. Нарушения сна. Например, частые пробуждения ночью, трудности с засыпанием или беспокойный сон. 6. Повреждение зубной эмали. В результате трения зубов друг о друга. 7. Усталость и раздражительность. Связаны с нарушением качества сна. 8. Проблемы с зубами. Такие как сколы, переломы, повышенная чувствительность и подвижность зубов. 9. Постоянное ощущение тяж

Бруксизм – это состояние, характеризующееся непроизвольным сокращением жевательных мышц, что приводит к сильному сжиманию зубов и их трению друг о друге. Это может происходить как во сне (ночной бруксизм), так и при бодрствовании (дневной бруксизм).

Какие симптомы могут возникнуть при бруксизме?

Симптомы бруксизма могут включать следующие проявления:

1. Головная боль. Часто возникает утром после пробуждения.

2. Боль в лицевых мышцах. Особенно в области височно-нижнечелюстного сустава (ВНЧС) и шеи.

3. Боли в ушах. Могут быть связаны с напряжением жевательных мышц.

4. Головокружение. Может быть связано с недостатком сна и усталостью.

5. Нарушения сна. Например, частые пробуждения ночью, трудности с засыпанием или беспокойный сон.

6. Повреждение зубной эмали. В результате трения зубов друг о друга.

7. Усталость и раздражительность. Связаны с нарушением качества сна.

8. Проблемы с зубами. Такие как сколы, переломы, повышенная чувствительность и подвижность зубов.

9. Постоянное ощущение тяжести в челюстях.

Эти симптомы могут варьироваться в зависимости от степени выраженности бруксизма и индивидуальных особенностей пациента.

Какие методы диагностики бруксизма существуют?

Диагностика бруксизма может включать несколько методов:

1. Опрос пациента и его близких. Вопросы о наличии шумов, жалоб на боли в челюсти, головные боли, нарушения сна и другие симптомы.

2. Осмотр полости рта. Включает оценку состояния зубов, десен, языка и мягких тканей. Также может проводиться анализ челюстных суставов и мышечных групп.

3. Анализ ночного скрежетания зубами. Использование специальных устройств для записи звуков, производимых во время сна.

4. Рентгеновские снимки. Они помогают оценить состояние зубов, челюстей и ВНЧС.

5. Электромиография. Исследование электрической активности жевательных мышц, позволяющее выявить чрезмерное напряжение.

6. Полисомнография. Многофункциональное исследование сна, которое позволяет одновременно регистрировать множество параметров, таких как дыхание, сердечный ритм, активность мозга и движение глаз.

Комплексное обследование помогает определить степень и характер бруксизма, а также выбрать наиболее эффективный метод лечения.

Какие методы лечения бруксизма существуют?

Методы лечения бруксизма могут включать следующие подходы:

1. Применение защитных капп. Специальные устройства, которые надеваются на верхний или нижний ряд зубов и предотвращают их трение друг о друга. Каппы могут быть стандартными или изготавливаться индивидуально по слепку зубов пациента.

2. Расслабляющие упражнения для мышц лица. Эти упражнения направлены на уменьшение напряжения в жевательных мышцах и улучшение общего состояния организма.

3. Изменение образа жизни. Может включать отказ от вредных привычек, таких как курение и употребление алкоголя, а также регулярные физические нагрузки и правильное питание.

4. Медикаментозная терапия. Применяются препараты, направленные на снижение напряжения и спазмов мышц, а также улучшение качества сна.

5. Консультация психолога. В некоторых случаях бруксизм может быть связан с психологическими проблемами, поэтому консультация специалиста может быть полезной.

6. Хирургическое вмешательство. В редких случаях, когда другие методы лечения не дают результатов, может потребоваться оперативное вмешательство для коррекции структуры челюстно-лицевого аппарата.

Выбор метода лечения зависит от индивидуальных особенностей пациента, степени выраженности бруксизма и наличия сопутствующих заболеваний.

Дорогие пациенты!

Стоматологическая клиника «Лаки Смайл» на Таганке приглашает вас к врачу-гнатологу для диагностики и лечения бруксизма. Наш опытный специалист поможет вам справиться с этим неприятным состоянием и вернуть комфорт в вашу жизнь.

Бруксизм – это непроизвольное сжатие зубов и их трение друг о друга, которое может происходить во сне или при бодрствовании. Это состояние вызывает многочисленные симптомы, такие как головная боль, боль в лицевых мышцах, боли в ушах, головокружение, нарушения сна и другие. Если вы заметили у себя признаки бруксизма, не откладывайте визит к врачу.

В нашей клинике мы предлагаем комплексный подход к диагностике и лечению бруксизма. Мы используем современные методы исследования, такие как полисомнография, электромиография и рентгеновские снимки, чтобы точно определить причину вашего состояния. После тщательного анализа врач-гнатолог предложит вам оптимальный план лечения, который может включать применение защитных капп, расслабляющие упражнения для мышц лица, изменение образа жизни и, при необходимости, медикаментозную терапию.

Не дайте бруксизму испортить ваше здоровье и качество жизни. Запишитесь на прием к нашему врачу-гнатологу уже сегодня и начните путь к здоровой улыбке и спокойному сну. Мы ждем вас в клинике «Лаки Смайл» на Таганке. Ваше здоровье – наша забота!

Более подробно о наших ценах https://ls-stom.ru/czenyi