Добавить в корзинуПозвонить
Найти в Дзене

Новая версия клеточного цикла

В дыхательных путях человека господствует определенный тип клеток: мультицилиарные клетки, украшенные десятками волоскоподобных синхронно бьющихся ресничек. Эти клетки отвечают за очистку от чужеродных бактерий и вирусов. «Они нарушают нормальную архитектуру, поскольку почти все клетки в вашем теле имеют по одной или ноль ресничек», - говорит Джереми Райтер, генетик по развитию из Калифорнийского университета. «И каждый раз, когда отдельный тип клеток делает что-то крутое или неожиданное, он становится интересным объектом для выяснения того, как это происходит». Ученых давно интересовало, как клетки становятся мультицилиарными. Ранее другие исследователи обнаружили, что несколько генов, тесно связанных с каноническим клеточным циклом, повторно используются в процессе дифференцировки мультицилиранных клеток. Райтер и его коллеги попытались выяснить, как именно клеточный цикл может быть связан с дифференцировкой в этих особых клетках. В работе, недавно опубликованной в журнале Nature, ав
Иллюстрация: the-scientist.com
Иллюстрация: the-scientist.com

Ученые обнаружили новый вариант клеточного цикла, который может дать представление о том, как возникают такие заболевания, как рак.

В дыхательных путях человека господствует определенный тип клеток: мультицилиарные клетки, украшенные десятками волоскоподобных синхронно бьющихся ресничек. Эти клетки отвечают за очистку от чужеродных бактерий и вирусов. «Они нарушают нормальную архитектуру, поскольку почти все клетки в вашем теле имеют по одной или ноль ресничек», - говорит Джереми Райтер, генетик по развитию из Калифорнийского университета. «И каждый раз, когда отдельный тип клеток делает что-то крутое или неожиданное, он становится интересным объектом для выяснения того, как это происходит».

Ученых давно интересовало, как клетки становятся мультицилиарными. Ранее другие исследователи обнаружили, что несколько генов, тесно связанных с каноническим клеточным циклом, повторно используются в процессе дифференцировки мультицилиранных клеток. Райтер и его коллеги попытались выяснить, как именно клеточный цикл может быть связан с дифференцировкой в этих особых клетках. В работе, недавно опубликованной в журнале Nature, авторы обнаружили, что мультицилиарные клетки на самом деле используют ранее неизвестный вариант клеточного цикла, который они назвали «циклом мультицилиации». По словам ученых, это исследование может быть полезно для лучшего понимания таких процессов, как рак, при котором клеточный цикл также нарушается.

Чтобы лучше понять, как работает цикл мультицилиации, ученые сначала выявили изменения в экспрессии генов, когда клетки дифференцировались из стволовых в мультицилиарные. «Классические митотические киназы, которые обычно регулируют деление, очень хорошо и последовательно экспрессировались во время дифференциации мультицилиарных клеток, - рассказывает Райтер. Эта последовательная экспрессия соответствовала фазам традиционного клеточного цикла: G0/G1 (клетка увеличивается в размерах), S (клетка реплицирует свою ДНК) и G2/M (клетка готовится к делению и затем делится).

Хотя цикл мультициации соответствовал транскрипционным фазам традиционного клеточного цикла, репликации ДНК не происходило, и клетки в итоге не делились. Вместо этого они вырастили пучок ресничек. Чтобы выяснить, что может быть причиной этих различий, ученые проанализировали гены, которые по-разному экспрессировались в этом варианте клеточного цикла и в традиционном клеточном цикле.

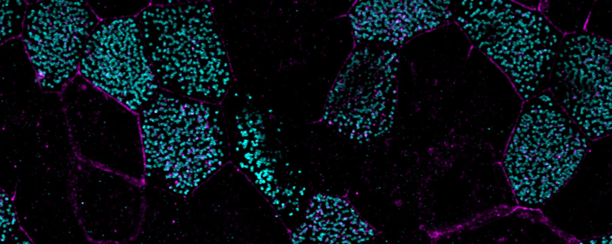
На микрофотографии со сверхразрешением изображены две клетки дыхательных путей, которые окрашены по центриолям (пурпурный цвет) и ресничкам (голубой цвет). Первичная реснитчатая клетка (слева) - это клетка-предшественник, в которой зарождается цикл мультицилиации. Дифференцированная клетка (справа) имеет сотни центриолей и ресничек в результате цикла мультицилиации. Фото: Semil Choksi
На микрофотографии со сверхразрешением изображены две клетки дыхательных путей, которые окрашены по центриолям (пурпурный цвет) и ресничкам (голубой цвет). Первичная реснитчатая клетка (слева) - это клетка-предшественник, в которой зарождается цикл мультицилиации. Дифференцированная клетка (справа) имеет сотни центриолей и ресничек в результате цикла мультицилиации. Фото: Semil Choksi

Они обнаружили, что один из факторов, называемый E2F7, экспрессируется на более высоком уровне в цикле мультицилиации. Когда исследователи отключили E2F7 у мышей, они обнаружили, что в мультицилиарных клетках этих мышей значительно увеличилось количество маркеров синтеза ДНК, что указывает на то, что цикл мультицилиации в этих мутировавших клетках изменился и стал более похож на канонический клеточный цикл.

Интересно, что у нокаутных по E2F7 мышей также наблюдалась гидроцефалия - аномальное скопление жидкости в мозге. Это было связано с дисфункцией мультицилиарных клеток в мозге, которые не могли адекватно выводить жидкость. Когда ученые более детально изучили все многоресничные клетки, они обнаружили, что в них меньше ресничек. И вместо аккуратных фаз последовательной экспрессии генов, которые наблюдаются при нормальной дифференцировке мультицилиарных клеток, гены, связанные с клеточным циклом, экспрессируемые этими мутировавшими клетками, сливались друг с другом, без четкого транскрипционного изменения при переходе из фазы S в фазу G2/M.

Эти результаты свидетельствуют о важности E2F7 как одного из ключевых факторов, управляющих циклом мультицилиации. Райтер сравнивает эти различные версии клеточного цикла с часами. «Я думаю, что мультицилиарный клеточный цикл дает нам другой тип часов, в котором шестеренки или фундаментальный механизм, лежащий в основе прогрессии, очень похож на канонический клеточный цикл", - сказал он. «Но конечный результат отличается».

«Это действительно прекрасная работа», - считает Кайла Джуэтт, исследователь мультицилиарных клеток из Университета Джонса Хопкинса. Ее интересует, имеют ли функциональное значение, помимо E2F7, другие гены, различающиеся между этим вариантом и каноническим клеточным циклом. По ее словам, более глубокое понимание того, как образуются мультицилиарные клетки, может дать представление о таких заболеваниях, как гидроцефалия, которые могут быть вызваны дисфункцией этих клеток.

Джуэтт не единственная, кто интересуется нюансами мультицилиарных клеток. Жак Серизе, биолог из Института Пастера, тоже. Серизе и его коллеги недавно опубликовали препринт, в котором также описали этот вариант клеточного цикла в мультицилиарных клетках. Хотя они обнаружили сходный циклический паттерн экспрессии генов, управляющий дифференцировкой этих мультицилиарных клеток, они сосредоточили внимание на другой группе дифференциально экспрессируемых генов, называемых циклинами. Когда некоторые из отсутствующих циклинов были заново экспрессированы, они частично восстановили процессы клеточного цикла. «Идея использовать механизм клеточного цикла для дифференцировки просто поразительна», - добавляет Серизе.

Райтер и коллеги считают, что обнаружение этого варианта клеточного цикла дает основание предположить, что могут существовать и другие подобные варианты, которые еще предстоит открыть, - вероятная мультивселенная клеточных циклов. «Возможно, множество клеток по всему организму используют различные варианты клеточного цикла, чтобы управлять дифференцировкой», - говорит он. Обнаружение таких вариантов может дать важные сведения о том, как растут и развиваются клетки по всему организму.

Источник: The Scientist, 6 Sept.,2024