Добавить в корзинуПозвонить
Найти в Дзене

Как лечить стоматит или почему не стоит грызть щеки

Прикусили губу или щеку и теперь место укуса болит? Значит, появилось воспаление. Докучает, не дает нормально есть. Пусть и проходит самостоятельно, но терпеть дискомфорт приходится больше недели. Сегодняшняя статья о том, как вылечиться самостоятельно, если страдаете от последствий укуса себя любимого. Частая причина – прикусывание по неосторожности или травма твердыми продуктами (рыбные кости, чипсы, сухарики). Болеть начинает не сразу, а через 2-3 дня. Заживает долго, потому как располагается болячка на подвижной слизистой. Жуете, говорите – дополнительно травмируете. Поврежденное место выглядит опухшим, с покраснением слизистой оболочки. При контакте возникает боль. В центре припухлости – неглубокий очаг серовато-желтого цвета, обычно от 2 до 5 мм. Эта болячка – афта, потому и болезнь – афтозный стоматит (то есть воспаление слизистой оболочки с наличием афты). Как писал выше, заживать может больше недели. Терпеть невыносимо. Вот несколько простых советов, чтобы ускорить заживление
Оглавление

Прикусили губу или щеку и теперь место укуса болит? Значит, появилось воспаление. Докучает, не дает нормально есть. Пусть и проходит самостоятельно, но терпеть дискомфорт приходится больше недели.

Сегодняшняя статья о том, как вылечиться самостоятельно, если страдаете от последствий укуса себя любимого.

Из-за чего возникает проблема

Частая причина – прикусывание по неосторожности или травма твердыми продуктами (рыбные кости, чипсы, сухарики). Болеть начинает не сразу, а через 2-3 дня. Заживает долго, потому как располагается болячка на подвижной слизистой. Жуете, говорите – дополнительно травмируете.

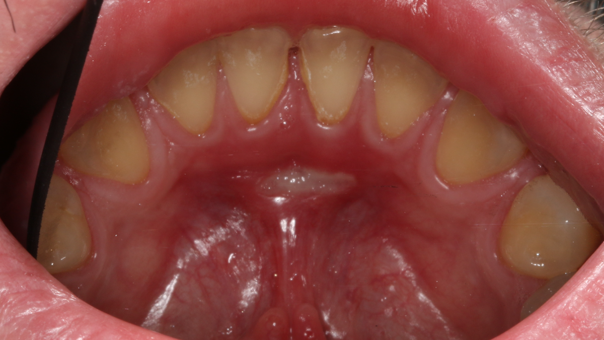
Что появляется во рту при травме

Поврежденное место выглядит опухшим, с покраснением слизистой оболочки. При контакте возникает боль. В центре припухлости – неглубокий очаг серовато-желтого цвета, обычно от 2 до 5 мм. Эта болячка – афта, потому и болезнь – афтозный стоматит (то есть воспаление слизистой оболочки с наличием афты).

Травма уздечки языка чипсами. Заболело через 3 дня. В центре фотографии – типичная афта.
Травма уздечки языка чипсами. Заболело через 3 дня. В центре фотографии – типичная афта.

Как себе помочь

Как писал выше, заживать может больше недели. Терпеть невыносимо. Вот несколько простых советов, чтобы ускорить заживление, если нет возможности заглянуть к стоматологу:

Используйте антисептики. Важно, чтобы к афте не присоединилась бактериальная инфекция. Тогда возможно нагноение – мало не покажется. Помогут с защитой от микробов спрей мирамистина или раствор водного хлоргексидина (0.05%). Обрабатывайте после еды: брызгайте или полощите, в зависимости от формы выпуска. Используйте до 5-7 дней.

И не забывайте чистить зубы!

Наносите обезболивающий гель. Есть разные составы, вкупе с противовоспалительным, обезболивающим средством идет антисептик. Накладывайте на поверхность афты перед едой за 10-15 минут. Будет легче есть. Также до 7 дней.

  • «Холисал» (холина салицилат для обезболивания и снятия воспаления, цеталкония хлорид против микробов)
  • «Камистад» (экстракт ромашки как антисептик, лидокаин - для обезболивания)

Обрабатывайте афту гелевыми или пастообразными антисептиками 2-3 раза в день. Защита от этих составов будет продолжительной. Болячка после нанесения успокаивается.

  • «Метрогил-Дента» (гель)
  • «Асепта» (бальзам для десен)

Ускорьте заживление после того, как афта перестанет болеть. Масляные растворы витаминов или облепиховое масло в помощь. Кто-то наносит пипеткой, кто-то на тампоне. Допустимо и полоскание.

Откажитесь от твердой и горячей еды и напитков. Исключите и кислые, и острые продукты. Играйте в молчанку, если от лишних разговоров все больше укусов на губе или щеке.

-3

Что может сделать стоматолог

То же самое, что в силах выполнить и Вы в домашних условиях. Обратиться же к доктору рекомендуется для постановки правильного диагноза. Если времени на визит нет, запомните: болезненность должна уменьшиться или вообще исчезнуть к концу первой недели лечения. Нет положительного эффекта – вероятно, у вас другая проблема, а не афтозный стоматит. Тогда не затягивайте с посещением стоматолога.

___________________________

Если у Вас возникли вопросы, задавайте их в комментариях. В рамках дозволенного на социальных просторах обязательно отвечу. Понравился материал? Поставьте лайк и подпишитесь – будем встречаться в Дзене чаще.

___________________________

Я принимаю пациентов в Москве в стоматологическом центре «Перово» (1-я Владимирская ул., 14). Если Вас что-то беспокоит, не откладывайте – приходите на консультацию. Она бесплатная.

Записаться можно по телефону: +7 (495) 186-05-25 (привязан WhatsApp, Telegram). Уточните, пожалуйста, администратору, что узнали через Дзен.

Также есть запись через ПроДокторов.

___________________________

Ваш заботливый стоматолог,

А.В.К.