Добавить в корзинуПозвонить
Найти в Дзене

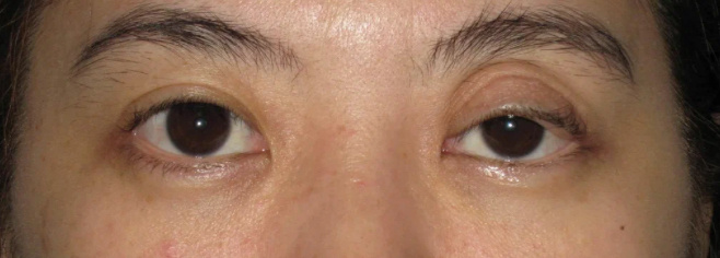
Что такое Птоз века

Птоз (или блефароптоз) — это состояние, при котором верхнее веко опускается ниже нормального уровня, частично или полностью закрывая глаз. Это может привести к функциональным и косметическим проблемам. Причины Основные причины птоза включают: 1. Врожденные аномалии: Птоз может быть врожденным, вызванным недоразвитием мышцы, поднимающей верхнее веко. 2. Неврологические нарушения: Повреждение нервов, контролирующих мышцы века, может привести к птозу. Это может быть связано с заболеваниями, такими как миастения, инсульт или паралич лицевого нерва. 3. Травмы и операции: Повреждения или хирургические вмешательства в области глаз могут вызвать птоз. 4. Возрастные изменения: С возрастом мышцы и сухожилия, поддерживающие веко, могут ослабевать, что приводит к его опущению. Классификация Птоз классифицируется по нескольким признакам: 1. По времени возникновения: o Врожденный: Обнаруживается у ребенка с рождения. o Приобретенный: Развивается в течение жизни из-за различных факторов. 2. По степе

Птоз (или блефароптоз) — это состояние, при котором верхнее веко опускается ниже нормального уровня, частично или полностью закрывая глаз. Это может привести к функциональным и косметическим проблемам.

Причины

Основные причины птоза включают:

1. Врожденные аномалии: Птоз может быть врожденным, вызванным недоразвитием мышцы, поднимающей верхнее веко.

2. Неврологические нарушения: Повреждение нервов, контролирующих мышцы века, может привести к птозу. Это может быть связано с заболеваниями, такими как миастения, инсульт или паралич лицевого нерва.

3. Травмы и операции: Повреждения или хирургические вмешательства в области глаз могут вызвать птоз.

4. Возрастные изменения: С возрастом мышцы и сухожилия, поддерживающие веко, могут ослабевать, что приводит к его опущению.

Классификация

Птоз классифицируется по нескольким признакам:

1. По времени возникновения:

Врожденный: Обнаруживается у ребенка с рождения.

Приобретенный: Развивается в течение жизни из-за различных факторов.

2. По степени выраженности:

Легкий: Веко опускается незначительно, не нарушая функции зрения.

Средний: Веко частично закрывает зрачок, вызывая косметический дефект и возможные проблемы со зрением.

Тяжелый: Веко полностью закрывает глаз, значительно нарушая зрение.

3. По локализации:

Односторонний: Птоз наблюдается только на одном глазу.

Двусторонний: Птоз присутствует на обоих глазах.

Лечение

Лечение птоза зависит от его причины и степени выраженности:

1. Консервативное лечение: Включает использование специальных очков с подъемниками для век и физиотерапию.

2. Хирургическое вмешательство: Основной метод лечения, включающий подтяжку или укорочение мышцы, поднимающей веко.

3. Лечение основного заболевания: В случаях, когда птоз вызван неврологическими или другими системными заболеваниями, лечение направлено на устранение основной причины.

Прогнозы

Прогноз для пациентов с птозом зависит от причины и своевременности начатого лечения:

1. Врожденный птоз: При раннем хирургическом вмешательстве прогноз благоприятный, хотя возможны рецидивы.

2. Приобретенный птоз: Прогноз зависит от основной причины. В большинстве случаев хирургическое лечение дает хорошие результаты.

Птоз требует внимательного медицинского наблюдения и своевременного лечения для достижения наилучших результатов.

Автор статьи:

Врач Офтальмолог: Цыганов А.З.

Записаться на прием вы можете на сайте Первая глазная клиника, или по телефону 84954400809. Наш специалист ответит на все ваши вопросы.

г. Москва, ул. Вересаева, д. 14

телефон 84954400809

график работы: 09:00-18:00

Первая глазная клиника

Одноклассники

ВКонтакте

Ютуб

Рутуб