Добавить в корзинуПозвонить
Найти в Дзене
КИНК.РФ

Почему важно обследовать и лечить сердце, если болит нога

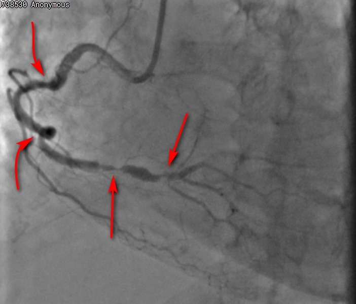
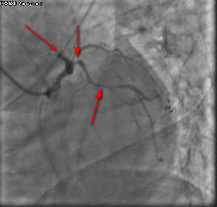
Иногда пациенты, приходящие на консультацию по поводу проблем с ногами, получают рекомендацию обследовать сердце. Кажется, это нелогично, и назревает пустая трата времени, однако это может быть самым главным и единственным способо решить проблему как можно быстрее. Один из показательных примеров. Пациентка с сахарным диабетом, обратилась с незаживающей язвой на стопе и болью (синдром диабетической стопы). После обследования искренне удивилась, что у нее есть признаки поражения сосудов сердца – оно же ее не беспокоило. Мы получили объективные данные – ЭКГ, ЭХО-КГ, поэтому настояли и сделали коронарографию – исследование сосудов сердца. Все основные артерии, кровоснабжающие сердце, критически сужены (поражения показаны стрелками). Такой пациент имеет шансы умереть в любую минуту. Тем более – во время любого вмешательства или операции (в том числе – по время высокой ампутации, если такому пациенту она выполняется, что не редкость, к сожалению). Поэтому, прежде чем заниматься пр

Иногда пациенты, приходящие на консультацию по поводу проблем с ногами, получают рекомендацию обследовать сердце. Кажется, это нелогично, и назревает пустая трата времени, однако это может быть самым главным и единственным способо решить проблему как можно быстрее.

Один из показательных примеров. Пациентка с сахарным диабетом, обратилась с незаживающей язвой на стопе и болью (синдром диабетической стопы).

После обследования искренне удивилась, что у нее есть признаки поражения сосудов сердца – оно же ее не беспокоило. Мы получили объективные данные – ЭКГ, ЭХО-КГ, поэтому настояли и сделали коронарографию – исследование сосудов сердца. Все основные артерии, кровоснабжающие сердце, критически сужены (поражения показаны стрелками). Такой пациент имеет шансы умереть в любую минуту. Тем более – во время любого вмешательства или операции (в том числе – по время высокой ампутации, если такому пациенту она выполняется, что не редкость, к сожалению).

Поэтому, прежде чем заниматься проблемами с периферическими артериями, мы обследуем пациента со всех сторон, чтобы не только сохранить ногу, но и жизнь, и улучшить прогноз в целом. Пациенты с критической ишемией – это пациенты крайне высокого риска, и их прогноз без адекватного и своевременного лечения хуже, чем прогноз пациентов со многими видами рака.

Такими пациентами не может заниматься один хирург или сосудистый хирург, ими занимается целая команда специалистов, и опыт, квалификация, и внимание каждого специалиста к пациенту в такой команде бывают критически важны.