Найти в Дзене
Fisherwolf

Дифференциальная диагностика (окончание)

Начало - здесь... Тут женщина, как бы немного очнувшись, сказала: "Извините, доктора, я кажется, чушь сказала. Мне как-то не по себе. Можно водички попить?". Я тут же шепнул присутствующей в боксе медсестре: "Полстакана воды и полторы дозы "Ново-Пассита" в него". Выпив содержимое стакана, женщина спросила: "Там была валерьянка? Я по запаху почувствовала". Я, не моргнув глазом, соврал: "Да, это - она. Вам просто нужно немного успокоиться. У вашей мамы есть мобильник?". "Сейчас пока нет - она его опять дома оставила. Но я попытаюсь дозвониться до её подруги, у которой она сейчас находится - у меня есть её номер" - ответила женщина. Тут вмешался Юра: "Звоните и сразу спросите у мамы, не ударялась ли девочка головой сегодня утром, пока вас не было дома". Женщина кивнула и начала набирать номер... Тут в бокс постучала рентген-лаборант и сообщила, что пациентка уже на месте и можно начинать КТ. Я попросил маму никуда не уходить, поскольку скоро мы получим очень важную для всех нас информаци

Начало - здесь...

Тут женщина, как бы немного очнувшись, сказала: "Извините, доктора, я кажется, чушь сказала. Мне как-то не по себе. Можно водички попить?". Я тут же шепнул присутствующей в боксе медсестре: "Полстакана воды и полторы дозы "Ново-Пассита" в него". Выпив содержимое стакана, женщина спросила: "Там была валерьянка? Я по запаху почувствовала". Я, не моргнув глазом, соврал: "Да, это - она. Вам просто нужно немного успокоиться. У вашей мамы есть мобильник?". "Сейчас пока нет - она его опять дома оставила. Но я попытаюсь дозвониться до её подруги, у которой она сейчас находится - у меня есть её номер" - ответила женщина. Тут вмешался Юра: "Звоните и сразу спросите у мамы, не ударялась ли девочка головой сегодня утром, пока вас не было дома". Женщина кивнула и начала набирать номер...

Яндекс-фото...
Яндекс-фото...

Тут в бокс постучала рентген-лаборант и сообщила, что пациентка уже на месте и можно начинать КТ. Я попросил маму никуда не уходить, поскольку скоро мы получим очень важную для всех нас информацию и мы с коллегой проследовали в кабинет компьютерной томографии. "Картинка" на мониторе томографа, конечно, всех удивила, но не ошеломила - вдавленный перелом левой теменной кости и довольно большая субдуральная гематома. Тут ещё из лаборатории токсикоцентра позвонили, что бензодиазепинов (аналогов хлозепида) в присланных на анализ промывных водах желудка не обнаружено, но зато они определяются в крови и моче пациентки, что можно объяснить использованием бригадой "скорой" реланиума для купирования судорог. Короче, "паззл" с анизокорией, прогрессирующим угнетением сознания и умеренной анемией сложился полностью. Юра дал нам и себе час времени на предоперационную подготовку...

Мы начали готовить пациентку к экстренной трепанации черепа по жизненным показаниям. Для этого нам согласие родителей и родственников не требуется - всё под нашу личную ответственность. Первым делом мы постригли девочку. Я тут же отправил машину на городскую станцию переливания крови за эритромассой по индивидуальному подбору и другими компонентами крови, которые могут потребоваться. Травматологи с дежурной операционной бригадой готовили оперблок, дежурный анестезиолог с анестезисткой собирали на месте свою аппаратуру, вплоть до дефибриллятора. Трепанация черепа - очень серьёзная операция, во время которой может случиться всё, что угодно. Поэтому надо быть готовыми к самому худшему...

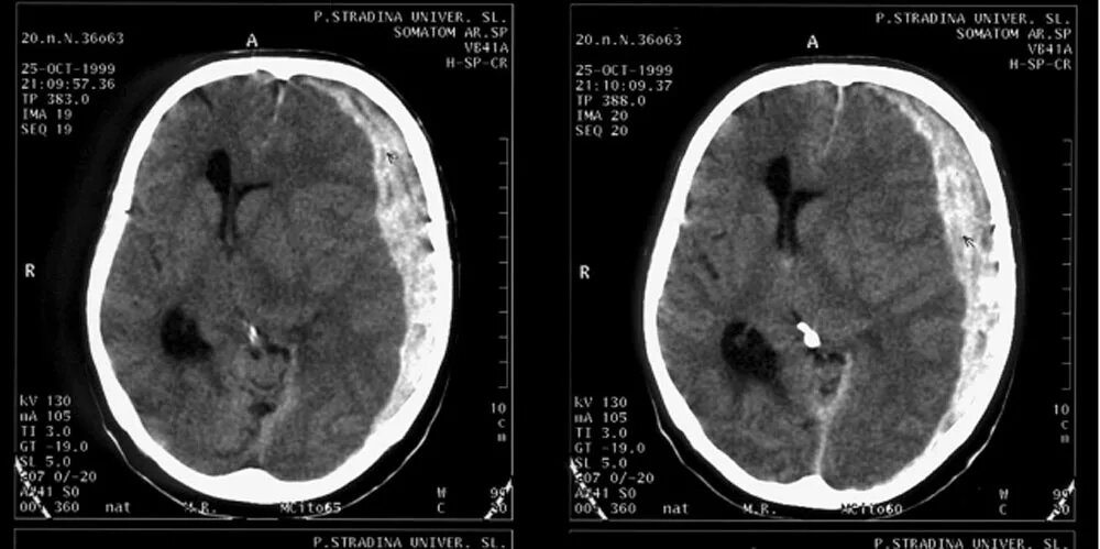
Вот так выглядит на КТ огромная субдуральная гематома слева... Яндекс-фото
Вот так выглядит на КТ огромная субдуральная гематома слева... Яндекс-фото

Я всё-же выкроил немного времени и спустился в "приёмник" ещё немного пообщаться с мамой и объяснить сложившуюся ситуацию. А она, в свою очередь, рассказала новые подробности. Оказывается, девочка утром на кухне запнулась и ударилась головой об угол шкафа. Поплакала немного, но потом успокоилась и пошла смотреть мультики по телевизору. А пустой пузырёк из-под хлозепида бабушка ей сама дала поиграть. Я уговорил маму поехать домой и отдохнуть. Мы решили облегчить работу анестезиологической бригады и прямо в палате перевели девочку на ИВЛ. Когда привезли с СПК (станции переливания крови) всё необходимое, я, после совмещения эритромассы, сам на ручной ИВЛ сопроводил пациентку в операционную. Операция длилась два с половиной часа и прошла хоть не особо гладко, но закончилась благополучно для всех...

Перед утренней линейкой позвонила мама девочки и сообщила, что она уже снова в "приёмнике". Я спустился к ней и вкратце рассказал всё, как есть. Она прижалась ко мне и заплакала: "Простите меня за вчерашнее - я просто была дура неадекватная". Я успокоил её и пообещал, что после общебольничной линейки попрошу зав.отделением допустить её в палату к дочке... Потом девочка у нас несколько суток находилась в охранительной медикаментозной коме на продлённой ИВЛ. После контрольной КТ и допплерографии, когда мы убедились, что мозговые структуры уже находятся на своём месте и мозговой кровоток не страдает, постепенно начали выводить ребёнка из комы и переводить на самостоятельное дыхание. Настя (так звали девочку), оказалась очень благодарной на наше лечение пациенткой и вскоре мы уже в ясном сознании без нарушения жизненно важных функций перевели её на долечивание в нейротравму...

Идёт краниопластика. Яндекс-фото
Идёт краниопластика. Яндекс-фото

Но через три недели нам с Настей снова пришлось встретиться и опять - во вторник. В тот день зав.отделением поставила меня на плановые операции в нейротравму, коих там было всего две - остеосинтез предплечья у какого-то мальчика с сочетанной травмой и краниопластика (закрытие послеоперационного костного дефекта черепа) у Насти. Но это были уже плановые оперативные вмешательства и прошли без особых проблем. Оперирующим хирургом был Юра - он же на тот момент и лечащий травматолог оперируемых детей. Без всякого религиозного пафоса, а только опираясь на собственный многолетний врачебный опыт, я абсолютно уверен, что Бог есть и Он любит детей, ибо при рождении их души чисты и невинны, поэтому им обязательно надо жить дальше... К чему я всё это? Дифференциальная диагностика - великая вещь. Начинаем лечение с одним диагнозом и тактическими решением, а заканчиваем другим - вплоть до операции. Работа такая...

Вот и всё... Благодарю за внимание!

Спасибо Всем за то, что сумели найти в себе силы и время дочитать всё до конца, мои дорогие Друзья и Подруги! Конечно, для меня будут очень ценны Ваши мнения в комментариях. Будьте здоровы и берегите себя!

С уважением, автор...