Добавить в корзинуПозвонить
Найти в Дзене
Лариса Шушунова

Человек без мозга живёт полноценной жизнью. Это доказывает возможность жизни после смерти

С точки зрения официального современной науки, сознание - это результат деятельности мозга. Но есть и альтернативная версия. Например, советский (!) академик Петр Анохин полагал, что: «Психика вовсе не является по существу функцией мозга, а представляет собой проявление некоторых других нематериальных духовных сил..» Дорогие читатели, приветствую вас на канале Бессмертие души. Для тех, кто впервые заглянул на огонёк - краткая справка об авторе: Лариса Шушунова, член Союза Писателей Санкт-Петербурга, информация обо мне есть в Википедии. На этом канале я собираю сведения, подтверждающие возможность существования души после смерти тела. Надеюсь, Вы примете в этом участие и поделитесь своей историей. ____________________ Продолжим. Наталья Бехтерева, о которой на моём канале уже выходили статьи, отмечала: Проникнуть в истинную природу сознания - значит отойти от представления о том, что оно связано исключительно с атомно-молекулярными структурами мозга. Убедиться в правильности их вывод

С точки зрения официального современной науки, сознание - это результат деятельности мозга. Но есть и альтернативная версия. Например, советский (!) академик Петр Анохин полагал, что:

«Психика вовсе не является по существу функцией мозга, а представляет собой проявление некоторых других нематериальных духовных сил..»

Дорогие читатели, приветствую вас на канале Бессмертие души. Для тех, кто впервые заглянул на огонёк - краткая справка об авторе: Лариса Шушунова, член Союза Писателей Санкт-Петербурга, информация обо мне есть в Википедии. На этом канале я собираю сведения, подтверждающие возможность существования души после смерти тела. Надеюсь, Вы примете в этом участие и поделитесь своей историей.

Кроме этого я преподаю английский язык, в т.ч. и по скайпу, а ещё я изучаю программирование и сама разрабатываю сайт с интерактивными материалами для изучения. Детали уроков можно обговорить в ВК: https://vk.com/id2567144

____________________

Продолжим.

Наталья Бехтерева, о которой на моём канале уже выходили статьи, отмечала:

Проникнуть в истинную природу сознания - значит отойти от представления о том, что оно связано исключительно с атомно-молекулярными структурами мозга.

Убедиться в правильности их выводов недавно предоставиился еще один парадоксальный случай.

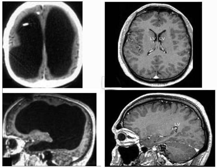
Житель Франции до 44 лет жил

полноценной жизнью, даже не подозревая, что с ним что-то не так. Однажды он пришёл в больницу с жалобой на слабость в левой ноге, и там был направлен на томографию.

Результаты его МРТ озадачили всё медицинское сообщество. Выяснилось, что его череп на 90% заполнен жидкостью. У него сохранился только тонкий внешний слой мозгового вещества, а внутренняя часть мозга полностью отсутствовала.

-2

Фото слева: мозг француза. Фото справа - мозг обычного человека.

Получается, что, если бы не нога, то этот человек жил бы и дальше, не подозревая о такой проблеме.

(Разумеется, имя и данные этого мужчины из этических соображений не разглашаются).

Данный случай ставит окончательную точку в вопросе о природе сознания. Все эти данные позволяют сделать следующие выводы:

1. Сознание - это структура энергоинформационного поля, она существует вне мозга (ученые – Бехтерева Н.П., Шеррингтон С.С., Пенфилд У.Г., Экклз Д.К.).

2. Мозг является только принимающим и передающим устройством.

3. Мозг также является фильтром для сознания, т. е. воспринимает не все сигналы, а только те, которые необходимы для функционирования человека в нашем измерении.

4. Сознание не может умереть вместе со смертью мозга, потому что его природа не является материальной.

_________________

ВЕЧНАЯ ПАМЯТЬ И ЦАРСТВИЕ НЕБЕСНОЕ ВСЕМ ВАШИМ УМЕРШИМ БЛИЗКИМ.

__________________

Если Вам понравилась публикация, поставьте лайк и подпишитесь на мой канал.

__________________

Если с вами лично или с вашими знакомыми происходили паранормальные явления, поделитесь, пожалуйста, прямо в комментарии. Я собираю материал для книги о доказательствах бессмертия души. Опубликую со ссылкой на Вас или анонимно, как хотите.

________________

Подпишитесь на мои каналы (если интересуетесь этими темами):

Скандинавское фэнтези

Английский язык