Найти в Дзене
Домашняя лаборатория

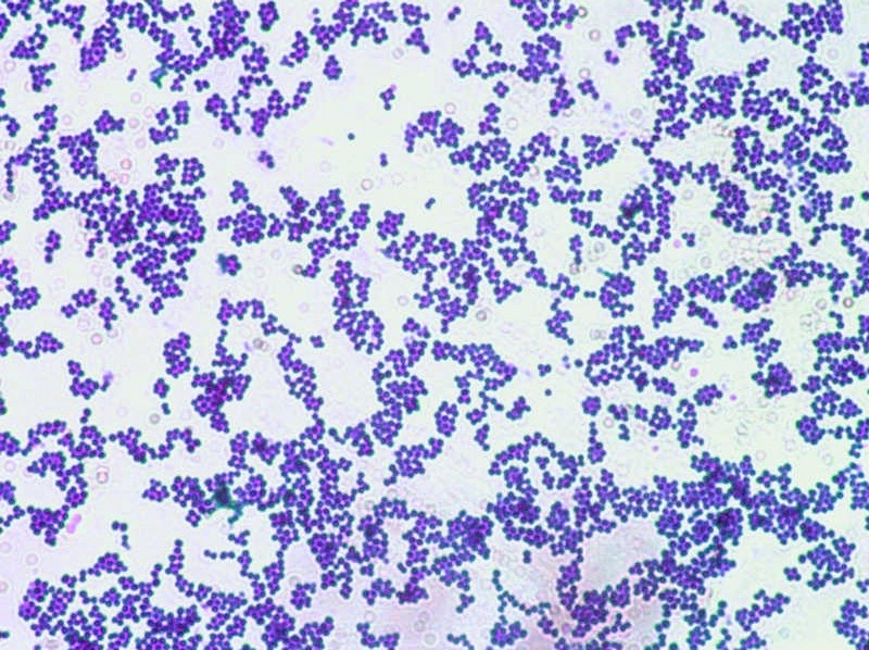
Окраска микроорганизмов по Граму в модификации Хукера

• Нанесенный на предметное стекло мазок высушивают на воздухе, фиксируют над пламенем горелки. • Погружают фиксированный мазок в склянку с основным красителем — кристаллическим фиолетовым на 1 мин. • Окрашенный мазок промывают в слабой струе водопроводной воды в течение 2-3 с. • Предметное стекло с мазком помещают в йодную протраву — модификацию раствора Люголя на 1 мин. • Препарат промывают под слабой струей водопроводной воды в течение 2-3 с. • Подсушивают препарат на воздухе или при помощи фильтровальной бумаги. • Предметное стекло с мазком помещают в склянку с 95% (по объему) этиловым спиртом на 30 с при постоянном взбалтывании жидкости. • После обработки этиловым спиртом мазок подсушивают фильтровальной бумагой. • Погружают предметное стекло с обработанным мазком в склянку с дополнительным красителем — сафранином на 10 с. • Окрашенный мазок промывают под слабой струей водопроводной воды, подсушивают и микроскопируют.

• Нанесенный на предметное стекло мазок высушивают на воздухе, фиксируют над пламенем горелки.

• Погружают фиксированный мазок в склянку с основным красителем — кристаллическим фиолетовым на 1 мин.

• Окрашенный мазок промывают в слабой струе водопроводной воды в течение 2-3 с.

• Предметное стекло с мазком помещают в йодную протраву — модификацию раствора Люголя на 1 мин.

• Препарат промывают под слабой струей водопроводной воды в течение 2-3 с.

• Подсушивают препарат на воздухе или при помощи фильтровальной бумаги.

• Предметное стекло с мазком помещают в склянку с 95% (по объему) этиловым спиртом на 30 с при постоянном взбалтывании жидкости.

• После обработки этиловым спиртом мазок подсушивают фильтровальной бумагой.

• Погружают предметное стекло с обработанным мазком в склянку с дополнительным красителем — сафранином на 10 с.

• Окрашенный мазок промывают под слабой струей водопроводной воды, подсушивают и микроскопируют.