Найти в Дзене
Белка в позе

Вот и как работать, если в любой момент прилетит исковое. Остеомиелит

Здравствуйте всем, кто читает мои статьи🤝 В больницах травматологической специализации пациентам оказывают помощь с различными переломами. Не просто накладывают гипс, а используют различные конструкции для быстрейшего сращения костей и скорейшего восстановления человека в обществе. Однако, любое вмешательство в кости имеет осложнение. Металлоостеосинтез (МОС) грозит обернуться осложнением в виде остеомиелита. Всех пациентов при возможности и наличия сознания предупреждают о последствиях установки металлических конструкций в кость, рассказывают, какие препараты необходимы будут для профилактики остеомиелита, все пациенты подписывают добровольное согласие на вмешательство и предупреждение о рисках, связанных с оказанием помощи. Не смотря на данные подробные рекомендации, пациенты частенько обращаются повторно с остеомиелитом, примерно через год-полтора, после установки конструкции. В 22 году женщина попала к нам в больницу после ДТП. Можно сказать, что она относительно легко отде
Оглавление

Здравствуйте всем, кто читает мои статьи🤝

В больницах травматологической специализации пациентам оказывают помощь с различными переломами. Не просто накладывают гипс, а используют различные конструкции для быстрейшего сращения костей и скорейшего восстановления человека в обществе.

Однако, любое вмешательство в кости имеет осложнение.

Металлоостеосинтез (МОС) грозит обернуться осложнением в виде остеомиелита.

Остеомиелитом называют гнойное воспаление костного мозга, возникшее в результате эндогенного (гематогенного) или экзогенного(раненого или травматологического) попадания инфекции в кость.

Всех пациентов при возможности и наличия сознания предупреждают о последствиях установки металлических конструкций в кость, рассказывают, какие препараты необходимы будут для профилактики остеомиелита, все пациенты подписывают добровольное согласие на вмешательство и предупреждение о рисках, связанных с оказанием помощи.

Не смотря на данные подробные рекомендации, пациенты частенько обращаются повторно с остеомиелитом, примерно через год-полтора, после установки конструкции.

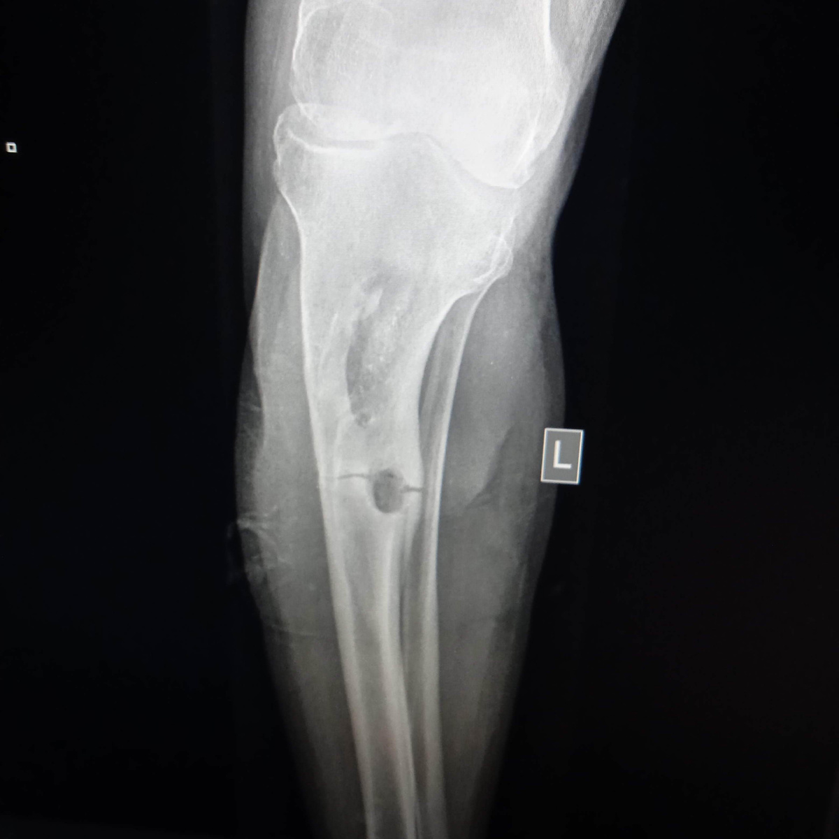
Картина остеомиелита после МОС
Картина остеомиелита после МОС

Так и вышло с одной пациенткой.

В 22 году женщина попала к нам в больницу после ДТП. Можно сказать, что она относительно легко отделалась, сломала обе берцовыберцовые кости на левой ноге и пяточную кость на правой стопе, и пару пястных костей сломала на руке.

Но лежала в отделении политравмы.

Изначально ей поставили экстрамедуллярную конструкцию(аппарат Илизарова) на левые берцовой кости, в пяточную кость поставили пару гвоздей, а руку просто загипсовали, смещения костей почти не было.

Иллюстративное фото
Иллюстративное фото

Всем послеоперационным пациентам необходимо делать перевязки, минимум дважды в день и по мере необходимости. Делала ей перевязки та же медсестра, которая и ассистировала травматологам во время операции.

Через три месяца пациентку выписали ,не снимая "Илизара", и через три месяца ждали на контроль и последующее лечение.

Про уход за кожей в местах внедрения спиц аппарата тоже давали подробные инструкции, но пациентка через три месяца поступила с ярко выраженной картиной остеомиелита, температура, озноб, выраженная гиперемия и отёк конечностей, с очень плохими анализами крови. Рентгенография подтвердила предварительный диагноз

Врачи приняли решение о консервативном лечении.

Так же приняли решение убрать аппарат Илизарова и поставить в большеберцовую кость интрамедуллярный стержень.

Ещё через три месяца пациентку выписывали с явным улучшением. Но острый остеомиелит перешёл в хронический. За год она ещё обращалась по поводу плохого самочувствия и отёка конечностей.

Винты из пяточной кости убрали, внутрикостно применяли антибиотики, только улучшения уже не наступало. С остеомиелитом пяточной кости пациентка лежала четыре раза за два года.

И летом 2024 пришло в больницу судебное оповещение об исковом заявлении от гражданки "Н", требующую суд разобраться и подтвердить врачебную ошибку и халатность в её лечении (выписки и документы прилагаются) и удовлетворить моральную компенсацию за то, что она теперь имеет заболевание хронический остеомиелит.

Если точнее, то в исковом, которое предъявлено ко всей оперирующей бригаде, включая медсестру, которая ей делала позже перевязки, указывается, что ей занесли инфекцию, и на фоне этого и развился остеомиелит.

Медсестра, естественно, не помнит эту пациентку в упор, её вызвали в юридический отдел, для консультации о поведении в суде, что и как говорить.

А я пребываю в шоке.

Во-первых, меня удивило то, что медсестра , не являясь должностным лицом , будет привлечена к ответу.

Во-вторых, зная судебную систему, подозреваю, что разбирательства будут минимальные, суд, согласно своему внутреннему убеждению, примет сторону истца, тем более, что пациентка не так уж и не права.

И врачебная бригада вряд ли докажет тот факт, что пациентка не следовала рекомендациям, и согласия на вмешательства–вот они, на руках

И ситуация двоякая, выполняли свой долг, честно лечили и выхаживали, но получили исковое заявление.

Как считаете? Права ли пациентка с таким отношением к медикам? И что делать медикам? Все лечение было по протоколу и по стандартам.

Спасибо, что прочитали!

Всем здоровья!

Присоединяйтесь!