Найти в Дзене
Два Дантиста

Чем отличается профессиональная гигиена и отбеливание зубов?

Красота и здоровье идут бок о бок друг с другом. Использование стоматологических процедур позволяет добиться белоснежной улыбки и выйти из кабинета стоматолога со здоровыми зубами. Какую именно выбрать процедуру зависит от того, какой эффект вы хотите получить. Профессиональная чистка зубов Врачи рекомендуют всем своим пациентам проходить гигиену полости рта в кабинете стоматолога каждые полгода. Это профилактическая процедура, которая позволяет удалить с поверхности эмали мягкие и твердые отложения. Одним из самых вредоносных из них является зубной камень.  - Образуется в труднодоступных для гигиены местах: межзубных промежутках и пришеечной зоне; - является причиной возникновения запаха изо рта; - из-за него страдают десна; - в нем продолжают размножаться болезнетворные бактерии; - зубной камень подвержен максимальному окрашиванию при приеме пищевых продуктов и напитков, например, чай, кофе, ягоды, овощи, фрукты оставляют следы после употребления. Также профгигиена улучшает эстети

Красота и здоровье идут бок о бок друг с другом. Использование стоматологических процедур позволяет добиться белоснежной улыбки и выйти из кабинета стоматолога со здоровыми зубами. Какую именно выбрать процедуру зависит от того, какой эффект вы хотите получить.

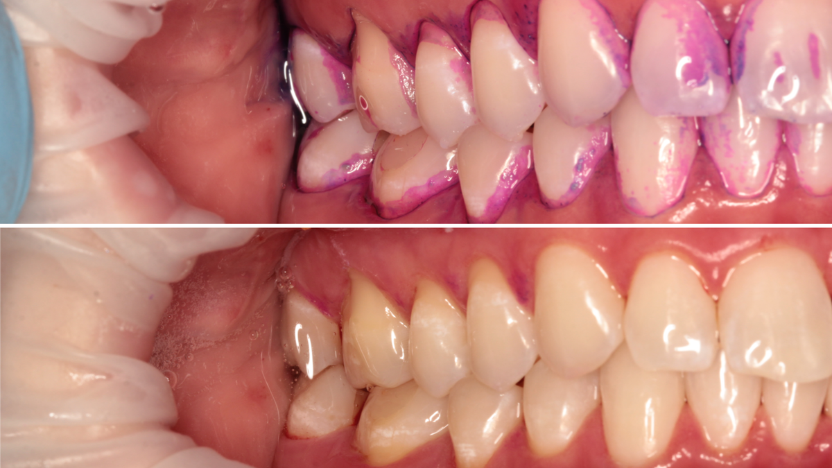
Профессиональная чистка зубов

-2

Врачи рекомендуют всем своим пациентам проходить гигиену полости рта в кабинете стоматолога каждые полгода. Это профилактическая процедура, которая позволяет удалить с поверхности эмали мягкие и твердые отложения. Одним из самых вредоносных из них является зубной камень. 

- Образуется в труднодоступных для гигиены местах: межзубных промежутках и пришеечной зоне;

- является причиной возникновения запаха изо рта;

- из-за него страдают десна;

- в нем продолжают размножаться болезнетворные бактерии;

- зубной камень подвержен максимальному окрашиванию при приеме пищевых продуктов и напитков, например, чай, кофе, ягоды, овощи, фрукты оставляют следы после употребления.

Также профгигиена улучшает эстетическое качество зубов. После чистки цвет эмали становится естественной, но отбеливания во время этой процедуры не проводится.

Профессиональное отбеливание

-3

Это процедура, в которой используются различные методики, все они направлены на устранение пигментации, восстановление естественного, здорового цвета эмали.

Выбор системы зависит от состояния ротовой полости и эмали, наличия противопоказаний, требований к осветлению. Процедура проводится при помощи специального геля и лампы, которая активирует действующее вещество, вызывает отбеливающий эффект. 

Профессиональное отбеливание имеет свои преимущества:

  • Процедура занимает около 45-60 минут, после чего достигается эффект осветления на 7-8 тонов.
  • Результат может сохраниться до 4-5 лет, но только при соблюдении рекомендаций врача, ежедневного ухода за полостью рта. Первое время следует придерживаться «белой диеты», убрать из рациона окрашивающие продукты, отказаться от курения, кофе, газированных напитков.
  • При осветлении пациент не чувствует дискомфорт или боль, мягкие ткани и глаза надежно защищены от излучения лампы.
  • Во время процедуры эмаль не повреждается, она не становится мягче или хрупкой. Последующая обработка фторсодержащими средствами оказывает укрепляющее, профилактическое действие.
  • Процесс восстановления зубной эмали после процедуры длится недолго, около 5-7 дней.

Вывод

Профессиональная чистка и отбеливание зубов — это две разные процедуры и они направлены на решение разных проблем. 

Профессиональная чистка убирает застарелый налет и зубной камень, осветляет зубы за счет удаления ненужных образований в труднодоступных местах в полости рта. В профессиональной чистке используется только технология механической обработки, зубной налет убирается при помощи правильно направленной струи воды и воздуха. Отбеливание — это процесс химический, в котором происходит осветление зубной эмали. Только стоматолог может посоветовать вам тот или иной способ отбеливания.

Пройти консультацию можно в клинике «Два Дантиста», где специалисты проведут подробную диагностику, составят план лечения и учтут все возможные пожелания. 

Записаться в клинику «Два Дантиста» можно через сайт или по тел. 8 (812) 223-43-29.