Добавить в корзинуПозвонить
Найти в Дзене

Опухоль Клацкина

Опухоль Клацкина — самая частая разновидность холангиокарциномы, на нее приходится 50–70% всех случаев. Располагается в зоне слияния правого и левого печеночных желчных протоков. Свое название она получила по фамилии американского врача Джеральда Клацкина (Gerald Klatskin (1910-1986)), который ее впервые описал.
Сложность диагностики этой патологии состоит в том, что выявляется она, как правило, на достаточно поздних стадиях, когда начинает перекрывать просвет желчных протоков и приводит к развитию желтухи. Кроме того, при ультразвуковом исследовании ткань опухоли бывает настолько изоэхогенной к ткани печени, что различить ее крайне сложно, особенно если принять во внимание нечеткость и неровность контуров. Как правило, врач начинает подозревать наличие этой патологии при выявлении триады симптомов: расширение внутрипеченочных протоков, нерасширеный холедох, спавшийся желчный пузырь. Это указывает на наличие окклюзии в зоне ворот печени. Но ситуация требует дифференциальной диагностик
Изображение получено из свободного доступа
Изображение получено из свободного доступа

Опухоль Клацкина — самая частая разновидность холангиокарциномы, на нее приходится 50–70% всех случаев. Располагается в зоне слияния правого и левого печеночных желчных протоков. Свое название она получила по фамилии американского врача Джеральда Клацкина (Gerald Klatskin (1910-1986)), который ее впервые описал.

Сложность диагностики этой патологии состоит в том, что выявляется она, как правило, на достаточно поздних стадиях, когда начинает перекрывать просвет желчных протоков и приводит к развитию желтухи. Кроме того, при ультразвуковом исследовании ткань опухоли бывает настолько изоэхогенной к ткани печени, что различить ее крайне сложно, особенно если принять во внимание нечеткость и неровность контуров. Как правило, врач начинает подозревать наличие этой патологии при выявлении триады симптомов: расширение внутрипеченочных протоков, нерасширеный холедох, спавшийся желчный пузырь. Это указывает на наличие окклюзии в зоне ворот печени. Но ситуация требует дифференциальной диагностики с окклюзией камнем и рубцовой стриктурой протоков.

НАБЛЮДЕНИЕ

Пациент 70 лет, направлен на ультразвуковое исследование органов брюшной полости в связи с возникшей желтухой.

Протокол: УЗИ печени
Расположение : без особенностей, контуры ровные, четкие, капсула дифференцируется хорошо
Размеры : не изменены
Размеры, текст : Правая д.КВР - 128 мм, Левая д.ВР, толщина - 47 мм
Структура паренхимы : умеренно неоднородная
Эхогенность : не изменена
Сосудистый рисунок : сохранен, не деформирован
Воротная вена : не расширена
Воротная вена 10 мм
Объемные образования: в правой доле два гиперэхогенных образования 17х12 мм и 1х9 мм овальной формы, с четкими контурами, однородной структуры.
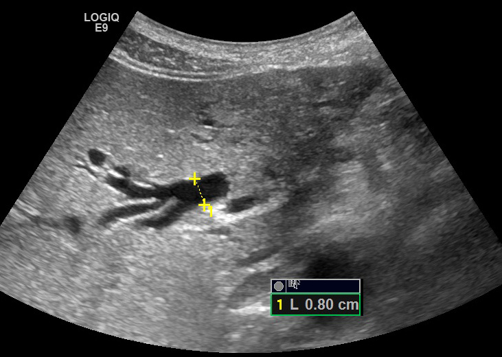
Внутрипеченочные желчные протоки : расширены до 3-7 мм во всех отделах печени
Холедох : Виден только во внутрипеченочном его отделе на очень коротком протяжении, шириной до 8 мм, далее просвет слепо обрывается, камней не видно. Складывается впечатление о перекрытии просвета холедоха эхогенным тканевым образованием (по типу опухоли Клацкина). Явного образования не выявлено, но в этой области отмечается зона изменённой структуры паренхимы печени протяженностью 36х35 мм, с крупнозернистой структурой, без четких контуров (образование?) На протяжении гепатодуоденальной связки холедох не виден, на уровне головки поджелудочной железы не виден.
УЗИ желчный пузырь
Расположение и форма : в спавшемся состоянии, жидкой желчи не содержит.
Явных камней не выявлено
Образования:не выявлены

Расширение протоков
Расширение протоков
Неотчетливое образование в зоне окклюзии протока
Неотчетливое образование в зоне окклюзии протока

Видео: https://dzen.ru/video/watch/667d0aec539c5b430aea4260

Исследование в режиме ЦДК
Исследование в режиме ЦДК

Видео: https://dzen.ru/video/watch/667d0b7bf68b1b16ddafd8e4

Заключение :
Умеренные диффузные изменения паренхимы печени. Два очаговых образования в печени - наиболее вероятно, гемангиомы. Расширение внутрипеченочных желчных протоков и начального отдела общего печеночного протока - окклюзия в зоне ворот печени. Выявленные изменения позволяют предположить наличие образования по типу опухоли Клацкина.

Назначена МР-Холангиография. По результатам - подтверждение холангиокарциномы (опухоли Клацкина).