Найти в Дзене

Перелом ребра. Наблюдение №2

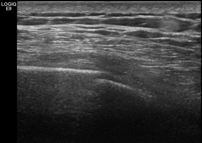
На скользкой дороге пациент упал на спину, появилась боль в пояснице. Обратился для ультразвукового исследования почек. При ультразвуковом исследовании почки без травматических изменений. при досмотре линейным датчиком (15 МГц) определяется прерыв кортикального слоя 12 ребра (сканирование по лопаточной линии, параллельно ходу ребра) с небольшим боковым и угловым смещением. Отмечается параоссальная гематома. Видео к наблюдению: https://dzen.ru/video/watch/66596ded09ad8755b3d03139?rid=1780210364.371.1717137121425.73442&t=1

На скользкой дороге пациент упал на спину, появилась боль в пояснице. Обратился для ультразвукового исследования почек.

При ультразвуковом исследовании почки без травматических изменений. при досмотре линейным датчиком (15 МГц) определяется прерыв кортикального слоя 12 ребра (сканирование по лопаточной линии, параллельно ходу ребра) с небольшим боковым и угловым смещением. Отмечается параоссальная гематома.

-2

Видео к наблюдению: https://dzen.ru/video/watch/66596ded09ad8755b3d03139?rid=1780210364.371.1717137121425.73442&t=1