Добавить в корзинуПозвонить
Найти в Дзене

Бифуркация холедоха

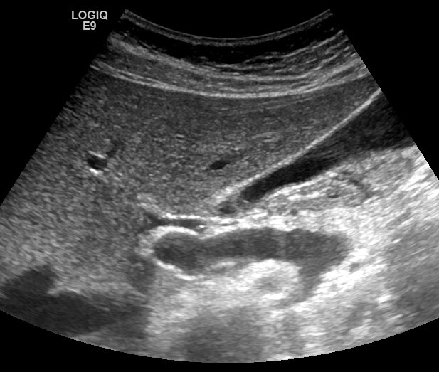
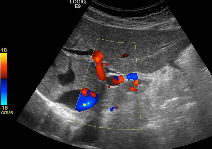
При ультразвуковом исследовании печени врач УЗД визуализирует гепатикохоледох. Зона слияния правого и левого внутрипеченочных протоков, как правило, не визуализируется, но при отсутствии расширения протоков визуализация этой зоны не имеет принципиального значения. Но иногда можно увидеть отчетливо слияние правого и левого внутрипеченочных протоков. Видео: https://dzen.ru/video/watch/66582ab24576313e323ff93d Убедиться, что это именно протоки, а не сосуды, можно при цветной допплерографии - просвет протоков не окрашивается. Видео: https://dzen.ru/video/watch/66582b051b8759059da23b61 Следует отметить, что с точки зрения анатомии, правильнее говорить не "бифуркация" а "конъюнкция", поскольку имеет место не разделение одного протока на два, а слияние двух в один.

При ультразвуковом исследовании печени врач УЗД визуализирует гепатикохоледох. Зона слияния правого и левого внутрипеченочных протоков, как правило, не визуализируется, но при отсутствии расширения протоков визуализация этой зоны не имеет принципиального значения. Но иногда можно увидеть отчетливо слияние правого и левого внутрипеченочных протоков.

Видео: https://dzen.ru/video/watch/66582ab24576313e323ff93d

Убедиться, что это именно протоки, а не сосуды, можно при цветной допплерографии - просвет протоков не окрашивается.

-2

Видео: https://dzen.ru/video/watch/66582b051b8759059da23b61

Следует отметить, что с точки зрения анатомии, правильнее говорить не "бифуркация" а "конъюнкция", поскольку имеет место не разделение одного протока на два, а слияние двух в один.