Найти в Дзене
D2D Expert

✅Холестеатома. Случай из практики✅

В клинику обратился пациент, 1958 г.р.  с жалобами на снижение слуха и боли за ушами. Так же со слов справа перфорация барабанной перепонки 30 лет, с заложенностью носа закладывает уши. По данным МСКТ определяется: КТ-признаки дополнительного патологического компонента в области овального окна правой  височной кости с его блоком, распространением на обе ножки стремени с нечеткостью визуализации их на фоне компонента, фиксацией стремени в овальном окне, разобщением ее в наковально-стременном суставе и укорочением длинной ножки наковальни, необходимо дообследование методом МРТ (по согласованию с лечащим врачом).  Пристеночные наложения вдоль рукоятки молоточка и перепонки распространяющиеся как в сторону наружного слухового прохода, так и в среднее ухо. Перфорация правой барабанной перепонки в верхних квадрантах.  Патологический компонент в единичной ячейке височной кости справа. Пациенту рекомендовано дообследование височных костей  методом МРТ в режиме DWI для исключения/подтверждения

В клинику обратился пациент, 1958 г.р.  с жалобами на снижение слуха и боли за ушами. Так же со слов справа перфорация барабанной перепонки 30 лет, с заложенностью носа закладывает уши.

По данным МСКТ определяется:

КТ-признаки дополнительного патологического компонента в области овального окна правой  височной кости с его блоком, распространением на обе ножки стремени с нечеткостью визуализации их на фоне компонента, фиксацией стремени в овальном окне, разобщением ее в наковально-стременном суставе и укорочением длинной ножки наковальни, необходимо дообследование методом МРТ (по согласованию с лечащим врачом).  Пристеночные наложения вдоль рукоятки молоточка и перепонки распространяющиеся как в сторону наружного слухового прохода, так и в среднее ухо. Перфорация правой барабанной перепонки в верхних квадрантах.  Патологический компонент в единичной ячейке височной кости справа.

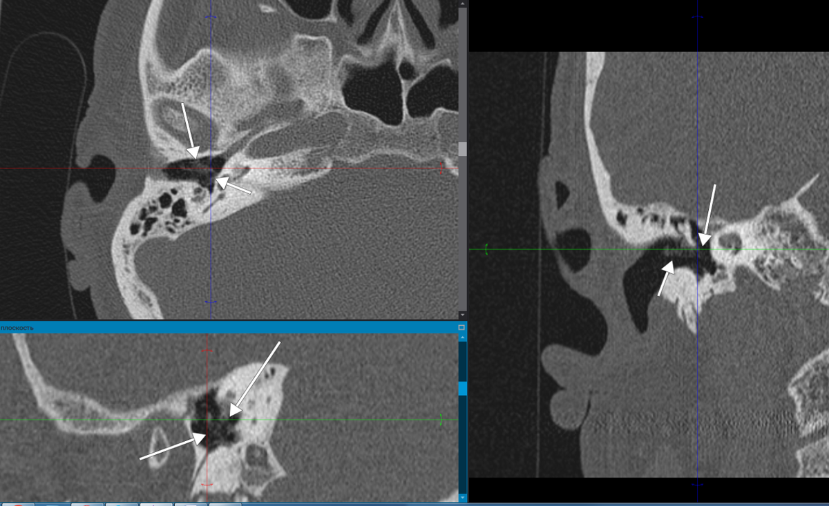
Рис.1. Изображение пристеночных наложений.
Рис.1. Изображение пристеночных наложений.
Рис.2. Снижение воздушности единичной ячейки  сосцевидного отростка за счет патологического субстрата.
Рис.2. Снижение воздушности единичной ячейки сосцевидного отростка за счет патологического субстрата.
Рис.3. Наложение патологического субстрата вокруг рукоятки молоточка с распространением на область среднего уха.
Рис.3. Наложение патологического субстрата вокруг рукоятки молоточка с распространением на область среднего уха.
Рис. 4. Изображение перфорации барабанной перепонки справа (белая стрелка).
Рис. 4. Изображение перфорации барабанной перепонки справа (белая стрелка).

Пациенту рекомендовано дообследование височных костей  методом МРТ в режиме DWI для исключения/подтверждения наличия холестеатомы.

Как Вы помните, ранее мы выставляли критерии оценки данных образований на МРТ.  Подробнее можете ознакомиться https://dzen.ru/media/id/64e5f56bf911501fd97c8123/kt-diagnostika-vtorichnoi-holesteatomy-srednego-uha-6515332bce51c60f9387a4db
https://dzen.ru/media/id/64e5f56bf911501fd97c8123/mrt-v-diagnostike-holesteatomy-651535bfbe9b9021e1b63f5d

Всем пациентам с подозрением на холестеатому рекомендовано проведение рутинной МРТ без контрастного усиления, с получением диффузионно-взвешенных изображений. Пациентам имеющим в анамнезе операцию по поводу холесетатомы исследование назначается для выявления рецидива или наличия остаточной опухоли - так как отрицательные результаты МРТ позволяют избежать диагностической операции.