Добавить в корзинуПозвонить
Найти в Дзене
Parodoctor

Пародонтит в ремиссии выглядит хуже, чем в обострении. Протокол моей простой методики работы с дёснами - проверено поликлиникой

- Дёсны у меня плохие. Слабые. Позвольте, а это как? Рвутся, что ли, во время еды? - Кровят, доктор! Кровоточивость дёсен Признак воспаления. А воспаление - признак наличия микробов. А то, что ваш организм так реагирует на них - признак особенностей иммунитета. Генетика. Мне постоянно пишут про внучатого племянника богатырского деда, который завтракал проволокой, обедал диким вепрем (живым) и полоскал рот водой из болотной топи - зубы с дёснами у него были ИДЕАЛЬНЫМИ! Не чистил зубы вообще, к стоматологам не ходил, помер в 101 год с 32 единицами во рту. Подойдите к зеркалу и взгляните на себя - вы дед? Если ответ утвердительный, то откройте рот и посмотрите на зубы - их много? Если и тут попадание, то скажите - зубы качественно чистите? Если нет, то поздравляю! Волшебный дед из народных былин - ВЫ. Кстати, я тоже такой дед. Остальным скажу вот что - только от качества чистки зубов будет зависеть их сохранность ПародонтИТ, гингивИТ, кариес и его осложнения (пульпИТ, периодонт
Оглавление

- Дёсны у меня плохие. Слабые.

Позвольте, а это как? Рвутся, что ли, во время еды?

- Кровят, доктор!

Результат успешного лечения дёсен - да, ошибки нет. Подробности в конце статьи
Результат успешного лечения дёсен - да, ошибки нет. Подробности в конце статьи

Кровоточивость дёсен

Признак воспаления. А воспаление - признак наличия микробов.

А то, что ваш организм так реагирует на них - признак особенностей иммунитета. Генетика.

Мне постоянно пишут про внучатого племянника богатырского деда, который завтракал проволокой, обедал диким вепрем (живым) и полоскал рот водой из болотной топи - зубы с дёснами у него были ИДЕАЛЬНЫМИ!

Не чистил зубы вообще, к стоматологам не ходил, помер в 101 год с 32 единицами во рту.

  • А я тут распинаюсь, зубы народ чистить агитирую! Всё это ерунда полная. Дед доказал. Чистка зубов не сделает их лучше - кариес как был, так и будет. Кровоточивость никуда не денется. Враки всё это.

Подойдите к зеркалу и взгляните на себя - вы дед? Если ответ утвердительный, то откройте рот и посмотрите на зубы - их много? Если и тут попадание, то скажите - зубы качественно чистите? Если нет, то поздравляю! Волшебный дед из народных былин - ВЫ.

Кстати, я тоже такой дед.

  • По факту - мы счастливчики, что выиграли в генетической лотерее адекватную иммунную систему, которая не бесится на каждого пробегающего рядом микроба. Но нас таких не много.

Остальным скажу вот что - только от качества чистки зубов будет зависеть их сохранность

ПародонтИТ, гингивИТ, кариес и его осложнения (пульпИТ, периодонтИТ) - ВОСПАЛИТЕЛЬНЫЕ заболевания, связанные с бактериями. Бывают уникальные случаи, когда виновата травма (к примеру), но база одна - БАКТЕРИИ.

Если их не вычищать качественно, то будете страдать от всех зубных бед.

Ставите пломбы без конца, а кариес процветает и дальше?

Проверьте нависающие края. Терапевта проверить не сможете, некоторые так прикипают к своим пломбомейкерам за долгую жизнь, что это напоминает стокгольмский синдром. Ходят и ходят, удовлетворения не получают, но продолжают есть кактус. Этож свойский дохтур, он плохого не посоветует!

Молодой врач Мойша приходит к своему отцу, доктору Кацу и, сияя от счастья, говорит:
- Папа! Я вылечил мадам Рабинович! Ты всю жизнь её лечил, но не смог вылечить. А я смог!
- Ой вэй, Мойша! Что же ты наделал? На её деньги ты учился в школе, окончил медицинский, стажировался в лучших клиниках мира! А она всё болела. Вылечил...

Ходите на профгигиену, а десны кровоточат уже через месяц?

Плохо справляетесь с чисткой! Вы. Плохо. Чистите. Зубы. Плохой щёткой и/или 30 секунд и/или не нажимаете нормально на щетину. Жалеете себя.

Без ирригатора обходитесь, ведь он же "такой неудобный, доктор!".

Без ёршиков, ведь они "не лезут!". Не лезут ёршики, пролезет нитка.

Ходите на профгигиену, но толку вообще нет, дёсны как были опухшие и кровавые, так и остались?

Плохо делают гигиену. Не лезут под десну. А НАДО ЛЕЗТЬ ПОД ДЕСНУ! И делать это не в момент наибольшей манифестации воспаления! А сбив его предварительно медикаментозно.

Дзен не даст мне написать схему, поэтому эта информация останется со мной.

Но я распишу правильную этапность пародонтологической, глубокой, поддесневой профессиональной гигиены.

Чистка корней зубов

Приём №1.

Делаем КЛКТ (3Д КТ).

  • Оцениваем состояние костной ткани. Есть пародонтит или нет? Есть перспективы или нет?

Далее визуальный осмотр - смотрим глазами и тыкаем зондом в межзубные пространства.

  • Если у Вас не кровоточат дёсны, то не факт, что это на самом деле так. Вполне возможно, вы себя жалеете и зубы чистите откровенно плохо. Вот и не кровят. Возьмите зубочистку и аккуратненько, но с нажимом, вставьте её между зубами. Можно пошерудить ею там для надёжности. Есть кровь?

Если воспаление выраженное, то назначаем очень щадящую, но действенную медикаментозную терапию. БЕЗ АНТИБИОТИКОВ.

Записываем пациента на профгигиену.

Приём №2.

Сама процедура. Кровоточивость уже почти нет, воспаление уменьшено значительно. Доктор может работать спокойно - пациенту гораздо проще перенести вмешательство, а глазам всё видно (не заливает кровью).

Используется ультразвуковой скейлер, это основной и САМЫЙ ВАЖНЫЙ инструмент того, кто занимается лечением дёсен. База. От качества работы этим инструментом зависит успех и объём дальнейших манипуляций.

Насадки на УЗ-скейлер
Насадки на УЗ-скейлер

В 80% случаев всё лечение заканчивается на этом этапе! Кровь исчезает, уколы плазмы, витаминов и антибиотиков делать не требуется.

Проверено на тысячах поликлинических пациентов, некоторые из которых отродясь зубы не чистили и наращивали такие камни, что вам и не снилось. Всем в 100% случаев становилось лучше (намного!) после качественной обработки корней УЗ-скейлером.

Шлифовки, полировки - тоже важно. Поверхность зуба должна быть гладкой. Но корни вот такими инструментами (листайте):

...обработать никак - только если корни не оголены. Штрипсы абразивные справляются получше, но тоже глубоко не нырнёшь.

Штрипсы
Штрипсы

Выписываем полоскалки и мазалки антисептические и прощаемся с пациентом недели на 2.

После 2-х недель оцениваем результат. Всё должно быть намного лучше!

Но некоторым требуется дополнительное лечение.

Закрытый кюретаж хирургическим лазером

Оптоволокно активируется, вводится в карман и, таким образом, сжигаются патологические грануляционные ткани оного.

  • Чистые корни после УЗ-скейлера, чистые карманы без грануляций - круто! Теперь дело за малым - поддерживать достигнутый уровень за счёт правильной, качественной, объёмной и полноценной домашней гигиены.

До лазера:

Пародонтит средней степени тяжести
Пародонтит средней степени тяжести

Сразу после:

Дёсны сразу после лазерного кюретажа
Дёсны сразу после лазерного кюретажа

Через 2 недели:

Дёсны через 2 недели после лазерного кюретажа
Дёсны через 2 недели после лазерного кюретажа

Да, корни оголились, но это ЗАКОНОМЕРНО. Нет кости, нет десны. И кость мы эту НИКАК НЕ НАРАСТИМ. Нет такой возможности, не придумали. Если нет кости, а десна есть - получай воспаление. Получай продолжение потери кости.

Увы, пародонтит не спрашивает, красиво вам или нет. Нравится, не нравится - ни на что не влияет.

Зато пациент сможет обслуживать полость рта дома качественно. Если будет справляться, то регресс будет очень медленным и шанс прожить достаточно долго с тем, что есть - имеется.

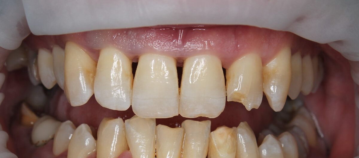
Вот пример такого пациента, который под моим контролем находится с 2016 года:

-9

Корни оголены ого-го! Но воспаления нет. Регресса нет. Пациента устраивает внешний вид - его право. Так и живёт.

Резюмируя

Качественная профессиональная чистка КОРНЕЙ зубов останавливает воспаление дёсен. Качественный домашний уход после сохраняет ремиссию.

Остальное - опционально.