Добавить в корзинуПозвонить
Найти в Дзене
Рентген на дому

Инфильтрат

Infiltrate
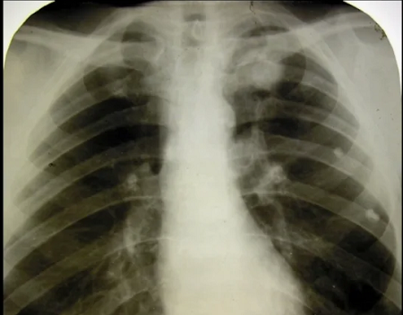
Семиотика. Рентген, КТ Термин применяют для описания видимой на рентгенограммах или на КТ/МРТ-срезах области уплотнения легочной ткани, вызванного поражением воздухосодержащей и/или интерстициальной ткани легкого (см.). Обычно такой участок имеет округлую или близкую к ней форму. Использование данного термина спорно, поскольку различные специалисты понимают его морфологический смысл по-разному. Например, рентгенолог может применить этот термин для описания воспалительного процесса, инфекционного или неинфекционного, либо злокачественного новообразования. Однако это совсем не означает, что речь действительно идет о воспалении (например, туберкулезный инфильтрат), а не об опухоли легкого. Нередко термин употребляется как синоним злокачественной опухоли с рентгенологическими признаками инфильтративного роста (нечеткие лучистые контуры, тяжи к плевре и ее утолщение, обрыв бронха в образовании и пр.). Таким образом, он не рекомендован к употреблению, поскольку для

Infiltrate

Семиотика. Рентген, КТ

Термин применяют для описания видимой на рентгенограммах или на КТ/МРТ-срезах области уплотнения легочной ткани, вызванного поражением воздухосодержащей и/или интерстициальной ткани легкого (см.). Обычно такой участок имеет округлую или близкую к ней форму. Использование данного термина спорно, поскольку различные специалисты понимают его морфологический смысл по-разному. Например, рентгенолог может применить этот термин для описания воспалительного процесса, инфекционного или неинфекционного, либо злокачественного новообразования.

Однако это совсем не означает, что речь действительно идет о воспалении (например, туберкулезный инфильтрат), а не об опухоли легкого.

Нередко термин употребляется как синоним злокачественной опухоли с рентгенологическими признаками инфильтративного роста (нечеткие лучистые контуры, тяжи к плевре и ее утолщение, обрыв бронха в образовании и пр.). Таким образом, он не рекомендован к употреблению, поскольку для описания большинства процессов опухолевого или воспалительного характера существуют другие термины. Предпочтительнее использовать термины «уплотнение», «образование», «очаг» (см.) с различными уточняющими характеристиками процесса.