Добавить в корзинуПозвонить
Найти в Дзене

Белые пятна на зубах

Белые пятна на зубах могут указывать на различные проблемы с зубной эмалью и здоровьем зубов.
Одна из наиболее распространенных причин появления белых пятен на зубах - это деминерализация эмали. Она может быть вызвана кислотным воздействием на зубы, таким как избыток кислого питания, употребление кислых напитков и фруктов, а также слишком активное использование зубной пасты, содержащей абразивные вещества. Деминерализация эмали - это процесс потери минеральных веществ из структуры зубной эмали, что приводит к ее ослаблению и повышенной чувствительности.
Деминерализация эмали может быть вызвана различными факторами, такими как неправильное питание, кислотные напитки, чрезмерное потребление сладостей и углеводов, недостаток фторида и плохая гигиена полости рта.
При деминерализации эмали зубы становятся более склонными к развитию кариеса, так как эмаль становится более пористой и подверженной атаке бактерий. Ослабленная эмаль также может привести к повышенной чувствительности зубов к

Белые пятна на зубах могут указывать на различные проблемы с зубной эмалью и здоровьем зубов.

Одна из наиболее распространенных причин появления белых пятен на зубах - это деминерализация эмали. Она может быть вызвана кислотным воздействием на зубы, таким как избыток кислого питания, употребление кислых напитков и фруктов, а также слишком активное использование зубной пасты, содержащей абразивные вещества.

Деминерализация эмали - это процесс потери минеральных веществ из структуры зубной эмали, что приводит к ее ослаблению и повышенной чувствительности.

Деминерализация эмали может быть вызвана различными факторами, такими как неправильное питание, кислотные напитки, чрезмерное потребление сладостей и углеводов, недостаток фторида и плохая гигиена полости рта.

При деминерализации эмали зубы становятся более склонными к развитию кариеса, так как эмаль становится более пористой и подверженной атаке бактерий. Ослабленная эмаль также может привести к повышенной чувствительности зубов к холоду, жару и сладкому.

Для предотвращения и лечения деминерализации эмали рекомендуется следующее:
- Регулярная и правильная гигиена полости рта, включая чистку зубов минимум два раза в день и использование зубной нити;
- Ограничение потребления сладкого, кислого и углеводов;
- Увеличение потребления фторидов, например, через использование зубной пасты и ополаскивателя с содержанием фторида;
- Посещение стоматолога для профессиональной чистки зубов и диагностики проблем с эмалью;
- Заполнение дефектов эмали пломбами или использование специальных средств для восстановления эмали.

В случае серьезной деминерализации эмали или развития кариеса может потребоваться более интенсивное лечение, такое как пломбирование зубов или коронки.

-2


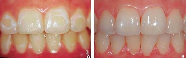
Еще одной причиной может быть флюороз - это переизбыток фтора в детстве во время формирования зубов. Это может произойти, если ребенок проглотил слишком много зубной пасты, содержащей фтор, или пил воду с высоким содержанием фтора. Флюороз проявляется в виде белых или коричневых пятен на зубах.

Флюороз - это заболевание, которое вызывается чрезмерным употреблением фтора, особенно во время зуботехнического формирования зубов. Это состояние связано с пятнами, изменениями цвета и структуры эмали зубов.

Факторы риска для развития флюороза включают питьевую воду с высоким содержанием фтора, употребление фторсодержащих продуктов и ограниченную гигиену полости рта.

Симптомы флюороза могут варьировать от легких пятен и разводов на эмали зубов до серьезных дефектов, таких как шелушение и кариес. В более тяжелых случаях зубы могут иметь коричневый или черный цвет.

Лечение флюороза может включать применение специальных зубных паст и ополаскивателей, посещение стоматолога для удаления пятен и дефектов эмали, а также установку виниров или зубных протезов для восстановления эстетического вида зубов.

Профилактические меры для предотвращения флюороза включают употребление питьевой воды, содержащей оптимальное количество фтора, правильную гигиену полости рта и регулярные посещения стоматолога для профилактических осмотров.

В целом, оказывается, что небольшое количество фтора полезно для здоровья зубов, но чрезмерное употребление может привести к флюорозу, что требует лечения и профилактики.

-3


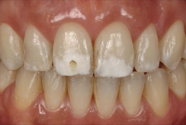
Также белые пятна на зубах могут быть связаны с начальной стадией кариеса. Кариес вызывает деминерализацию эмали и может привести к образованию белых пятен, которые затем могут стать полостями.


Кариес в стадии белого пятна - это ранняя стадия развития кариеса зуба. В этой стадии на поверхности зуба формируется белое пятно, которое может быть слабо заметным и не вызывать дискомфорт. Однако, это является признаком начала разрушения эмали зуба.

Если не принимать меры по лечению и предотвращению, кариес может продолжить развиваться и привести к образованию кариозной полости. Поэтому важно обратиться к стоматологу для диагностики и определения дальнейших действий. В ранней стадии обычно достаточно регулярного чистка зубов и использования фторсодержащих зубных паст, чтобы предотвратить дальнейшее развитие кариеса и восстановить здоровье эмали.

-4


Редким, но возможным, состоянием, при котором появляются белые пятна на зубах, является гипоплазия эмали - это аномалия развития эмали. Это может быть вызвано генетическими факторами или факторами окружающей среды, такими как запрещенные препараты и инфекции.

Гипоплазия эмали - это состояние, при котором эмаль, внешний защитный слой зубов, развивается не полностью или недостаточно. Как результат, зубы могут иметь неравномерную поверхность, выглядеть матово или иметь пятна и пятна разной формы и цвета.

Гипоплазия эмали может быть вызвана различными факторами, включая генетические нарушения, врожденные пороки развития, воздействие внешних агентов на развитие зубной эмали, таких как табак, алкоголь, неправильное питание матери во время беременности или в период роста и развития ребенка. Также гипоплазия эмали может быть вызвана недостатком минералов, таких как фтор или кальций, в диете ребенка.

Поскольку эмаль служит защитным слоем для зубов, гипоплазия эмали может повлечь за собой повышенную чувствительность зубов, увеличенный риск кариеса и механических повреждений эмали, таких как крошение или обламывание.

Лечение гипоплазии эмали зависит от тяжести состояния и конкретного случая. В некоторых случаях может потребоваться пломбирование зубов или накладывание виниров для улучшения внешнего вида зубов и защиты эмали. В более серьезных случаях может потребоваться краун или протезирование зубов.

Предотвращение гипоплазии эмали включает правильное питание, бережное воздействие на зубы, включая чистку зубов после каждого приема пищи, и регулярные посещения стоматолога для профессиональной чистки и осмотра зубов.

Если у вас появились белые пятна на зубах, рекомендуется обратиться к стоматологу для диагностики и определения причины. Он сможет предложить подходящее лечение и дать советы по уходу за зубами, чтобы предотвратить дальнейшую деминерализацию эмали.

Парахонская Ирина Анатольевна. Стоматология ДИВИЯ Краснодар.
Парахонская Ирина Анатольевна. Стоматология ДИВИЯ Краснодар.
Стоматология в Краснодаре | Дивия Ставропольская