Добавить в корзинуПозвонить
Найти в Дзене
D2D Expert

✨Ксантогранулёмы сосудистого сплетения✨

Эпидемиология. Ксантогранулёмы у взрослых не следует путать с антенатальными кистами хориоидеи, которые обычно регрессируют при рождении. Эти поражения обычно встречаются у взрослых пациентов и встречаются относительно часто (~7%), чаще всего выявляются у пожилых людей. Клиническая картина Почти во всех случаях протекают бессимптомно. Редко, при больших размерах вызывают местный масс эффект или могут осложняться кровоизлиянием. Ксантогранулёмы представляют собой десквамированный эпителий, попавший в просвет кист сосудистого сплетения. В результате накапливается богатое холестерином/липидами содержимое эпителиальных клеток, иногда в сочетании с продуктами крови, что приводит к ксантоматозной реакции, поскольку этот материал заглатывается мононуклеарными клетками. Гистологически эти поражения характеризуются наличием ксантоматозных обломков, заполняющих иглоподобные пространства, представляющие собой видимые места расположения липидных кристаллов, смешанных с пигментами крови, многоядер

Эпидемиология.

Ксантогранулёмы у взрослых не следует путать с антенатальными кистами хориоидеи, которые обычно регрессируют при рождении. Эти поражения обычно встречаются у взрослых пациентов и встречаются относительно часто (~7%), чаще всего выявляются у пожилых людей.

Клиническая картина

Почти во всех случаях протекают бессимптомно. Редко, при больших размерах вызывают местный масс эффект или могут осложняться кровоизлиянием.

Ксантогранулёмы представляют собой десквамированный эпителий, попавший в просвет кист сосудистого сплетения. В результате накапливается богатое холестерином/липидами содержимое эпителиальных клеток, иногда в сочетании с продуктами крови, что приводит к ксантоматозной реакции, поскольку этот материал заглатывается мононуклеарными клетками.

Гистологически эти поражения характеризуются наличием ксантоматозных обломков, заполняющих иглоподобные пространства, представляющие собой видимые места расположения липидных кристаллов, смешанных с пигментами крови, многоядерных гистиоцитов и очаговых скоплений пенистых гистиоцитов.

Диагностика

Размер ксантогранулём сосудистых сплетений варьируется в широких пределах: от крошечных пятен, не видимых при визуализации, до крупных вызывающих расширение боковых желудочков.

На КТ эти поражения обычно незаметны, поскольку по плотности они аналогичны плотности прилегающего сосудистого сплетения. Если они больше, о них можно судить по смещению сосудистых кальцинатов по их периферии.

Дифференциальный диагноз:

  1. Эпендимальная киста.
  2. Эпидермоидная киста.
  3. Хориоидпапиллома.
  4. Внутрижелудочковые опухоли (внутрижелудочковая менингиома, метастатическое поражение и тд).
  5. Инфаркт сосудистого сплетения.
  6. Кавернома сосудистого сплетения.

МРТ

Сигнальные характеристики на МРТ меняются в зависимости от смеси липидов, жидкости и продуктов крови. В целом они имитируют кистозные поражения.

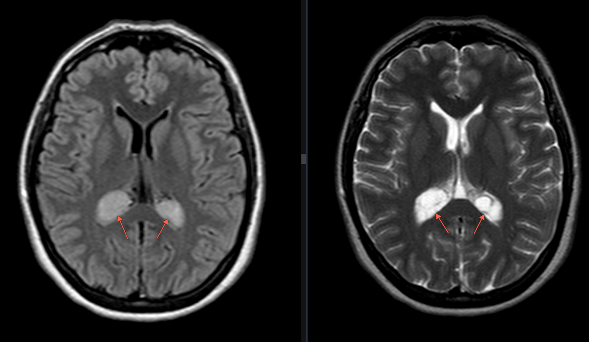
Рис.1 Пациент А.: Flair и Т2-ВИ аксиальная плоскость (слева направо): В области сосудистых сплетений задних рогов боковых желудочков с обеих сторон определяются гиперинтенсивные образования, размером справа - 1.9х2.8х2.3 см, слева - 1.8х2.1х1.9 см (двусторонние ксантогранулёмы).
Рис.1 Пациент А.: Flair и Т2-ВИ аксиальная плоскость (слева направо): В области сосудистых сплетений задних рогов боковых желудочков с обеих сторон определяются гиперинтенсивные образования, размером справа - 1.9х2.8х2.3 см, слева - 1.8х2.1х1.9 см (двусторонние ксантогранулёмы).
Рис.2 Пациент К.: Flair и DWI аксиальная плоскость (слева направо): В области сосудистых сплетений задних рогов боковых желудочков с обеих сторон определяются гиперинтенсивные образования в режиме DWI, размером справа - 0,7х0,8х1,1 см, слева - 0,7х0,65х0,8 см; в режиме Flair изменений не выявлено (двусторонние мелкие ксантогранулёмы).
Рис.2 Пациент К.: Flair и DWI аксиальная плоскость (слева направо): В области сосудистых сплетений задних рогов боковых желудочков с обеих сторон определяются гиперинтенсивные образования в режиме DWI, размером справа - 0,7х0,8х1,1 см, слева - 0,7х0,65х0,8 см; в режиме Flair изменений не выявлено (двусторонние мелкие ксантогранулёмы).

Полезной особенностью является то, что ксантогранулёмы обычно имеют довольно высокий сигнал на диффузионно-взвешенных изображениях (DWI). Этот высокий сигнал является результатом как истинной ограниченной диффузии, так и просвечивания Т2 (так как в некоторых случаях, сигнал ADC является промежуточным, а не особенно низким).

Рис.3 Пациент А.: DWI/ADC аксиальная плоскость (слева направо): в области образований наблюдается ограничение диффузии.
Рис.3 Пациент А.: DWI/ADC аксиальная плоскость (слева направо): в области образований наблюдается ограничение диффузии.
Рис.4 Пациент А.: Т1-ВИ и Т1 постконтрастное изображение аксиальная плоскость (слева направо): После в/в контрастного усиления отмечается накопление парамагнетика сосудистыми сплетениями задних рогов боковых желудочков, накопления парамагнетика структурой ксантогранулем не отмечается.
Рис.4 Пациент А.: Т1-ВИ и Т1 постконтрастное изображение аксиальная плоскость (слева направо): После в/в контрастного усиления отмечается накопление парамагнетика сосудистыми сплетениями задних рогов боковых желудочков, накопления парамагнетика структурой ксантогранулем не отмечается.

В большинстве случаев ксантогранулёмы имеют диаметр менее 1 см, обычно располагаются в задних рогах боковых желудочков и в 1/3 случаев они односторонние.

Рис.5 Пациент М.: Flair и DWI аксиальная плоскость (слева направо): В области сосудистого сплетения заднего рога правого бокового желудочка определяется гиперинтенсивное образование в режиме DWI и Flair, размером 1,6х1,2х1,0 см (односторонняя ксантогранулёма).
Рис.5 Пациент М.: Flair и DWI аксиальная плоскость (слева направо): В области сосудистого сплетения заднего рога правого бокового желудочка определяется гиперинтенсивное образование в режиме DWI и Flair, размером 1,6х1,2х1,0 см (односторонняя ксантогранулёма).

В большинстве случаев ксантогранулёмы не требуют лечения, гистологического подтверждения и не требуют последующего наблюдения.

📚Использованная литература:

  1. Ксантогранулемы хориоидального сплетения

https://radiology24.ru/choroid-plexus-xanthogranuloma/.

  1. Choroid plexus xanthogranuloma

https://radiopaedia.org/articles/choroid-plexus-xanthogranuloma