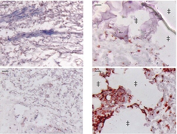
Хроническое воздействие ультрафиолета на кожу человека вызывает преждевременное старение, или фотостарение. По мере фотостарения кожи пучки коллагена I типа, которые находятся в дерме под верхним слоем кожи и обеспечивают прочность и поддержку кожи, фрагментируются. Это приводит к появлению морщин, хрупкости и потере эластичности кожи. «Лучший способ предотвратить повреждение коллагена типа I солнечным светом — это постоянно наносить солнцезащитный крем, по возможности ежедневно, и особенно когда вы проводите время на открытом воздухе», — комментирует Фрэнк Ванг (Frank Wang), профессор клинической дерматологии в Медицинской школе Мичиганского университета (U-M Medical School). В новом исследовании, опубликованном в журнале Experimental Dermatology, эксперты отметили, что инъекции самого популярного типа дермального наполнителя — поперечно-сшитой гиалуроновой кислоты — в кожу могут обратить вспять кожные изменения, связанные с фотостарением. Эти наполнители обычно вводятся в кожу, чтобы
Ученые изучают дермальные инъекции и их влияние на старение кожи
17 февраля 202417 фев 2024
28
1 мин
