Добавить в корзинуПозвонить
Найти в Дзене
Реабилитация

НЕВРОПАТИЯ ЛИЦЕВОГО НЕРВА

Невропатия лицевого нерва — это поражение лицевого нерва, проявляющееся клинически частичной слабостью или полным параличом верхней и нижней порции мимической мускулатуры. Невропатия лицевого нерва наиболее частое поражение среди всех поражений черепных нервов и второе среди заболеваний периферической нервной системы. Исследователями отмечается циклический и сезонный рост заболеваемости невропатией лицевого нерва с промежутком в 4 года, при этом 40% случаев невропатии лицевого нерва приходится на март–апрель, 27% — на декабрь. У каждого третьего больного поражение лицевого нерва приводит к развитию таких осложнений, как контрактура мимических мышц (в 25–30% случаев) и патологические синкинезии, а у каждого седьмого из выздоровевших больных впоследствии наблюдается рецидив заболевания. Среди причин невропатии лицевого нерва следует выделить: воспалительные и инфекционные (часто ассоциированы с герпес-вирусом, гайморитом, отитом и т.д.), послеоперационные (после операций в челюстно-лицев
Невропатия лицевого нерва — это поражение лицевого нерва, проявляющееся клинически частичной слабостью или полным параличом верхней и нижней порции мимической мускулатуры. Невропатия лицевого нерва наиболее частое поражение среди всех поражений черепных нервов и второе среди заболеваний периферической нервной системы.

Исследователями отмечается циклический и сезонный рост заболеваемости невропатией лицевого нерва с промежутком в 4 года, при этом 40% случаев невропатии лицевого нерва приходится на март–апрель, 27% — на декабрь. У каждого третьего больного поражение лицевого нерва приводит к развитию таких осложнений, как контрактура мимических мышц (в 25–30% случаев) и патологические синкинезии, а у каждого седьмого из выздоровевших больных впоследствии наблюдается рецидив заболевания.

Среди причин невропатии лицевого нерва следует выделить: воспалительные и инфекционные (часто ассоциированы с герпес-вирусом, гайморитом, отитом и т.д.), послеоперационные (после операций в челюстно-лицевой хирургии и после косметологических манипуляций), посттравматические, онкологические (в т.ч. паранеопластические) и др. Согласно исследованиям японских специалистов, ДНК вируса простого герпеса в эндоневральной жидкости у пациентов с невропатией лицевого нерва выявляется в 79% случаев.

В настоящее время в связи с развитием направления хирургического лечения новообразований околоушной слюнной железы все более актуальным является ранняя диагностика посттравматической послеоперационной невропатии лицевого нерва, а также последующее своевременное и комплексное реабилитационное лечение, включая как медикаментозную, так и немедикаментозную терапию. Несмотря на современные хирургические технологии, а также применение интраоперационного нейромониторинга, избежать повреждения лицевого нерва и его ветвей при операциях на околоушной слюнной железе практически невозможно.

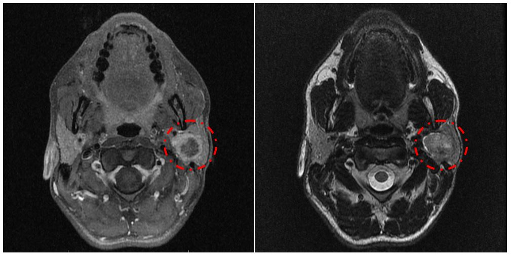
МРТ головного мозга пациента с признаками новообразования околоушной слюнной железы
МРТ головного мозга пациента с признаками новообразования околоушной слюнной железы

Клиническая симптоматика невропатии лицевого нерва с парезом мимической мускулатуры сопровождается следующими проявлениями на стороне поражения: сглаживание носогубной складки; уголок рта опущен; веки широко раскрыты, при их закрытии наблюдается лагофтальм — остается светлая, видимая полоска склеры; снижаются или полностью прекращаются вкусовые ощущения на передней трети поверхности языка; нарушается функция глаз — появляется сухость или наоборот слезотечение. Заметное выделение слез происходит при приеме и пережевывании продуктов питания; больной не может вытянуть губы, возможно вытекание пищи из приоткрытой половины рта; в первые дни заболевания отмечается обострение слуха — появляется болезненность при громких звуках (гиперакузия); перед развитием всей симптоматики наблюдается резкая болезненность за ухом; попытка наморщить лоб заканчивается неудачей — кожа этой области остается полностью гладкой.

Диагностика невропатии лицевого нерва каких-либо сложностей, как правило не вызывает. При осмотре неврологические проявления невропатии лицевого нерва очевидны. Среди дополнительных исследований требуется: осмотр офтальмолога, осмотр ЛОР-врача, МРТ головного мозга (в первую очередь оценка мосто-мозжечкового угла), электронейромиография, в некоторых случаях КТ височных костей, рентгенография черепа по Стенверсу и Майеру по показаниям. в некоторых случаях люмбальная пункция, анализы крови (в т.ч. исследования на иммуноглобулины G и M к герпес вирусу 1,2 типа, Варицелла-Зостер, анализ на ВИЧ, гепатиты В и С). В случаях рецидивирующей невропатии лицевого нерва требуется консультация иммунолога. В некоторых случаях дополнительно могут потребоваться консультация инфекциониста, аллерголога, в случае выявления туберкулезного менингита - фтизиатра.

Среди конкурентных причин развития невропатии лицевого нерва особенно важно исключение стволового инсульта, менингита и опухолевых процессов.

«Золотым стандартом» оценки функции лицевого нерва, в том числе в рамках контроля динамики и прогноза, восстановления является электронейромиография.

Процедура электронейромиографии
Процедура электронейромиографии

Лечение при невропатии лицевого нерва необходимо начинать, как можно раньше, упущенное время существенно сказывается на эффективности восстановления, выжидательная тактика недопустима.

В раннем периоде (1–10 день болезни) при невропатии лицевого нерва с целью уменьшения отека рекомендуют лечение гормонами. Наиболее эффективным является введение дексаметазона в/м или в/в по схеме с постепенным снижением дозы. Обычно введение дексаметазона продолжают в течение 7–10 дней, часто сочетая с введением эуфиллина 2,4% — 5,0, а также применением антигистаминных и мочегонных препаратов. Применение гормонов в 76% случаев приводит к выздоровлению или значительному улучшению. Помимо гормональных и противовирусных препаратов пациентам с невропатией лицевого нерва показаны нейропротекторы — альфа-липоевая кислота (600 мг/сут в/в в течение 10 дней, с дальнейшим переводом на прием препаратов per os в той же дозе длительностью 1–3 мес), витамины группы (В1, В6, В12 в/м), фолиевая кислота не менее 5 мг/сут на 1–2 мес, ингибиторы холинэстеразы, антиагрегантные препараты, венотонизирующие препараты, препараты улучшающие метаболизм (например, мельдоний). С целью восстановления проведения нервных импульсов по лицевому нерву назначают ипидакрин.

Среди методов немедикаментозного лечения при невропатии лицевого нерва применяют: рефлексотерапию (традиционно один из наиболее эффективных методов), мимическую гимнастику, физиотерапию (магнитная стимуляция высокой интенсивности, низкоинтенсивная лазеротерапия, TECAR-терапия, электромиостимуляция), кинезиологическое тейпирование, в некоторых случаях ботулинотерапию и др.

Процедура рефлексотерапии
Процедура рефлексотерапии

Членами Экспертного Совета Ассоциации развития реабилитации, физиотерапии и абилитации (АРРФА) разработан и рекомендован к применению в клинической практике следующий комплекс мимической гимнастики:

  1. Сосредоточьте свое внимание на выполняемых упражнениях, делайте паузы для отдыха между упражнениями. При появлении головокружения, дискомфорта — прервите занятие.
  2. Повороты головы вправо и влево.
  3. Наклоны головы вправо и влево.
  4. Наклоны головы вперед и назад.
  5. Круговые движения плечами вперед и назад.
  6. Круговые движения руками вперед и назад.
  7. Максимально сильно зажмурьте глаза. Сосчитайте до 10, после чего расслабьте веки.
  8. Поднимайте брови вверх до максимума, изображая удивление.
  9. Медленно, словно преодолевая сопротивление, нахмурьте брови. Задержитесь в этом положении. Расслабьте мышцы.
  10. Потянуть воздух носом в себя, наморщив нос (с закрытым ртом).
  11. Немного сожмите нос пальцами, чтобы для вдоха нужно было приложить усилие. Медленно вдыхайте.
  12. Растягивайте сомкнутые губы, чтобы получилось подобие улыбки.
  13. Улыбнитесь как можно шире, постаравшись показать все зубы.
  14. Отвести губы с закрытым ртом влево и вправо.
  15. Опустить верхнюю губу на нижнюю.
  16. Поднять верхнюю губу, обнажив верхние зубы; опустить нижнюю губу, обнажив нижние зубы.
  17. Втянуть щеки при закрытом рте.
  18. Надуйте щеки и задержитесь в таком положении на 10 с.
  19. Помассируйте щеки изнутри круговыми движениями языка.
  20. Упражнения для улучшения артикуляции: произносить звуки [а], [о], [и], [ю], [у]; произносить звуки [п], [ф], [в], подводя нижнюю губу под верхние зубы; произносить сочетания этих звуков: [ой], [фу], [фи] и т.д.; произносить слова, содержащие эти звуки, по слогам (о-кош-ко, Фек-ла, и-зюм, пу-фик, Вар-фо-ло-мей, и-вол-га и др.).
  21. Делайте глубокие медленные вдохи и выдохи (на четыре счета.) Сделайте 9 вдохов и 9 выдохов.
  22. Осторожными похлопывающими движениями подушечек пальцев пройдитесь по векам. Направление похлопываний следующее: от наружного угла глаза к внутреннему похлопывайте верхнее веко, обратно — нижнее. У наружного угла сила хлопков может быть немного больше, у внутреннего — максимально деликатной. Похлопывания не должны вызывать неприятных ощущений.
  23. Постукивать пальчиками по всему лицу.
  24. Поглаживание руками от носа к ушам, ото лба к ушам, от подбородка к ушам.

Видеокомплекс мимической гимнастики можно посмотреть по ссылке>>

Мимическую гимнастику рекомендуется сочетать с кинезиологическим тейпированием. Кинезиологический тейп способствует снятию отека, а также создает мягкую фиксацию мимических мышц в физиологичном положении, что существенно повышает эффективность мимической гимнастики с формированием эргономики лицевой мимики.

Кинезиологическое тейпирование мимической мускулатуры
Кинезиологическое тейпирование мимической мускулатуры

Технология комбинированной ритмической магнитной стимуляции высокой интенсивности и лазеротерапии низкой интенсивности HIMALAS (Hight-intensity magneto laser stimulation) обладает высокой эффективностью в процессе восстановления функции лицевого нерва, профилактики контрактуры мимической мускулатуры и формирования патологических синкинезий. Основные эффекты HIMALAS-терапии нейростимулирующий, трофикостимулирующий, регенераторный, противоотечный, противовоспалительный.

Процедура HIMALAS-терапии на аппарате HIMALAS PRO с терапевтическим воздействием на лицевую область
Процедура HIMALAS-терапии на аппарате HIMALAS PRO с терапевтическим воздействием на лицевую область

Комплексное применение методов медикаментозной и немедикаментозной терапии при коррекции последствий невропатии лицевого нерва демонстрирует в клинической практике высокую эффективность, позволяя уменьшить общий срок восстановления пациентов, снизить риск осложнений (контрактура, патологические синкинезии и др.), снизить риск остаточных явлений невропатии, в том числе косметического дефекта. При лечении и реабилитации пациентов с невропатией лицевого нерва основополагающим принципом является соблюдение междисциплинарного и персонифицированного подхода, а также преемственность в выборе методов лечения и длительность реабилитационных мероприятий. Как правило, минимальный срок для восстановления последствий невропатии лицевого нерва без какого-либо косметического дефекта составляет 2 мес, в первые 6 мес лечение обладает наибольшем эффектом, спустя этот срок эффективность реабилитационных мероприятий существенно снижается, в связи, с чем возникает потребность в хирургической коррекции.

Яковлев А.А. Реабилитация при невропатии лицевого нерва. Издательские решения, 2019,  116 с.   ISBN: 978-5-4496-8193-5.

Пособие по кинезиологическому тейпированию

О технологии HIMALAS-терапии

О применении TECAR-терапии