Найти в Дзене
RIA56

Оренбургские врачи напоминают, что курение увеличивает статистику онкозаболеваний

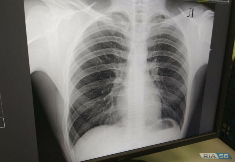
Об этом рассказал врач-онколог торакального приема, врач-терапевт Оренбургского областного клинического онкодиспансера Денис Меркушин. Несмотря на общеизвестный факт о курении как факторе риска развития рака лёгкого, большинство людей недооценивают вклад курения в увеличение статистики онкологических заболеваний. На самом деле курение является доказанным фактором риска развития 13 видов онкологических заболеваний: -носа и придаточных пазух -полости рта и миндалин -глотки -трахеи и голосового аппарата -лёгких -пищевода (риск развития в 5 раз выше по сравнению с некурящими) -желудка (в 1,3-1,5 раз выше по сравнению с некурящими) -поджелудочной железы (в 2-3 раза выше по сравнению с некурящими) -печени -яичников -мочевого пузыря (в 5-6 раз выше по сравнению с некурящими) -шейки матки -лейкемии. Вдыхаемый сигаретный дым содержит более 7 000 химических соединений, из которых более 250 являются доказанно вредными и более 69 – достоверно обладают канцерогенным эффектом (бензол, ацетальдегид,
   Оренбургские врачи напоминают, что курение увеличивает статистику онкозаболеваний Белов Михаил Александрович
Оренбургские врачи напоминают, что курение увеличивает статистику онкозаболеваний Белов Михаил Александрович

Об этом рассказал врач-онколог торакального приема, врач-терапевт Оренбургского областного клинического онкодиспансера Денис Меркушин.

Несмотря на общеизвестный факт о курении как факторе риска развития рака лёгкого, большинство людей недооценивают вклад курения в увеличение статистики онкологических заболеваний.

На самом деле курение является доказанным фактором риска развития 13 видов онкологических заболеваний:

-носа и придаточных пазух

-полости рта и миндалин

-глотки

-трахеи и голосового аппарата

-лёгких

-пищевода (риск развития в 5 раз выше по сравнению с некурящими)

-желудка (в 1,3-1,5 раз выше по сравнению с некурящими)

-поджелудочной железы (в 2-3 раза выше по сравнению с некурящими)

-печени

-яичников

-мочевого пузыря (в 5-6 раз выше по сравнению с некурящими)

-шейки матки

-лейкемии.

Вдыхаемый сигаретный дым содержит более 7 000 химических соединений, из которых более 250 являются доказанно вредными и более 69 – достоверно обладают канцерогенным эффектом (бензол, ацетальдегид, акролеин, бутадиен бензпирен, табачные нитрозамины).

Имеет значение стаж курения и количество выкуриваемых сигарет в сутки:

-у тех, кто выкуривает 1-2 сигареты эпизодически, риск смерти от рака лёгких в 9 раз выше, чем у некурящих;

-у тех, кто выкуривает более 1/2 пачки сигарет в сутки, в 12 раз;

-у тех, кто выкуривает пачку сигарет в сутки и более (так называемые заядлые курильщики), – в 30 раз выше;

-у тех, кто не курит вообще, риск развития рака лёгких менее 1%.

Относительно пациентов, которые уже имеют онкологическое заболевание любой локализации, получают специальную терапию (лучевую терапию, цитостатическую химиотерапию, иммунотерапию, терапию таргетными препаратами) или излечены, существуют данные, указывающие на колоссальную пользу отказа от курения:

-данные об увеличении времени до прогрессирования;

-данные об увеличении общей выживаемости;

-об уменьшении риска развития рецидива.

Следовательно, с целью снижения онкологического риска однозначно стоит отказаться от курения или хотя бы уменьшить количество выкуриваемых сигарет в сутки.

Что будет, если бросить курить?

-Если бросить курить в 60 лет, риск рака лёгких снижается до 11%.

-Если бросить курить в 50 лет, риск рака лёгких снижается до 5%.

-Если бросить курить в 40 лет, риск рака лёгких снижается до 3%.

Отказ от курения добавляет 6-10 лет дополнительного времени жизни:

-Если бросить курить в возрасте 25-35 лет – плюс 10 лет жизни.

-Если бросить курить в возрасте 35-45 – плюс 9 лет жизни.

-Если бросить курить в возрасте 45-55 – плюс 6 лет жизни.

Не стоит забывать о вреде пассивного курения.

Пассивный вид курения вызывает до 20 000 случаев рака лёгкого в год в мире. Пассивному курению можно подвергаться с раннего детства, например, если курит кто-то из родителей. Если курит ваш партнёр, риск развития рака лёгкого у вас повышается на 27%. Безусловно, доза канцерогенов при пассивном курении во много раз меньше, чем при активном, однако в этой ситуации существует определенный нюанс.

Покинув место курения, курильщик возвращается к окружающим и выдыхает так называемый «вторичный поток», в котором концентрация смол выше в 3,5 раза, никотина в 6,6 раза и угарного газа – в 6,8 раза. Находясь в одном помещении с тем, кто курит пачку сигарет в сутки, некурящий получает вред как от 7-8 выкуриваемых сигарет в день.

18+