Найти в Дзене

Кардиохирург про СТЕНТИРОВНИЕ (ПОЛНАЯ СТАТЬЯ)

У людей с болезнью коронарных артерий, снабжающие кровью сердечную мышцу, забиваются жировыми отложениями, называемыми бляшками. Эти бляшки могут уменьшать приток крови к сердечной мышце, что, в свою очередь, может вызвать боль в груди или дискомфорт, особенно при физических нагрузках или эмоциональном стрессе. Существует два основных вида лечения для людей с такими симптомами, медицинский термин которых - "стенокардия": медикаментозная терапия (лекарства) и интервенционное лечение (процедуры по расширению или обходу суженных коронарных артерий). Цели этих методов лечения - улучшение качества жизни человека и облегчение симптомов, таких как стенокардия. Лекарства также могут замедлить развитие болезни и тем самым продлить жизнь. ЧТО ТАКОЕ СТЕНТИРОВАНИЕ? Стентирование, также известное как "чрескожное коронарное вмешательство" или ЧКВ, - это процедура, при которой используется гибкий пластиковый катетер (тонкая трубка) для расширения суженных артерий сердца. Затем на месте основного заку
Оглавление

У людей с болезнью коронарных артерий, снабжающие кровью сердечную мышцу, забиваются жировыми отложениями, называемыми бляшками.

У людей с ишемической болезнью сердца коронарные артерии забиваются жировыми отложениями, называемыми бляшками.
У людей с ишемической болезнью сердца коронарные артерии забиваются жировыми отложениями, называемыми бляшками.

Эти бляшки могут уменьшать приток крови к сердечной мышце, что, в свою очередь, может вызвать боль в груди или дискомфорт, особенно при физических нагрузках или эмоциональном стрессе. Существует два основных вида лечения для людей с такими симптомами, медицинский термин которых - "стенокардия": медикаментозная терапия (лекарства) и интервенционное лечение (процедуры по расширению или обходу суженных коронарных артерий). Цели этих методов лечения - улучшение качества жизни человека и облегчение симптомов, таких как стенокардия. Лекарства также могут замедлить развитие болезни и тем самым продлить жизнь.

ЧТО ТАКОЕ СТЕНТИРОВАНИЕ?

Стентирование, также известное как "чрескожное коронарное вмешательство" или ЧКВ, - это процедура, при которой используется гибкий пластиковый катетер (тонкая трубка) для расширения суженных артерий сердца. Затем на месте основного закупоривания устанавливается металлический стент, чтобы удерживать артерию открытой.

Стент — это крошечная металлическая трубка, которая помогает открыть артерию (кровеносный сосуд). Большинство стентов покрыты лекарственным средством, которое помогает предотвратить повторное сужение или закупорку артерии.
Стент — это крошечная металлическая трубка, которая помогает открыть артерию (кровеносный сосуд). Большинство стентов покрыты лекарственным средством, которое помогает предотвратить повторное сужение или закупорку артерии.

Таким образом, стентирование помогает восстановить и сохранить кровоток к сердечной мышце.

ЗАЧЕМ МНЕ НУЖНО СТЕНТИРОВАНИЕ?

Боль в груди, вызванная уменьшением притока кислорода к части сердечной мышцы, называется "стенокардией". Стенокардия является сигналом о том, что сердечная мышца не получает достаточного кровотока, в частности, достаточного количества кислорода. Недостаток кислорода называется ишемией. Кровоток чаще всего уменьшается из-за коронарной болезни, которая вызывает сужение артерий, снабжающих кровью сердечную мышцу. Сужение в коронарных артериях происходит из-за отложений кальция и жира, называемых бляшками.

Человек с суженными артериями может развить стенокардию во время активности, упражнений или любого другого физического или психического стресса, который увеличивает потребность сердца в крови. Стенокардия может быть "стабильной" или "НЕСТАБИЛЬНОЙ". Стенокардия считается нестабильной, когда происходит изменение обычной клиники, например, увеличение частоты, тяжести, продолжительности или причины возникновения. Нестабильная стенокардия может быть связана с повреждением сердечной мышцы (или инфарктом миокарда). Термин "острый коронарный синдром" относится к людям с нестабильной стенокардией или инфарктом миокарда; эти состояния требуют немедленной оценки в больнице. В тяжелых случаях инфаркт миокарда может привести к сердечной недостаточности или внезапной сердечной смерти.

КАНДИДАТЫ НА СТЕНТИРОВАНИЕ

Стентирование может быть рекомендовано в дополнение к медикаментозной терапии для двух групп людей со стабильной стенокардией:

  • Люди, у которых постоянные и невыносимые симптомы, несмотря на оптимальное медикаментозное лечение.
  • Люди, у которых есть определенные образцы сужения артерий и высокий риск либо сердечного приступа, либо смерти.

Полезность стентирования зависит от местоположения и степени сужения артерий. Стентирование часто рекомендуется, когда сужение артерий умеренное или тяжелое или когда серьезно сужены только одна или две коронарные артерии. У людей с диабетом, по-видимому, больше пользы от операции шунтирования, особенно если затронуты два или три сосуда, большая часть сердечной мышцы находится в опасности, или функция левого желудочка снижена.

Люди с обширной коронарной сердечной болезнью, включая большое количество суженных коронарных артерий или сужение левой главной коронарной артерии и плохую насосную функцию их левого желудочка (нижней камеры сердца), как правило, живут дольше, когда у них проводится коронарное артериальное шунтирование, а не медикаментозное лечение. Для некоторых пациентов с закупорками в более чем одной артерии врачи могут рекомендовать использовать как стентирование, так и АКШ (последовательно), чтобы добиться наилучшего результата.

ПРЕИМУЩЕСТВА СТЕНТИРОВАНИЯ

Для пациентов с хронической стабильной стенокардией установка стента может улучшить симптомы и физическую активность, но не снизить смертность или риск инфаркта миокарда по сравнению с пациентами, проходящими полную медицинскую программу. Однако многие индивидуальные факторы влияют на эффективность интервенционного лечения и его долгосрочную пользу. Поэтому важно обсудить реалистичные ожидания от каждой из этих процедур с врачом.

РИСКИ СТЕНТИРОВАНИЯ

Стентирование является инвазивной процедурой и связано с рисками, которые следует обсудить с врачом. Степень этого риска зависит от многих индивидуальных факторов.

ПОДГОТОВКА К ПРОЦЕДУРЕ

Подготовка к установке стента

Перед установкой стента обычно проводятся анализы крови и электрокардиограмма. Эти тесты помогают убедиться, что другие потенциальные медицинские проблемы выявлены и контролируются перед процедурой.

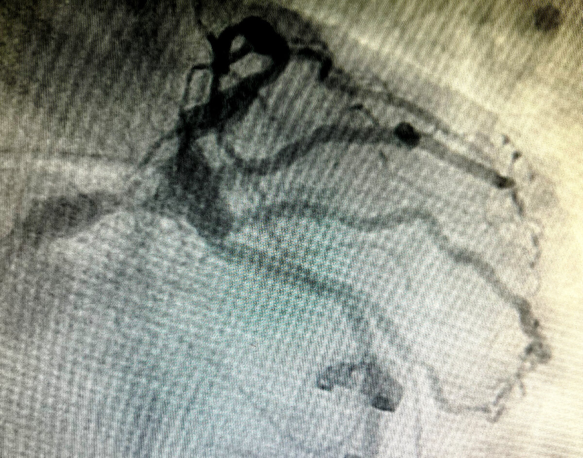
Коронарная ангиография

Перед установкой стента проводится диагностика для определения, какие коронарные артерии заблокированы и оценки степени блокировки. Эта процедура называется "катетеризация" или "коронарная ангиография". У пациентов со стабильной стенокардией она обычно выполняется в больнице, часто непосредственно перед установкой стента.

Большинству пациентов говорят не есть и не пить ничего в течение шести-восьми часов перед процедурой катетеризации. Людям с диабетом следует проконсультироваться с врачом о том, сколько лекарств принимать перед процедурой. Противосвертывающие препараты, такие как варфарин, могут быть уменьшены или даже временно отменены перед операцией, в зависимости от причины использования антикоагулянта. Однако аспирин и второй антиагрегантный препарат обычно продолжают принимать. Важно следовать всем инструкциям относительно приема лекарств перед операцией; процедура может быть отменена или отложена, если инструкции не будут точно соблюдаться.

Пациенту дают седативное и, возможно, обезболивающее перед процедурой. Большинство людей не помнят процедуру из-за этих лекарств. Маленький катетер вводится в артерию в ноге (бедренную артерию) или на запястье (радиальную артерию). Катетер направляют через кровеносные сосуды к сердцу. Коронарные артерии визуализируются путем введения красящего вещества (контраста) через катетер, используя рентгеновское устройство для записи подробного изображения коронарных артерий.

На основе результатов этого теста врач иногда сразу же переходит к установке стента, если это кажется разумным. "Разумность" определяется как характер блокировки, так и желаниями пациента, которые обычно обсуждаются перед катетеризацией.

  • В некоторых случаях стентирование может быть выполнено сразу после катетеризации.
  • В других случаях лечение лекарствами продолжается ИЛИ рекомендуется открытая сердечная операция с шунтированием.

Как проводится стентирование?

Стентирование обычно проводится в больнице в помещении, называемом катетеризационной лабораторией. Процедура обычно занимает от одного до двух часов. Пациенту дают седативное и обезболивающее перед процедурой. Многие люди не помнят процедуру из-за этих лекарств.

Для расширения суженной артерии длинный, тонкий катетер вводится в артерию в ноге (бедренную артерию) или на запястье (радиальную артерию). Катетер направляют через кровеносные сосуды к началу суженной коронарной артерии в сердце. Размещение катетера подтверждается введением красящего вещества в коронарную артерию и использованием типа рентгеновской машины (называемой флюороскопом) для просмотра положения катетера.

После того, как катетер расширит суженную артерию, стент (расширяемая металлическая трубка, обычно изготовленная из проволочной сетки) устанавливается после расширения сосуда для уменьшения риска повторного сужения в будущем.

-4

Редко стент не удается установить, и процедура прекращается после лечения одним катетером. В некоторых случаях использование одного катетера будет успешным для восстановления кровотока.

Некоторые стенты покрыты лекарством (называемые "стентами с лекарственным покрытием") для предотвращения развития чрезмерного роста ткани. Эта ткань формируется в попытке "вылечить" стентированную область и потенциально может сужать или полностью блокировать коронарную артерию со временем. Стент с лекарственным покрытием выделяет лекарство, которое помогает предотвратить чрезмерный рост ткани.

ОСЛОЖНЕНИЯ СТЕНТИРОВАНИЯ

Осложнения от стентирования встречаются относительно редко. Наиболее распространенные осложнения включают дискомфорт и кровотечение в месте прокола, где был введен катетер.

Иногда процедура приводит к небольшому разрыву (называемому "диссекцией") внутреннего слоя коронарной артерии. Обычно разрыв маленький и заживает самостоятельно. В некоторых случаях разрыв исправляется с помощью стента. Если разрыв серьезный, вызывая блокировку кровотока в артерии или потерю крови вокруг сердца, проводится немедленное лечение. Обычно это включает повторное введение катетера и установку стента. Редко кому-то требуется срочное шунтирование, но это необходимо менее чем в одном проценте случаев.

После установки стента может наблюдаться незначительное повышение кардиальных ферментов в крови, указывающее на небольшое повреждение в результате процедуры. Если уровень ферментов в крови достигает клинически значимого уровня, что происходит менее чем в одном проценте случаев, это не имеет значения и не считается осложнением.

ОГРАНИЧЕНИЯ СТЕНТИРОВАНИЯ

Хотя стентирование восстанавливает кровоток и облегчает симптомы у более чем 90 процентов пациентов, существует риск повторного появления симптомов в течение шести месяцев, часто из-за повторного сужения (рестеноза) артерии или дальнейшего сужения в другом месте. Рестеноз, достаточно серьезный, чтобы вызывать симптомы, возникает у:

  • Приблизительно 30% людей, которым проводилась процедура открытия заблокированной артерии без установки стента.
  • Приблизительно 15% людей, у которых установлен металлический стент без покрытия.
  • Менее чем у 10% людей, у которых установлен стент с лекарственным покрытием.

Некоторые участки коронарных артерий более склонны к повторному сужению, чем другие. Кроме того, некоторые состояния увеличивают риск сужения, потенциально требуя повторной катетеризации и повторного открытия или шунтирования суженной артерии:

  • Диабет
  • Продолжение курения
  • Высокое кровяное давление
  • Артерии, которые диффузно сужены
  • Высокий уровень плохого (ЛПНП) холестерина
  • Сужение в крупном кровеносном сосуде, которое находится на начале боковой ветви.
  • Кровеносный сосуд, в который было установлено несколько стентов
  • Стенты, установленные в вене, которая была пересажена на сердце во время операции по коронарному артериальному шунтированию.

Повторные симптомы могут развиваться в результате других сосудов, которые становятся суженными. Некоторые сосуды, которые очень маленькие и извилистые, имеют длительные полные блокировки или кальцинированные (укрепленные) поражения, более трудны для открытия.

УХОД ПОСЛЕ ПРОЦЕДУРЫ

После процедуры стентирования катетер удаляется из артерии, и на область накладывается давление. В некоторых случаях используется давящее устройство для ограничения кровотечения из места. В других случаях бедренная артерия закрывается специальным устройством в момент удаления катетера.

Если доступ осуществляется через бедренную артерию, пациент должен лежать неподвижно и оставаться неподвижным в течение нескольких часов, чтобы снизить риск кровотечения. В это время пациент остается в зоне восстановления, где его артериальное давление, частота сердечных сокращений, уровень кислорода, температура и место прокола могут часто контролироваться. Когда начинает исчезать действие седативного препарата, при необходимости может быть дано обезболивающее.

Большинство пациентов остаются в больнице на ночь после стентирования. Друг или член семьи должен быть доступен, чтобы отвезти пациента домой. Большинство пациентов могут ходить на следующий день после процедуры и могут возобновить свою обычную деятельность, включая возвращение на работу, в течение недели. Вождение автомобиля и тяжелая подъемная и тяговая работа запрещены в течение нескольких дней. Конкретные ограничения активности следует обсудить с врачом.

Вопросы, которые следует задать после стентирования, включают:

  • Когда мне следует возобновить прием моих лекарств? Нужны ли мне новые лекарства?
  • Когда мне следует снова обратиться к врачу?
  • К кому мне обращаться, если у меня возникнут проблемы после возвращения домой?

ДРУГИЕ МЕРЫ ДЛЯ ЗАМЕДЛЕНИЯ И РАЗВИТИЯ ЗАБОЛЕВАНИЯ

Для всех пациентов с коронарной болезнью сердца важно следовать рекомендациям по уменьшению риска ухудшения сердечного заболевания. Эти рекомендации, которые следует обсудить с врачом, включают следующее:

  • Лечение высокого кровяного давления
  • Лечение высокого холестерина
  • Отказ от курения
  • Похудение при наличии избыточного веса
  • Снижение стресса
  • Регулярные физические упражнения
  • Избегание или минимизация деятельности, провоцирующей стенокардию, например, физических нагрузок в холодную погоду или интенсивных упражнений, особенно после еды.
  • Научиться использовать нитроглицерин профилактически
Отказ от ответственности: Представленная информация является кратким обзором диагностики, лечения и медикаментов. Она не полна и предназначена для ознакомления с возможными вариантами диагностики и лечения. Не включает всю информацию о заболеваниях, лечении и лекарствах. Не является медицинской консультацией. Для полной информации и лечения обращайтесь к врачу.