Добавить в корзинуПозвонить
Найти в Дзене
N + 1

Грибковые инфекции обвинили в почти четырех миллионах ежегодных случаев смерти

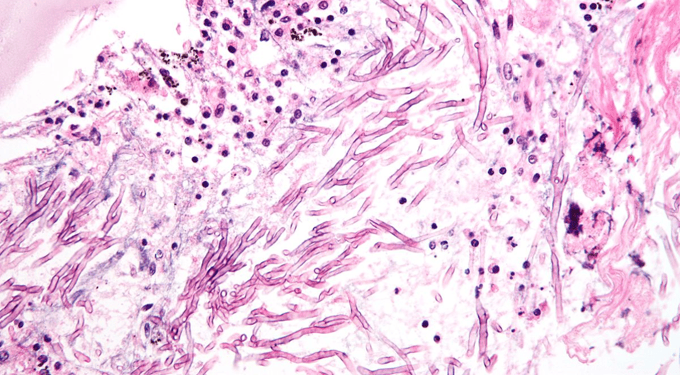
Ученые из Глобальной инициативы по грибковым болезням подсчитали, что ежегодно от заболеваний и состояний, вызванных различными грибками, погибает около 3,8 миллиона человек во всем мире, причем около 2,6 миллиона вызваны непосредственно грибковой инфекцией. Как сообщается в препринте, размещенном на портале ssrn.com, наиболее распространенным состоянием, связанным с поражением грибками, стала сенсибилизация к грибкам у больных с бронхиальной астмой — ей страдают более 11 миллионов человек. Хотя оценки заболеваемости и смертности от отдельных грибковых инфекций накапливались в течение последнего десятилетия, общее бремя грибковых заболеваний остается неполным. Поскольку известно о развивающейся устойчивости грибков к противогрибковым препаратам, оценки распространенности грибковых заболеваний важны для планирования общественного здравоохранения, внедрения новых методов диагностики, обеспечения доступа к противогрибковым препаратам и их разработки. Глобальная инициатива по грибковым бол
  Nephron / Wikimedia Commons / CC BY-SA 3.0 DEED
Nephron / Wikimedia Commons / CC BY-SA 3.0 DEED

Ученые из Глобальной инициативы по грибковым болезням подсчитали, что ежегодно от заболеваний и состояний, вызванных различными грибками, погибает около 3,8 миллиона человек во всем мире, причем около 2,6 миллиона вызваны непосредственно грибковой инфекцией. Как сообщается в препринте, размещенном на портале ssrn.com, наиболее распространенным состоянием, связанным с поражением грибками, стала сенсибилизация к грибкам у больных с бронхиальной астмой — ей страдают более 11 миллионов человек.

Хотя оценки заболеваемости и смертности от отдельных грибковых инфекций накапливались в течение последнего десятилетия, общее бремя грибковых заболеваний остается неполным. Поскольку известно о развивающейся устойчивости грибков к противогрибковым препаратам, оценки распространенности грибковых заболеваний важны для планирования общественного здравоохранения, внедрения новых методов диагностики, обеспечения доступа к противогрибковым препаратам и их разработки.

Глобальная инициатива по грибковым болезням под руководством Дэвида Деннинга (David Denning) занималась изучением общей распространенности грибковых инфекций и связанных с ними состояний. Кроме того, они изучали смертность от таких заболеваний. В качестве источника информации они пользовались опубликованными научными статьями за период с 2013 по 2023 год. Выяснилось, что ежегодно более 2113000 людей с хронической обструктивной болезнью легких, раком легких и гематологическими злокачественными новообразованиями страдают от инвазивного аспергиллеза. При этом примерно 1801000 таких пациентов ежегодно умирают.

Ежегодная заболеваемость хроническим аспергиллезом легких оценивается в 2484000 человек при ежегодной смертности в 460 тысяч человек. Около 1433000 человек страдают от системной кандидозной инфекции, из них примерно 911 тысяч человек ежегодно умирают. Пневмоцистная пневмония поражает 505 тысяч человек, 214 тысяч случаев заканчиваются смертью. Среднее ежегодное число случаев криптококкового менингита составляет 194 тысячи, 147 тысяч из которых приводят к смерти.

Другие серьезные угрожающие жизни грибковые инфекции поражают около 300 тысяч человек в год и приводят к 161 тысячи смертей. Астма, связанная с сенсибилизацией к грибкам, оказалось самым распространенным заболеванием, ассоциированным с грибками, которая поражает около 11,5 миллиона человек и может ежегодно приводить к 46 тысячам смертельных случаев (примерно 10 процентов от общего числа смертей от астмы).

По суммарной оценке авторов ежегодно в мире происходит около 3,8 миллиона смертей от болезней и состояний, связанных с грибковыми инфекциями, причем 2,6 миллиона смертельных случаев происходят непосредственно от инфекций. Эти данные показывают важность разработки эффективных мер профилактики и лечения грибковых инфекций в контексте развивающейся лекарственной устойчивости.

Недавно мы рассказывали, что в Мексике зафиксировали вспышку грибкового менингита, который развился у пациентов двух больниц после эпидуральной анестезии.