Добавить в корзинуПозвонить
Найти в Дзене
Пикабу

Клинический случай. Пациент с болью в плече

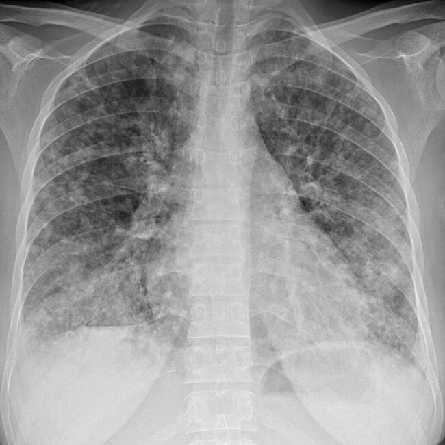
Обратился пациент с болью в плече. Беспокоит в течение 1, 5 месяцев, началась постепенно, явную травму отрицает, была нагрузка - кидал снег лопатой. Уже обращался к терапевту, затем у неврологу, прошел курс противовоспалительной терапии, проколол витамины, без значительного улучшения. Решили проконсультироваться у ревматолога. При уточнении, у пациента плохой аппетит, сильно похудел, беспокоят общая слабость, утомляемость, одышка. А еще он очень много и долго курит. Уже достаточно тревожных знаков. Начинаю разбирать документацию, никаких свежих обследований и анализов не проведено. Полгода назад сделана флюорография легких, без патологии (представлено только описание), общий анализ крови в тоже время, кроме легкой анемии ничего не показал. При осмотре - ограничение пассивных и активных движений в правом плечевом суставе, пальпируемое образование в подостной ямке, дыхание жесткое, ослабленное. По УЗИ - объемное образование в подостной ямке с дистальным усилением, мышца не визуализировал

Обратился пациент с болью в плече. Беспокоит в течение 1, 5 месяцев, началась постепенно, явную травму отрицает, была нагрузка - кидал снег лопатой.

Уже обращался к терапевту, затем у неврологу, прошел курс противовоспалительной терапии, проколол витамины, без значительного улучшения. Решили проконсультироваться у ревматолога.

При уточнении, у пациента плохой аппетит, сильно похудел, беспокоят общая слабость, утомляемость, одышка. А еще он очень много и долго курит.

Уже достаточно тревожных знаков.

Начинаю разбирать документацию, никаких свежих обследований и анализов не проведено. Полгода назад сделана флюорография легких, без патологии (представлено только описание), общий анализ крови в тоже время, кроме легкой анемии ничего не показал.

При осмотре - ограничение пассивных и активных движений в правом плечевом суставе, пальпируемое образование в подостной ямке, дыхание жесткое, ослабленное.

По УЗИ - объемное образование в подостной ямке с дистальным усилением, мышца не визуализировалась, признаки внутриствольного поражения сухожилия надостной мышцы.

Пациент быстро направлен на МСКТ органов грудной клетки - картина бластоматозного образования с деструкцией лопатки, метастатического поражения легких.

В 85% случаев причина развития рака легкого - это курение. После полного отказа риск снижается.

Всем курильщикам со стажем, делайте МСКТ органов грудной клетки, хотя бы 1 раз в год, на флюорографии ничего не видно, а когда появляются симптомы уже поздно.

И самое главное - бросайте курить, сразу без промедлений, независимо от стажа.

Я не могу придумать ни одного плюса от курения - это вредно для своего здоровья и здоровья окружающих, это экономически затратно, это внешне непривлекательно. Курить это не круто.

Тоже самое относится к любителям айкосов, вейпов и кальянов. Это не легкомысленные дуделки, продукты горения также с успехом сократят продолжительность вашей жизни. Покупая ребенку вейп, даже безникотиновый, сразу представляйте картину реанимации и свое чадо с острой дыхательной недостаточностью.

Решать, конечно, вам.

Пост автора rheumato.doc.

Больше комментариев на Пикабу.