Найти в Дзене

Сначала брекеты, потом коронки?

В этой статье мы разберем один весьма интересный клинический случай. Пациент обратился с жалобами на неправильный прикус и на дисфункцию височно-нижнечелюстного сустава. Субъективно это ощущалось как щелчки при движении челюсти, напряжение в мышцах и постоянные головные боли. Первым, с чего началась работа, стала диагностика. Было проведено исследование движений сустава, полученные данные – отсканированы, после чего была изготовлена специальная капа (шина) и проведена сплинт-терапия. В результате удалось подобрать такое положение челюсти пациента, при котором ему было комфортно. Следующим шагом стало МРТ-исследование. Снимки показали, что височно-нижнечелюстной сустав располагается в удовлетворительной позиции с точки зрения анатомии. Щелчки прошли, мышцы были расслаблены, и в этой позиции пациенту было максимально комфортно. Дальше эту позицию нужно было стабилизировать – при помощи брекет-системы. Для начала была проведена санация полости рта. Все зубы, требующие лечения, были пролеч

В этой статье мы разберем один весьма интересный клинический случай. Пациент обратился с жалобами на неправильный прикус и на дисфункцию височно-нижнечелюстного сустава. Субъективно это ощущалось как щелчки при движении челюсти, напряжение в мышцах и постоянные головные боли.

Первым, с чего началась работа, стала диагностика. Было проведено исследование движений сустава, полученные данные – отсканированы, после чего была изготовлена специальная капа (шина) и проведена сплинт-терапия. В результате удалось подобрать такое положение челюсти пациента, при котором ему было комфортно.

Следующим шагом стало МРТ-исследование. Снимки показали, что височно-нижнечелюстной сустав располагается в удовлетворительной позиции с точки зрения анатомии. Щелчки прошли, мышцы были расслаблены, и в этой позиции пациенту было максимально комфортно.

Дальше эту позицию нужно было стабилизировать – при помощи брекет-системы. Для начала была проведена санация полости рта. Все зубы, требующие лечения, были пролечены, кариозные процессы убраны, старые реставрации – сняты.

У пациента на верхней челюсти на резцах имелись металлокерамические коронки.

Начало лечения
Начало лечения

К таким коронкам брекеты клеятся очень плохо, поэтому старые коронки пришлось снять. Задачей врачей было посмотреть, в каком состоянии зубы под этими коронками, выполнить санацию этих зубов и далее закрыть их пластмассовыми коронками длительного ношения на период ортодонтического лечения.

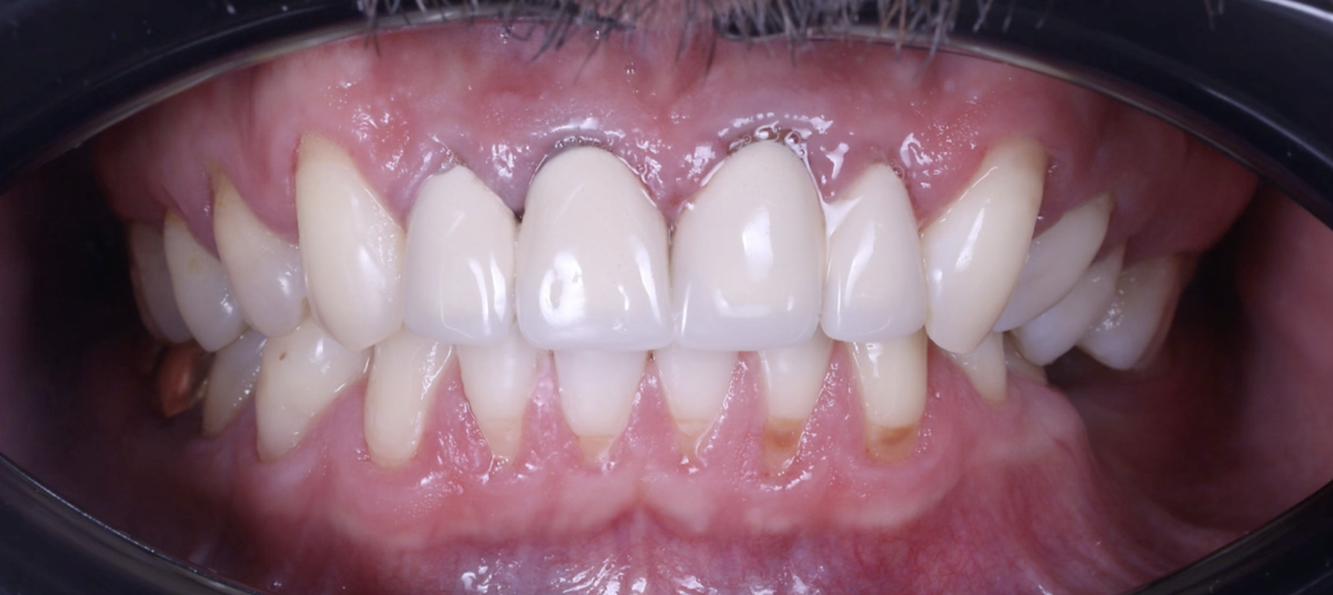
Как выглядела клиническая ситуация перед началом лечения?

-3

На нижних зубах пациента наблюдались признаки рецессии, центральные линии верхней и нижней челюстей не совпадали, имелись следы старых реставраций, а на верхних резцах – четыре металлокерамические коронки, сделанные около двенадцати лет назад. С этими коронками было связано немало проблем: нарушение краевого прилегания, потемнение зуба в области перехода коронки к зубу. Все это свидетельствовало о том, что коронки нужно было снимать и восстанавливать зубы для проведения ортодонтического лечения.

После снятия коронок обнаружилась следующая картина.

-4

На правом переднем резце – штифтово-культевая вкладка, на соседнем – композитная реставрация. Еще один зуб поражен кариозным процессом под пломбой.

Была проведена чистка, после чего зубы были восстановлены при помощи пластиковых коронок прямым методом. По форме предыдущих коронок были изготовлены временные коронки из пластика и зафиксированы на временный цемент. Все это выполнялось за один прием.

-5

На следующем приеме было сделано снятие оттисков для лаборатории, чтобы изготовить те коронки, с которыми пациент начнет ортодонтическое лечение. На этом этапе зубы уже полностью обработаны, старые пломбы заменены новыми композитными. После того, как были изготовлены и установлены новые коронки, пациенту закрепили брекет-систему.

-6

С помощью данной брекет-системы было зафиксировано новое терапевтическое положение нижней челюсти, при котором отсутствует патология височно-нижнечелюстного сустава, а мышцы расслаблены. Это та позиция, к которой ортодонт дальше будет стремиться.

После ортодонтического лечения временные коронки будут заменены на постоянные.

***
Проверить здоровье зубов и дёсен можно в нашей клинике НОВОДЕНТА+.
На первый приём действует СКИДКА 5%
***
Записаться на консультацию и/или задать вопросы можно:
по тел. +7 (495) 152-11-24 или на
САЙТЕ
в
WhatsApp клиники
***
📍Адрес клиники: г. Москва, ул. Айвазовского, д. 2
☝️
Наш социальные сети

Рекомендуем посмотреть эти статьи и видео: