Найти в Дзене
DEXIS Russia

Латеральное ответвление. Клинический кейс

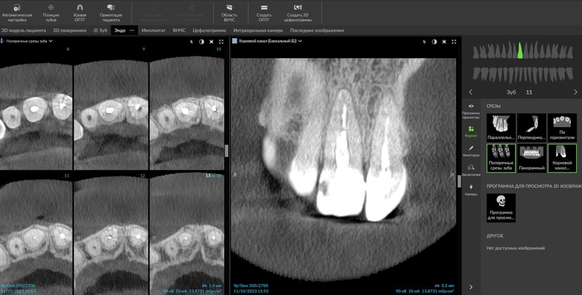
В рубрике «Через призму Х-лучей» представлен клинический случай, предоставленный врачом-рентгенологом Александром Потаповым. В данном материале демонстрируется кейс с латеральным ответвлением 🙌 От хода основного канала отходит дополнительный канал под 90° - латеральное ответвление: Ответвление не всегда направлено именно латерально: Может выходить на вестибулярную (1 и 3 рис.) или палатинальную поверхность корня, что создает сложность обнаружения при помощи классической 2D-рентгенографии: В данном кейсе, работая в DTX Studio Clinic, использовали вкладку ENDO, которая позволяет вращать плоскость реформата вокруг оси канала зуба 💻 Узнайте подробнее о программном обеспечении DTX Studio Clinic, оставив заявку на консультацию. ________________
Информация, представленная в данном клиническом кейсе, основана на мнении Александра Потапова, специалиста в области медицины (врача), работающего с продукцией DEXIS.
Все заявленные мнения и результаты не могут рассматриваться как официальные медиц

В рубрике «Через призму Х-лучей» представлен клинический случай, предоставленный врачом-рентгенологом Александром Потаповым. В данном материале демонстрируется кейс с латеральным ответвлением 🙌

От хода основного канала отходит дополнительный канал под 90° - латеральное ответвление:

Рис. 1
Рис. 1

Ответвление не всегда направлено именно латерально:

Рис. 2
Рис. 2

Может выходить на вестибулярную (1 и 3 рис.) или палатинальную поверхность корня, что создает сложность обнаружения при помощи классической 2D-рентгенографии:

Рис. 3
Рис. 3

В данном кейсе, работая в DTX Studio Clinic, использовали вкладку ENDO, которая позволяет вращать плоскость реформата вокруг оси канала зуба

-4

💻 Узнайте подробнее о программном обеспечении DTX Studio Clinic, оставив заявку на консультацию.

________________
Информация, представленная в данном клиническом кейсе, основана на мнении Александра Потапова, специалиста в области медицины (врача), работающего с продукцией DEXIS.
Все заявленные мнения и результаты не могут рассматриваться как официальные медицинские рекомендации, не являются медицинскими советами и не заменяют профессиональное медицинское заключение.

Производитель продукции DEXIS, равно как и компания ООО «И Эйч Руссланд», не несет ответственности за любые результаты или последствия, возникшие в результате использования данной информации.
Продукция DEXIS не предназначена для личного, семейного, домашнего использования, в том числе использования не медицинскими специалистами (врачами). Врачи должны руководствоваться собственным профессиональным мнением в случае применения продукции при диагностике и лечении пациентов.

Полезные статьи ⤵️