Найти в Дзене
Войти
Международная Школа Цитологии и Медицинская Школа Инноваций
54 подписчика
Подписаться
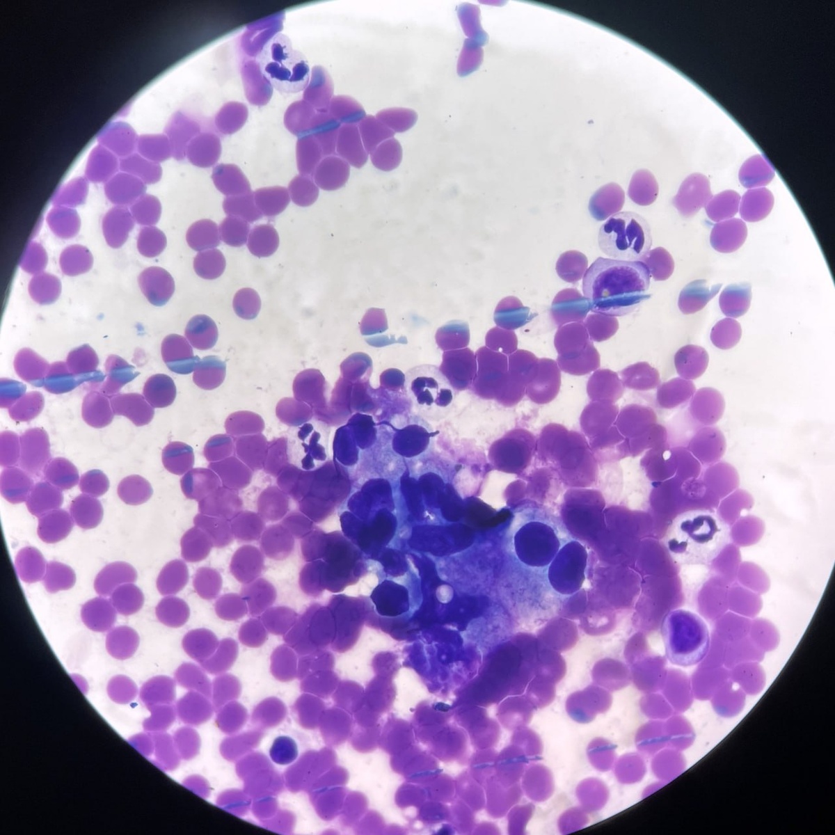
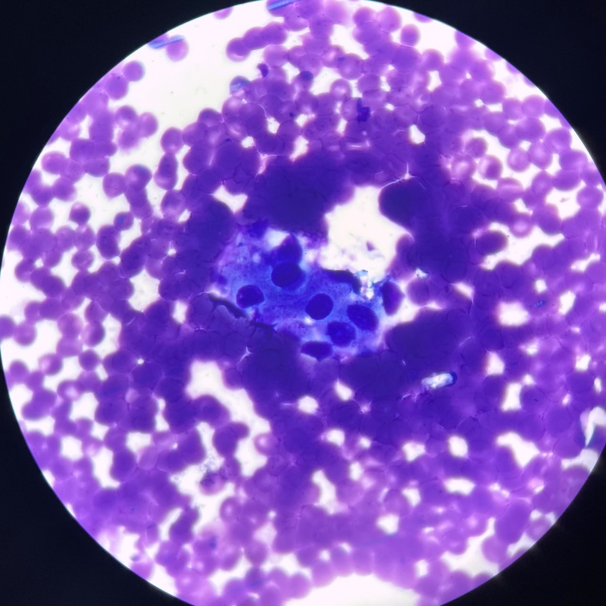
Метастаз рака поджелудочной железы в лимфоузел
10 апреля 2025
10 апр 2025
~1 мин
Метастаз рака поджелудочной железы в лимфоузел. Пациентка 1964 г.р. Объектив 100x. #цитология
Метастаз рака поджелудочной железы в лимфоузел. Пациентка 1964 г.р. Объектив 100x. #цитология
...
Читать далее
Метастаз рака поджелудочной железы в лимфоузел. Пациентка 1964 г.р. Объектив 100x.
#цитология
Здоровье и медицина
3,97 млн интересуются
Следить за темой