Добавить в корзинуПозвонить
Найти в Дзене

Аппендицит. Может ли патология быть "красивой"?

Может ли патология быть красивой? Давайте немного почитаем энциклопедии. "Красота - эстетическая (неутилитарная, непрактическая) категория, обозначающая совершенство, гармоничное сочетание аспектов объекта, при котором последний вызывает у наблюдателя эстетическое наслаждение" (Википедия). Со времен античности, эту философскую категорию как только ни обсуждали. Количество присущих красивому объекту характеристик буквально "зашкаливает" - тут и симметрия, и чистота цвета, и соответствие "золотому сечению" и ещё много чего. Но все рассуждения сводится в итоге, к одному понятию - красивое - если оно нравится. Хотя бы кому-то. Вот для него - красивое. А кто-то другой отвернется в ужасе... Что врачу УЗД нравится? Когда пациент не толстый и не "загазованный", когда анатомические структуры хорошо видно, когда патология отчетливо видна и очевидна, ну а если пациент пришёл в более-менее чистых носках - тут вообще, полная благодать. :-) И чтоб аппарат был хороший... И зарплата... И вообще... Та

Рис. 00. изображение из свободного доступа.
Рис. 00. изображение из свободного доступа.

Может ли патология быть красивой?

Давайте немного почитаем энциклопедии.

"Красота - эстетическая (неутилитарная, непрактическая) категория, обозначающая совершенство, гармоничное сочетание аспектов объекта, при котором последний вызывает у наблюдателя эстетическое наслаждение" (Википедия). Со времен античности, эту философскую категорию как только ни обсуждали. Количество присущих красивому объекту характеристик буквально "зашкаливает" - тут и симметрия, и чистота цвета, и соответствие "золотому сечению" и ещё много чего.

Но все рассуждения сводится в итоге, к одному понятию - красивое - если оно нравится. Хотя бы кому-то. Вот для него - красивое. А кто-то другой отвернется в ужасе...

Что врачу УЗД нравится? Когда пациент не толстый и не "загазованный", когда анатомические структуры хорошо видно, когда патология отчетливо видна и очевидна, ну а если пациент пришёл в более-менее чистых носках - тут вообще, полная благодать. :-)

И чтоб аппарат был хороший... И зарплата... И вообще... Так можно далеко уйти от темы статьи. :-)

Пациент пришел по направлению хирурга с жалобами на умеренные боли в правой подвздошной области. После стандартного ультразвукового исследования органов брюшной полости исследование было продолжено линейным датчиком.

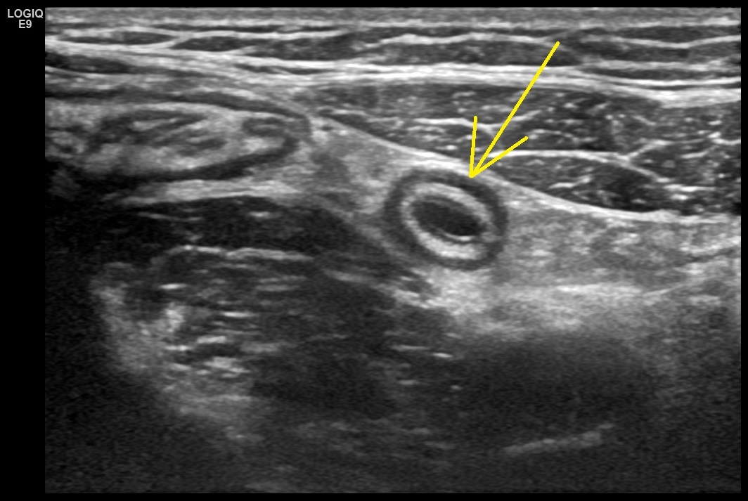
В правой подвздошной области, кпереди от контура большой поясничной мышцы, в типичном месте лоцируется аппендикс, утолщенный до 8-10 мм.

Рис. 01. Аппендикс, поперечное изображение.
Рис. 01. Аппендикс, поперечное изображение.

Стенки аппендикса утолщены, преимущественно за счет утолщения и инфильтрации гиперэхогенного подслизистого слоя. В просвете определяется однородная жидкость.

Рис. 02. Аппендикс, продольное изображение.
Рис. 02. Аппендикс, продольное изображение.

Обращает на себя внимание несколько необычное расположение аппендикса - как правило, его оконечность направлена вниз, в направлении малого таза, а здесь наоборот. Ну так он же длинный, гибкий, вот так улёгся...

Видео 03. Аппендицит. Поперечное и продольное изображение.

при исследовании в режиме цветного допплеровского картирования отмечается усиление кровотока в стенке аппендикса.

Рис. 04. Аппендицит. Визуализация в режиме ЦДК.
Рис. 04. Аппендицит. Визуализация в режиме ЦДК.

Видео 05. Аппендицит. Визуализация в режиме ЦДК.

Заключение - острый аппендицит.

Ну что? Красиво? :-)