Найти в Дзене

Болезнь Паркинсона: сложности патогенеза

В этой статье остановимся на причинах развития болезни Паркинсона👇 Патогенез болезни Паркинсона — это сложный процесс, включающий несколько взаимосвязанных механизмов, которые приводят к постепенной гибели нейронов в области мозга, называемой черной субстанцией🕳. Это приводит к дефициту⬇️ нейротрансмиттера дофамина, что, в свою очередь, нарушает контроль над движением. Распишу патогенез подробнее по основным этапам и механизмам. 1. Нарушения в дофаминовом обмене Чёрная субстанция (substantia nigra) — часть мозгового ствола, которая отвечает за выработку дофамина. Это ключевая структура, контролирующая движение. При болезни Паркинсона происходит постепенная дегенерация дофаминергических нейронов в чёрной субстанции, что приводит к снижению ⬇️ уровня дофамина в стриидуме — части головного мозга, которая принимает сигналы от чёрной субстанции. Дефицит дофамина нарушает баланс между двумя основными нейротрансмиттерами в мозге: дофамином и ацетилхолием, что и приводит к моторным симпт

В этой статье остановимся на причинах развития болезни Паркинсона👇

Патогенез болезни Паркинсона — это сложный процесс,

включающий несколько взаимосвязанных механизмов, которые приводят к постепенной

гибели нейронов в области мозга, называемой черной субстанцией🕳. Это приводит к

дефициту⬇️ нейротрансмиттера дофамина, что, в свою очередь, нарушает контроль над

движением.

Распишу патогенез подробнее по основным этапам и механизмам.

1. Нарушения в дофаминовом обмене

Чёрная субстанция (substantia nigra) — часть мозгового ствола, которая отвечает за выработку дофамина. Это ключевая структура, контролирующая движение.

При болезни Паркинсона происходит постепенная дегенерация дофаминергических нейронов в чёрной субстанции, что приводит к снижению ⬇️ уровня дофамина в стриидуме — части головного мозга, которая принимает сигналы от чёрной субстанции.

Дефицит дофамина нарушает баланс между двумя основными

нейротрансмиттерами в мозге: дофамином и ацетилхолием, что и приводит к моторным симптомам болезни: тремору, ригидности, брадикинезии.

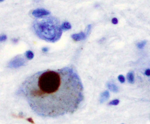
2.    Агрегация альфа-синуклеина и образование телец Леви

Альфа-синуклеин — белок, который нормален в клетках, но при

болезни Паркинсона он начинает сворачиваться аномально и накапливаться в нейронах.

Эти аномальные белковые агрегаты образуют тельца Леви

патологические включения в нейронах, которые нарушают нормальное

функционирование клеток и могут вызывать их гибель.

Тельца Леви
Тельца Леви

Агрегация альфа-синуклеина и образование телец Леви является

одним из ключевых механизмов патогенеза. Эти включения становятся токсичными для нейронов, что усиливает дегенерацию.

3. Окислительный стресс и митохондриальная дисфункция

Окислительный стресс — это процесс, при котором в клетках

накапливаются свободные радикалы, повреждающие клетки и ткани.

В мозге больных Паркинсоном наблюдается дисфункция

митохондрий, которые являются основным источником энергии для клеток.

Митохондрии не только не обеспечивают клетку необходимым количеством энергии,

но и становятся источником токсичных веществ.

Митохондрии
Митохондрии

Это приводит к повреждениям клеточных мембран, ДНК и белков,

что ускоряет гибель нейронов☠️😭

Митохондриальная дисфункция способствует прогрессированию

болезни, так как повреждение клеток не может быть компенсировано.

4. Воспаление в центральной нервной системе (ЦНС)

Микроглия — клетки иммунной системы головного мозга — играют

важную роль в воспалении. В норме они защищают мозг от повреждений, но при болезни Паркинсона они могут быть активированы и становятся провоспалительными.

Микроглия на страже , должна защищать гм.
Микроглия на страже , должна защищать гм.

Активация микроглии приводит к выбросу воспалительных

цитокинов, которые могут усугубить нейродегенерацию.

Воспаление усиливает ➡️повреждения клеток, разрушая нормальные

функции нейронов и ускоряя прогрессирование болезни.😔

5.Нарушение нейропластичности и синаптической функции

Нейропластичность — это способность мозга восстанавливать связи между нейронами🤝. В норме она позволяет компенсировать потерю нейронов.

При болезни Паркинсона этот процесс нарушается. Из-за деградации нейронов и их синапсов восстанавливать связи становится невозможно🤝🚫

Также наблюдается дефицит нейротрофических факторов, таких

как BDNF (базовый нейротрофический фактор), которые необходимы для выживания нейронов и их синаптической активности.

6.Расстройства в базальных ганглиях и нейронных цепях

Базальные ганглии — это группа структур в головном мозге,

которые играют важную роль в контроле движений.

-5

При болезни Паркинсона деградируют нейроны, которые выделяют

дофамин ⬇️и влияют на стриидус и другие части базальных ганглиев. Это нарушает нормальное функционирование двигательных цепей.

Нарушение баланса между дофаминовыми и холинергическими

системами в мозге нарушает координацию движений и приводит к моторным симптомам болезни.

7. Дисфункция белка LRRK2 и других генетических факторов

Ген LRRK2 (leucine-rich repeat kinase 2) кодирует белок, который участвует в регулировании клеточного метаболизма и клеточного цикла.

Мутации в этом гене приводят к повышению активности белка, что вызывает дисфункцию клеток и их разрушение.

Другие генетические изменения, такие как мутации в PINK1 и PRKN, также связаны с заболеванием и влияют на митохондриальную функцию и клеточный метаболизм.

☝️Подведём итог:

Патогенез болезни Паркинсона — это сложный и многогранный

процесс, который включает нейротоксичные эффекты🧨, воспаление, генетические факторы🧬 и метаболические расстройства⚗️.

🤔 На данный момент нет единой теории, которая бы объясняла все аспекты заболевания, но исследования в этих направлениях помогают разрабатывать новые методы диагностики и лечения.