Добавить в корзинуПозвонить
Найти в Дзене
ЧС ИНФО

Новосибирские хирурги помогли мальчику с паралитическим сколиозом

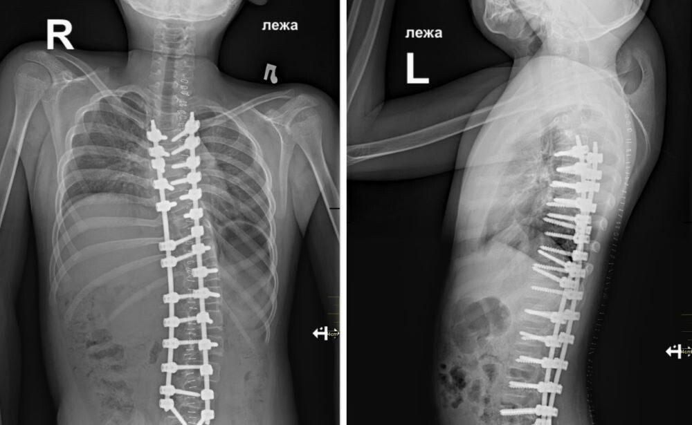
Деформации позвоночника достигла критических значений – более 140 градусов искривления. Двенадцатилетний мальчик из Тывы десять лет назад вместе с семьёй попал в ДТП. Юношу с паралитическим сколиозом – тяжёлой деформацией позвоночника и выраженными неврологическими нарушениями – осмотрели специалисты Новосибирского НИИТО имени Я.Л. Цивьяна и пришли к выводу, что смогут прооперировать пациента. В результате обследований выявлен паралитический левосторонний грудопоясничный сколиоз IV степени, из-за неврологических осложнений нарушен мышечный тонус, диагностированы параплегия с нарушением функции тазовых органов, а также сформировавшийся за десять лет паралитический вывих бедра. Деформации позвоночника достигла критических значений – более 140 градусов искривления, без операции в дальнейшем мальчик не смог бы даже сидеть. Операция длилась четыре часа, была проведена тотальная фиксация позвоночника от груди до поясницы, установлена специальная металлоконструкция. Деформацию удалось скоррек

Деформации позвоночника достигла критических значений – более 140 градусов искривления.

Двенадцатилетний мальчик из Тывы десять лет назад вместе с семьёй попал в ДТП. Юношу с паралитическим сколиозом – тяжёлой деформацией позвоночника и выраженными неврологическими нарушениями – осмотрели специалисты Новосибирского НИИТО имени Я.Л. Цивьяна и пришли к выводу, что смогут прооперировать пациента.

В результате обследований выявлен паралитический левосторонний грудопоясничный сколиоз IV степени, из-за неврологических осложнений нарушен мышечный тонус, диагностированы параплегия с нарушением функции тазовых органов, а также сформировавшийся за десять лет паралитический вывих бедра.

Деформации позвоночника достигла критических значений – более 140 градусов искривления, без операции в дальнейшем мальчик не смог бы даже сидеть. Операция длилась четыре часа, была проведена тотальная фиксация позвоночника от груди до поясницы, установлена специальная металлоконструкция. Деформацию удалось скорректировать до 32 градусов – это обеспечит мальчику комфортную жизнь. Сейчас юный пациент выписан и будет восстанавливаться дома.

Фото: Новосибирский НИИТО имени Я.Л. Цивьяна