Добавить в корзинуПозвонить
Найти в Дзене

Почему оголяются корни зубов❓

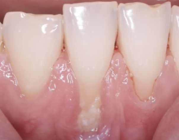
Рецессия десны – одна из самых актуальных тем как для врачей, так и для пациентов. Рецессией называется потеря десневых тканей на передней поверхности зуба, в результате чего оголяется корень и образуется видимый дефект. Этот дефект может иметь разную форму и выраженность у разных пациентов. В этой статье разберемся, какие виды таких дефектов бывают и почему вообще возникает рецессия десны. Основная причина развития рецессии – это травма. Травма, в свою очередь, может быть обусловлена различными причинами: ● избыточное давление зубной щетки на десны (даже при правильной чистке зубов), ● окклюзионная перегрузка – то есть чрезмерная нагрузка на тот или иной зуб, из-за чего в пришеечной области зуба возникают трещинки, и десна от этих трещинок начинает отступать. В этом случае возникает так называемый клиновидный дефект и оголение корня, ● ортодонтическое лечение – здесь рецессия выступает как побочный эффект смещения зубов. На следующем примере четко видно, как в результате ортодонтичес

Рецессия десны – одна из самых актуальных тем как для врачей, так и для пациентов. Рецессией называется потеря десневых тканей на передней поверхности зуба, в результате чего оголяется корень и образуется видимый дефект. Этот дефект может иметь разную форму и выраженность у разных пациентов. В этой статье разберемся, какие виды таких дефектов бывают и почему вообще возникает рецессия десны.

Основная причина развития рецессии – это травма.

Травма, в свою очередь, может быть обусловлена различными причинами:

● избыточное давление зубной щетки на десны (даже при правильной чистке зубов),

● окклюзионная перегрузка – то есть чрезмерная нагрузка на тот или иной зуб, из-за чего в пришеечной области зуба возникают трещинки, и десна от этих трещинок начинает отступать. В этом случае возникает так называемый клиновидный дефект и оголение корня,

● ортодонтическое лечение – здесь рецессия выступает как побочный эффект смещения зубов.

На следующем примере четко видно, как в результате ортодонтического лечения и смещения зубов развилась рецессия:

-2

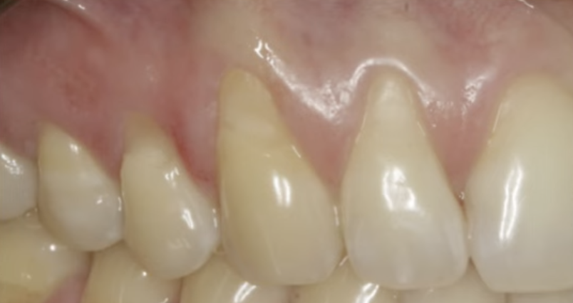
Оголенные корни, независимо от причины такого оголения, рекомендуется закрывать. Если этого не делать, то в будущем это может привести к тому, что на оголившихся частях будет скапливаться налет, и рецессия из-за этого будет увеличиваться еще сильнее.

Чем опасна рецессия? Самое главное негативное последствие – это развитие кариеса корня. Кариес корня проходит в развитии несколько стадий: от начального этапа, когда полость еще не образуется, до более выраженного дефекта, который нередко приводит к необходимости удаления зуба. Поэтому не стоит затягивать с прикрытием оголенного корня.

***
Проверить здоровье зубов и дёсен можно в нашей клинике НОВОДЕНТА+.
На первый приём действует СКИДКА 5%
***
Записаться на консультацию можно по тел. +7 (495) 152-11-24 или
НА САЙТЕ
***
📍Адрес клиники: г. Москва, ул. Айвазовского, д. 2
📲 Тел.: +7 (495) 152-11-24

Подборка интересных статей и видео для Вас:

Жёлтые зубы. И дело не в кариесе🌿
НОВОДЕНТА - Мы знаем, как лечить зубы!3 декабря 2023