Добавить в корзинуПозвонить
Найти в Дзене
D2D Expert

МР-диагностика “варианта” аномалии Денди-Уокера

Мальформация Дэнди-Уокера - аномалия развития мозжечка и окружающих его ликворных пространств; генетически обусловленное заболевание с частотой встречаемости 1:25000, преимущественно у женщин. Существуют 2 типа “классической” аномалии Денди Уокера. Вариант Денди-Уокера (DWv)  представляет собой менее тяжелую аномалию задней черепной ямки, чем классический порок развития Денди-Уокера (DWM). Этот термин был создан для включения тех пороков развития, которые не соответствуют критериям порока развития Денди-Уокера. В последнее время в литературе все чаще используют альтернативу термину “вариант Денди-Уокера” - гипоплазия или дисплазия червя мозжечка. Для варианта Денди-Уокера характерно: По данным аутопсий синдром Денди—Уокера отличается выраженным полиморфизмом. В 68% случаев он сочетается с другими пороками головного мозга: агенезией мозолистого тела, гетеротопией, аномалией извилин, стенозом сильвиева водопровода. ДИФФЕРЕНЦИАЛЬНЫЙ ДИАГНОЗ ➡️ Арахноидальная киста (АК) задней черепной ямк
Оглавление

Мальформация Дэнди-Уокера - аномалия развития мозжечка и окружающих его ликворных пространств; генетически обусловленное заболевание с частотой встречаемости 1:25000, преимущественно у женщин.

Существуют 2 типа “классической” аномалии Денди Уокера.

  • Dandy-Walker, тип I. Истинная киста. Характеризуется расширением 4-го желудочка с отсутствием отверстий Можанди и Люшка, частичной или полной агенезией червя, высоким расположением мозжечкового намета, гидроцефалией. Связь между 4-ым желудочком и перимедуллярным пространством отсутствует.
  • Dandy-Walker, тип II. Частичная агенезия червя мозжечка, связанная с задним расширением tela chorioidea позади и над рудиментом червя. Может сочетаться с полимикрогирией, гетеротопией, неправильным положением ствола мозга, агенезией мозолистого тела.

Вариант Денди-Уокера (DWv)  представляет собой менее тяжелую аномалию задней черепной ямки, чем классический порок развития Денди-Уокера (DWM). Этот термин был создан для включения тех пороков развития, которые не соответствуют критериям порока развития Денди-Уокера. В последнее время в литературе все чаще используют альтернативу термину “вариант Денди-Уокера” - гипоплазия или дисплазия червя мозжечка.

Для варианта Денди-Уокера характерно:

  • широкая сообщаемость 4-го желудочка с основной цистерной мозга, последняя увеличена в размерах.
  • червь и/или полушария мозжечка гипопластичны.
  • III-й и боковые желудочки гидроцефальны.
  • отсутствие симптома высокого расположения синусного стока.
  • отсутствие увеличения в размерах задней черепной ямки.

По данным аутопсий синдром Денди—Уокера отличается выраженным полиморфизмом. В 68% случаев он сочетается с другими пороками головного мозга: агенезией мозолистого тела, гетеротопией, аномалией извилин, стенозом сильвиева водопровода.

ДИФФЕРЕНЦИАЛЬНЫЙ ДИАГНОЗ

➡️ Арахноидальная киста (АК) задней черепной ямки:

- ретроцеребеллярная;

- над червем мозжечка;

- в области мостомозжечкового угла;

➡️ Деформация «коренного зуба» (синдром Жубера)

- эпизодическое гиперпноэ, глазодвигательная апраксия, дистрофия сетчатки глаза, + кисты почек, фиброз печени.

- расщепление червя мозжечка, средний мозг в форме коренного зуба.

➡️ Изолированный IV желудочек.

- нижний отдел IV желудочка на сагиттальном срезе “закрыт”, в отличие от мальформации Денди-Уокера, в которой он “открыт”.

Течение и прогноз

  • Классическая МДУ: очень вариабельное течение.
  • Когнитивные последствия зависят от сопутствующих синдромов или супратенториальных аномалий развития/гидроцефалии и завершенности остатка червя мозжечка.
  • Нормальный уровень интеллекта отмечается у 35-50% пациентов с классической МДУ.
  • Судорожные приступы.

Рассмотрим клинический пример:

Женщина, 20 лет, с жалобами на впервые возникший эпиприступ.

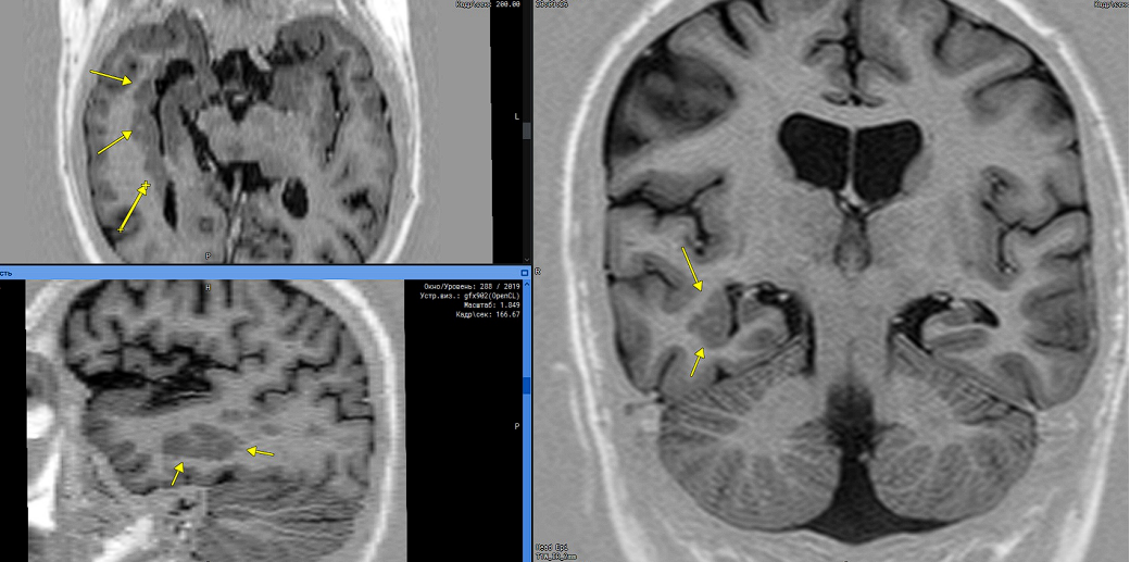
1️. Перивентрикулярно, субэпендимально в области заднего и височного рогов правого бокового желудочка определяются множественные участки серого вещества (характеристики МР-сигнала идентичны серому веществу головного мозга) округлой формы с четкими контурами, без перифокальной реакции, протяженностью в переднезаднем направлении 5.9 см, шириной до 1.0 см, и кранио-каудальным размером до 1.5 см. /Рис 1/.

-2

Рис 1. Желтыми стрелками указаны участки перивентрикулярной гетеротопии серого вещества.

2️. Нижние и задние отделы червя мозжечка гипоплазированы. Отверстие Можанди и полость IV-го желудочка расширены. IV-ый желудочек и большая цистерна мозга широко соединяются. Большая цистерна мозга, понто-медуллярная, передняя цистерна моста мозга и межножковые цистерны расширены. Намет мозжечка располагается обычно. /Рис 2/

-3

Рис 2. Желтыми стрелками указано широкое сообщение полости III-го желудочка с большой цистерной, а также гипоплазия мозжечка.

3️. Боковые желудочки мозга симметричны, умеренно расширены, , индекс тел боковых желудочков - 33 (норма до 18-22) ВКИ 1 - 23.7 /норма 24,0-26,3, после 60 лет до 30,0/; без перивентрикулярной инфильтрации. III-й желудочек расширен - 1.3 см (норма у детей до 0,5 см, до 60 лет – 0,7 см, после 60 лет 0,9 см). IV-й желудочек расширен, ВКИ - 20 /норма 11,3-13,0/.  /Рис 3,4/.

-4

Рис 3. Желтыми стрелками указано расширение боковых желудочков.

-5

Рис 4. Желтыми стрелками показано расширение III-го желудочка.

Необходимо отметить, что в литературе представлено множество классификаций пороков развития полушарий головного мозга, при этом ни одна классификация пороков развития мозжечка не получила широкого признания. Поэтому, на практике, бывает трудно однозначно высказаться о том, чем из себя представляют выявленные изменения задней черепной ямки: агенезия/ гипоплазия червя или порок развития. Но, при наличии сопутствующих изменений, появляется возможность сделать предположение о той или иной конкретной патологии.

Список литературы:

  • Лучевая диагностика. Головной мозг, А. Осборн.
  • Синдром Денди—Уокера у новорожденных. Л.А. Петрова, А.В. Розанов, Ю.И. Барашнев, В.О. Панов
  • ВРОЖДЕННЫЕ ПОРОКИ ЦЕНТРАЛЬНОЙ НЕРВНОЙ СИСТЕМЫ: ПРЕНАТАЛЬНАЯ ДИАГНОСТИКА И ПАТОМОРФОЛОГИЯ" (М.В. МЕДВЕДЕВ, И.В. НОВИКОВА, О.И. КОЗЛОВА).
  • Мальформация Dandy-Walker | Ассоциация врачей МРТ и КТ (vrachimrt.ru)
  • Patel S, Barkovich AJ. Analysis and classification of cerebellar malformations. AJNR Am J Neuroradiol. 2002 Aug;23(7):1074-87. PMID: 12169461; PMCID: PMC8185716.